电话:
+86 (0512) 65829739
传真:
+86 (010) 6788 5057
电子邮件:
orders@antibodies-online.cn

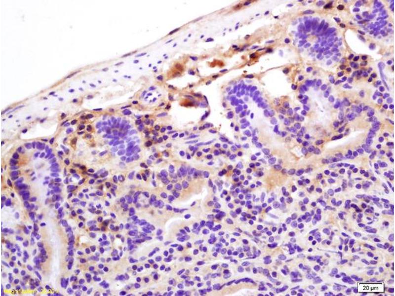
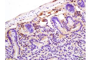
CRP 抗体 (AA 125-224)

There is 1 publication for this product available. The 兔 多克隆 anti-CRP antibody is suitable to detect CRP in samples from 人, 小鼠 和 兔. It has been validated for WB, ELISA, IHC (p), IF (cc), IF (p) 和 IHC (fro).
产品编号 ABIN725570
发货至: 中国
Contact our Customer Service for availability and price in your country. Contact Info

Our Local Distributor

中国
北京 101111
No. 88 KeChuang 6th Street
Beijing Economic Technological Development Area
Room 801-803
4A Biotech Co.,Ltd.
Tel +86 (0512) 65829739 传真 +86 (010) 6788 5057

Quick Overview for CRP 抗体 (AA 125-224) (ABIN725570)

抗原

See all CRP 抗体
CRP (C-Reactive Protein (CRP))

适用

  • 191
  • 45
  • 38
  • 29
  • 20
  • 13
  • 9
  • 5
  • 4
  • 4
  • 3
  • 2
  • 1
  • 1
人, 小鼠, 兔

宿主

  • 127
  • 119
  • 21
  • 11
  • 9
  • 9
  • 3
  • 3
  • 1
  • 1

克隆类型

  • 172
  • 130
  • 1
多克隆

标记

  • 159
  • 45
  • 36
  • 13
  • 11
  • 8
  • 3
  • 2
  • 2
  • 2
  • 2
  • 2
  • 2
  • 2
  • 2
  • 2
  • 2
  • 1
  • 1
  • 1
  • 1
  • 1
  • 1
  • 1
  • 1
  • 1
This CRP antibody is un-conjugated

应用范围

  • 189
  • 119
  • 107
  • 57
  • 39
  • 28
  • 22
  • 20
  • 20
  • 14
  • 12
  • 9
  • 9
  • 7
  • 5
  • 5
  • 5
  • 4
  • 4
  • 4
  • 4
  • 2
  • 2
  • 2
  • 2
  • 2
  • 2
  • 1
  • 1
  • 1
  • 1
  • 1
  • 1
  • 1
Western Blotting (WB), ELISA, Immunohistochemistry (Paraffin-embedded Sections) (IHC (p)), Immunofluorescence (Cultured Cells) (IF (cc)), Immunofluorescence (Paraffin-embedded Sections) (IF (p)), Immunohistochemistry (Frozen Sections) (IHC (fro))
  • 抗原表位

    • 14
    • 11
    • 10
    • 9
    • 8
    • 8
    • 7
    • 7
    • 5
    • 4
    • 4
    • 2
    • 1
    • 1
    • 1
    • 1
    • 1
    • 1
    • 1
    • 1
    • 1
    • 1
    • 1
    • 1
    • 1
    • 1
    • 1
    AA 125-224

    交叉反应

    人, 小鼠, 兔

    预测反应

    Rat,Dog,Pig

    纯化方法

    Purified by Protein A.

    免疫原

    KLH conjugated synthetic peptide derived from human CRP

    亚型

    IgG
  • 应用备注

    WB 1:300-5000
    ELISA 1:500-1000
    IHC-P 1:200-400
    IHC-F 1:100-500
    IF(IHC-P) 1:50-200
    IF(IHC-F) 1:50-200
    IF(ICC) 1:50-200

    限制

    仅限研究用
  • 状态

    Liquid

    浓度

    1 μg/μL

    缓冲液

    0.01M TBS( pH 7.4) with 1 % BSA, 0.02 % Proclin300 and 50 % Glycerol.

    储存液

    ProClin

    注意事项

    This product contains ProClin: a POISONOUS AND HAZARDOUS SUBSTANCE, which should be handled by trained staff only.

    储存条件

    4 °C,-20 °C

    储存方法

    Shipped at 4°C. Store at -20°C for one year. Avoid repeated freeze/thaw cycles.

    有效期

    12 months
  • Guo, Liu, Wang, Liu, Lu: "Fibrinogen, fibrin, and FDP induce C-reactive protein generation in rat vascular smooth muscle cells: pro-inflammatory effect on atherosclerosis." in: Biochemical and biophysical research communications, Vol. 390, Issue 3, pp. 942-6, (2009) (PubMed).

  • 抗原

    CRP (C-Reactive Protein (CRP))

    别名

    C-Reactive Protein

    背景

    Synonyms: PTX1, C-reactive protein, CRP

    Background: Displays several functions associated with host defense: it promotes agglutination, bacterial capsular swelling, phagocytosis and complement fixation through its calcium-dependent binding to phosphorylcholine. Can interact with DNA and histones and may scavenge nuclear material released from damaged circulating cells.

    基因ID

    1401

    UniProt

    P02741

    途径

    Carbohydrate Homeostasis
You are here: