VIPR2 抗体 (AA 81-170)
Our Local Distributor
北京 101111
Quick Overview for VIPR2 抗体 (AA 81-170) (ABIN726170)
抗原
See all VIPR2 抗体适用
宿主
克隆类型
标记
应用范围
-
-
抗原表位
- AA 81-170
-
交叉反应
- 人, 大鼠
-
预测反应
- Mouse,Rabbit
-
纯化方法
- Purified by Protein A.
-
免疫原
- KLH conjugated synthetic peptide derived from rat VIP receptor II
-
亚型
- IgG
-
-
-
-
应用备注
-
WB 1:300-5000
ELISA 1:500-1000
FCM 1:20-100
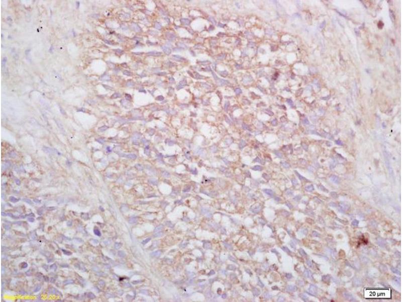
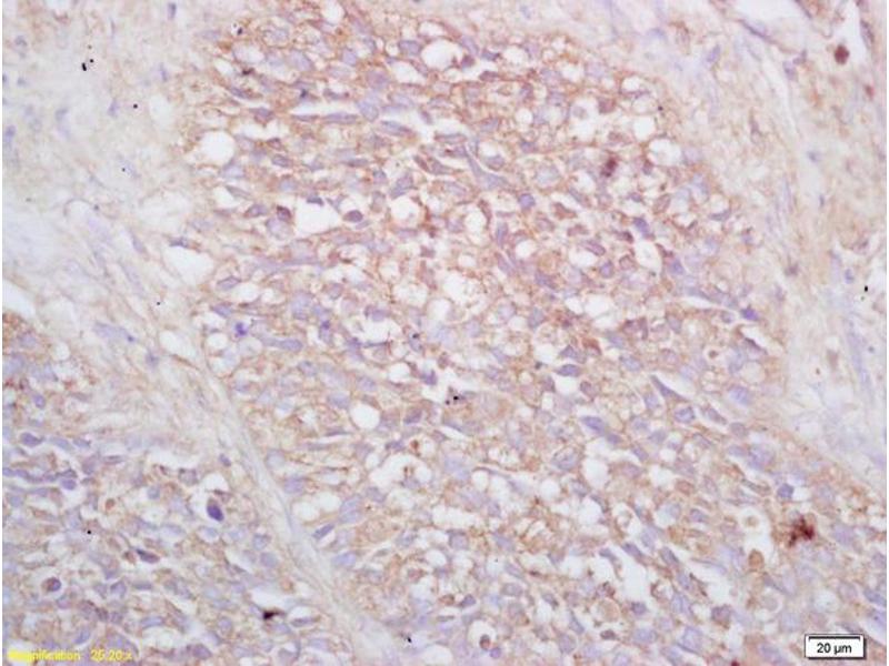
IHC-P 1:200-400
IHC-F 1:100-500
IF(IHC-P) 1:50-200
IF(IHC-F) 1:50-200
IF(ICC) 1:50-200 -
限制
- 仅限研究用
-
-
-
状态
- Liquid
-
浓度
- 1 μg/μL
-
缓冲液
- 0.01M TBS( pH 7.4) with 1 % BSA, 0.02 % Proclin300 and 50 % Glycerol.
-
储存液
- ProClin
-
注意事项
- This product contains ProClin: a POISONOUS AND HAZARDOUS SUBSTANCE, which should be handled by trained staff only.
-
储存条件
- 4 °C,-20 °C
-
储存方法
- Shipped at 4°C. Store at -20°C for one year. Avoid repeated freeze/thaw cycles.
-
有效期
- 12 months
-
-
-
: "Attenuation of stress-induced gastrointestinal motility disorder by gentiopicroside, from Gentiana macrophylla Pall." in: Fitoterapia, Vol. 103, pp. 265-76, (2015) (PubMed).
-
-
- VIPR2 (Vasoactive Intestinal Peptide Receptor 2 (VIPR2))
-
别名
- VPAC2R
-
背景
-
Synonyms: Vasoactive intestinal polypeptide receptor 2, VIP-R-2, Pituitary adenylate cyclase-activating polypeptide type III receptor, PACAP type III receptor, PACAP-R-3, PACAP-R3, Vipr2
Background: This is a receptor for VIP as well as PACAP-38 and -27, the activity of this receptor is mediated by G proteins which activate adenylyl cyclase. Can be coupled to phospholipase C.
-
基因ID
- 29555
-
UniProt
- P35000
-
途径
- cAMP Metabolic Process
抗原
-