电话:
+86 (0512) 65829739
传真:
+86 (010) 6788 5057
电子邮件:
orders@antibodies-online.cn

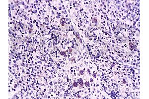
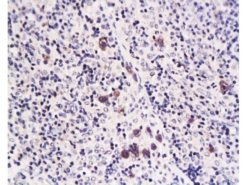
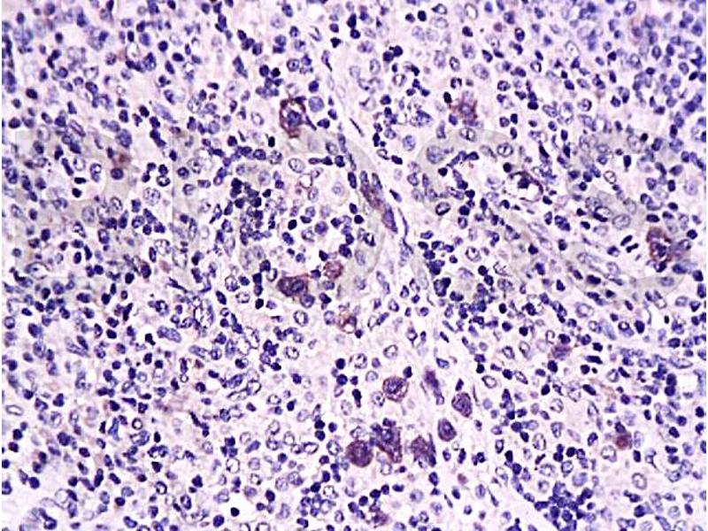
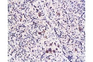
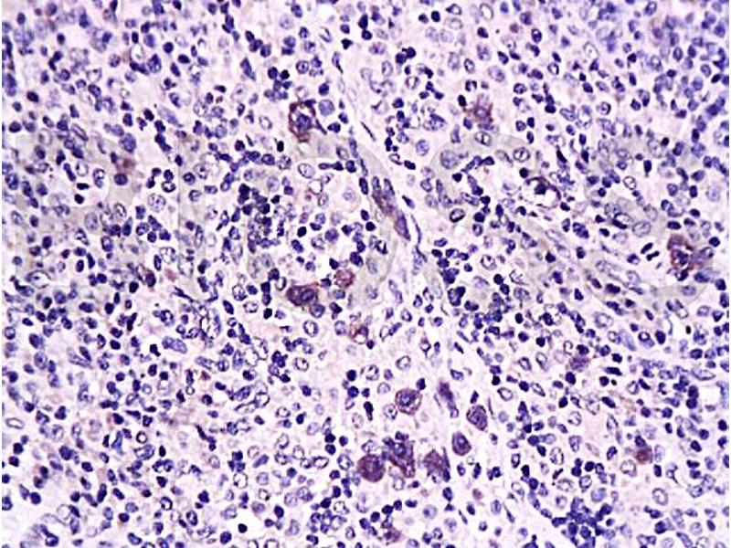
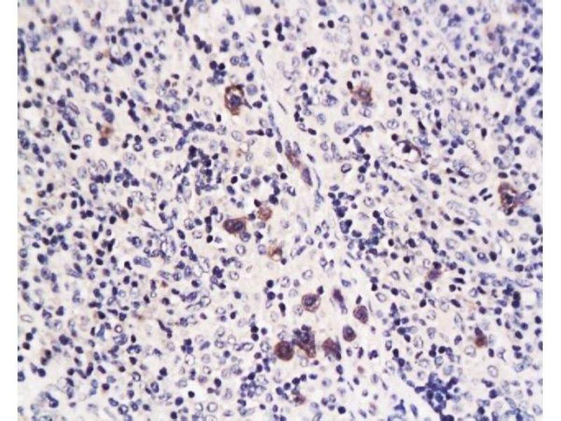
Caspase 1 (p10) 抗体 (AA 320-404)

There are 4+ publications for this product available. The 兔 多克隆 anti-Caspase 1 (p10) antibody is suitable to detect Caspase 1 (p10) in samples from 人, 小鼠, 大鼠 和 小鸡. It has been validated for WB, FACS, IF (cc), IF (p), ELISA, IHC (fro) 和 IHC (p).
产品编号 ABIN725780
发货至: 中国
Contact our Customer Service for availability and price in your country. Contact Info

Our Local Distributor

中国
北京 101111
No. 88 KeChuang 6th Street
Beijing Economic Technological Development Area
Room 801-803
4A Biotech Co.,Ltd.
Tel +86 (0512) 65829739 传真 +86 (010) 6788 5057

Quick Overview for Caspase 1 (p10) 抗体 (AA 320-404) (ABIN725780)

抗原

Caspase 1 (p10) (CASP-1 (p10))

适用

人, 小鼠, 大鼠, 小鸡

宿主

  • 47
  • 2

克隆类型

  • 47
  • 2
多克隆

标记

  • 4
  • 4
  • 3
  • 3
  • 3
  • 3
  • 3
  • 3
  • 3
  • 3
  • 3
  • 3
  • 3
  • 3
  • 3
  • 2
This Caspase 1 (p10) antibody is un-conjugated

应用范围

  • 49
  • 27
  • 25
  • 25
  • 8
  • 5
  • 5
  • 1
  • 1
Western Blotting (WB), Flow Cytometry (FACS), Immunofluorescence (Cultured Cells) (IF (cc)), Immunofluorescence (Paraffin-embedded Sections) (IF (p)), ELISA, Immunohistochemistry (Frozen Sections) (IHC (fro)), Immunohistochemistry (Paraffin-embedded Sections) (IHC (p))
  • 抗原表位

    • 16
    • 15
    • 15
    • 1
    AA 320-404

    交叉反应

    小鸡, 人, 小鼠, 大鼠

    纯化方法

    Purified by Protein A.

    免疫原

    KLH conjugated synthetic peptide derived from human Caspase-1

    亚型

    IgG
  • 应用备注

    WB 1:300-5000
    ELISA 1:500-1000
    FCM 1:20-100
    IHC-P 1:200-400
    IHC-F 1:100-500
    IF(IHC-P) 1:50-200
    IF(IHC-F) 1:50-200
    IF(ICC) 1:50-200

    限制

    仅限研究用
  • 状态

    Liquid

    浓度

    1 μg/μL

    缓冲液

    0.01M TBS( pH 7.4) with 1 % BSA, 0.02 % Proclin300 and 50 % Glycerol.

    储存液

    ProClin

    注意事项

    This product contains ProClin: a POISONOUS AND HAZARDOUS SUBSTANCE, which should be handled by trained staff only.

    储存条件

    4 °C,-20 °C

    储存方法

    Shipped at 4°C. Store at -20°C for one year. Avoid repeated freeze/thaw cycles.

    有效期

    12 months
  • Daverey, Agrawal: "Curcumin alleviates oxidative stress and mitochondrial dysfunction in astrocytes." in: Neuroscience, Vol. 333, pp. 92-103, (2016) (PubMed).

    Wang, Lei, Zhang, Zhao, Fang, Lai, Han, Xiao, Wang: "Xenobiotic Pregnane X Receptor (PXR) Regulates Innate Immunity via Activation of NLRP3 Inflammasome in Vascular Endothelial Cells." in: The Journal of biological chemistry, Vol. 289, Issue 43, pp. 30075-81, (2014) (PubMed).

    Yao, Wigginton, Maass, Ma, Carlson, Wolf, Minei, Zang: "Estrogen-provided cardiac protection following burn trauma is mediated through a reduction in mitochondria-derived DAMPs." in: American journal of physiology. Heart and circulatory physiology, Vol. 306, Issue 6, pp. H882-94, (2014) (PubMed).

    Hu, Kang, Chen, Mamuti, Wu, Yuan: "Drug-induced apoptosis of Echinococcus granulosus protoscoleces." in: Parasitology research, Vol. 109, Issue 2, pp. 453-9, (2011) (PubMed).

  • 抗原

    Caspase 1 (p10) (CASP-1 (p10))

    别名

    Caspase-1 P10

    背景

    Synonyms: ICE, P45, IL1BC, Caspase-1, CASP-1, Interleukin-1 beta convertase, IL-1BC, Interleukin-1 beta-converting enzyme, IL-1 beta-converting enzyme, CASP1, IL1BCE

    Background: Thiol protease that cleaves IL-1 beta between an Asp and an Ala, releasing the mature cytokine which is involved in a variety of inflammatory processes. Important for defense against pathogens. Cleaves and activates sterol regulatory element binding proteins (SREBPs). Can also promote apoptosis.

    基因ID

    834

    UniProt

    P29466
You are here: