电话:
+86 (0512) 65829739
传真:
+86 (010) 6788 5057
电子邮件:
orders@antibodies-online.cn

Keratin 5/6 抗体 (C-Term)

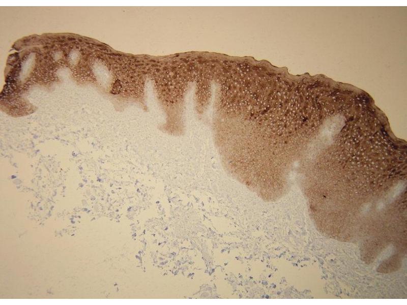
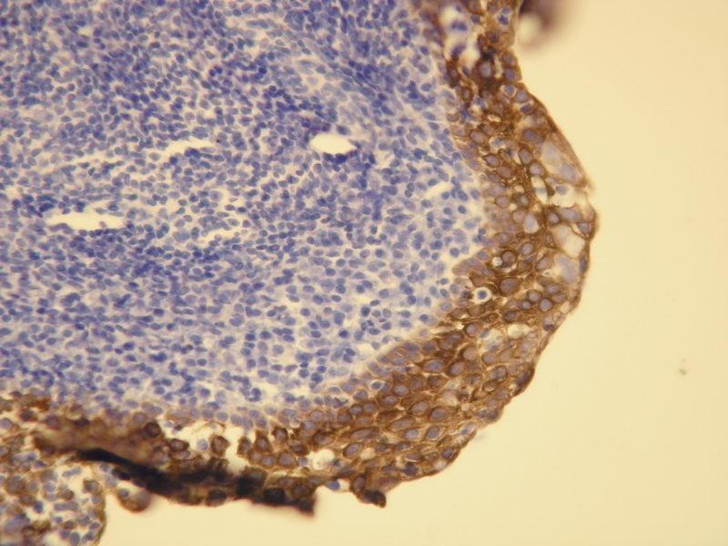
The 兔 单克隆 anti-Keratin 5/6 antibody (Clone T16-K) (ABIN7598818) specifically detects Keratin 5/6 in IHC (p). The antibody is reactive with 人 samples.
产品编号 ABIN7598818
发货至: 中国
Contact our Customer Service for availability and price in your country. Contact Info

Our Local Distributor

中国
北京 101111
No. 88 KeChuang 6th Street
Beijing Economic Technological Development Area
Room 801-803
4A Biotech Co.,Ltd.
Tel +86 (0512) 65829739 传真 +86 (010) 6788 5057

Quick Overview for Keratin 5/6 抗体 (C-Term) (ABIN7598818)

抗原

Keratin 5/6 (KRT5/6)

适用

  • 24
  • 16

宿主

  • 20
  • 4

克隆类型

  • 16
  • 7
  • 1
单克隆

标记

  • 9
  • 1
  • 1
  • 1
  • 1
  • 1
  • 1
  • 1
  • 1
  • 1
  • 1
  • 1
  • 1
  • 1
  • 1
  • 1
This Keratin 5/6 antibody is un-conjugated

应用范围

  • 20
  • 16
  • 13
  • 13
  • 6
  • 6
  • 5
  • 4
  • 2
  • 1
Immunohistochemistry (Paraffin-embedded Sections) (IHC (p))

克隆位点

T16-K
  • 抗原表位

    • 16
    • 2
    • 2
    AA 548-564, C-Term

    原理

    Anti-Cytokeratin 5/6

    特异性

    Cytokeratin 5/6

    免疫原

    Peptide derived from C-terminal sequence of human cytokeratin 6. Antibody recognizes the epitope (identical with cytokeratin 5) between Thr548 - His564.

    亚型

    IgG
  • 应用备注

    Optimal working dilution should be determined by the investigator.

    限制

    仅限研究用
  • 状态

    Liquid

    缓冲液

    20 mM Tris-HCI, pH 8.0, Stabilizer: 20 mg/mL BSA, Preservative: 0.05 % sodium azide

    储存液

    Sodium azide

    注意事项

    This product contains Sodium azide: a POISONOUS AND HAZARDOUS SUBSTANCE which should be handled by trained staff only.

    储存条件

    4 °C

    储存方法

    +2 °C to +8 °C
  • 抗原

    Keratin 5/6 (KRT5/6)

    别名

    Cytokeratin 5/6

    背景

    The antibody detects a high molecular weight Cytokeratins 5 and 6. Immunoreactivity of Cytokeratin 5/6 had been observed in a majority of malignant mesotheliomas. Cytokeratin 5 is also expressed in normal basal cells, and Cytokeratin 6 is expressed in suprabasal keratinocytes of normal skin.
You are here: