电话:
+86 (0512) 65829739
传真:
+86 (010) 6788 5057
电子邮件:
orders@antibodies-online.cn

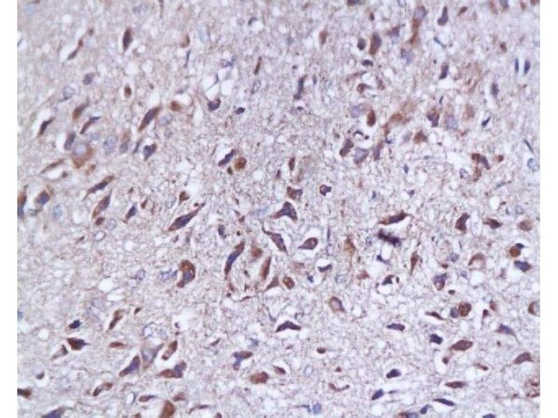
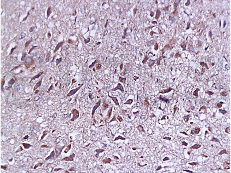
SYAP1 抗体 (AA 151-230)

There is 1 publication for this product available. The 兔 多克隆 anti-SYAP1 antibody is suitable to detect SYAP1 in samples from 人 和 大鼠. It has been validated for WB, ELISA, FACS, IF (cc), IF (p), IHC (p) 和 IHC (fro).
产品编号 ABIN725285
发货至: 中国
Contact our Customer Service for availability and price in your country. Contact Info

Our Local Distributor

中国
北京 101111
No. 88 KeChuang 6th Street
Beijing Economic Technological Development Area
Room 801-803
4A Biotech Co.,Ltd.
Tel +86 (0512) 65829739 传真 +86 (010) 6788 5057

Quick Overview for SYAP1 抗体 (AA 151-230) (ABIN725285)

抗原

SYAP1 (Synapse Associated Protein 1 (SYAP1))

适用

人, 大鼠

宿主

  • 28

克隆类型

  • 28
多克隆

标记

  • 8
  • 2
  • 2
  • 2
  • 2
  • 1
  • 1
  • 1
  • 1
  • 1
  • 1
  • 1
  • 1
  • 1
  • 1
  • 1
  • 1
This SYAP1 antibody is un-conjugated

应用范围

  • 27
  • 14
  • 12
  • 12
  • 10
  • 3
  • 2
  • 1
  • 1
  • 1
  • 1
Western Blotting (WB), ELISA, Flow Cytometry (FACS), Immunofluorescence (Cultured Cells) (IF (cc)), Immunofluorescence (Paraffin-embedded Sections) (IF (p)), Immunohistochemistry (Paraffin-embedded Sections) (IHC (p)), Immunohistochemistry (Frozen Sections) (IHC (fro))
  • 抗原表位

    • 15
    • 8
    • 3
    • 1
    • 1
    • 1
    AA 151-230

    交叉反应

    人, 大鼠

    预测反应

    Mouse,Dog,Cow,Pig,Horse,Chicken

    纯化方法

    Purified by Protein A.

    免疫原

    KLH conjugated synthetic peptide derived from human SYAP1

    亚型

    IgG
  • 应用备注

    WB 1:300-5000
    ELISA 1:500-1000
    FCM 1:20-100
    IHC-P 1:200-400
    IHC-F 1:100-500
    IF(IHC-P) 1:50-200
    IF(IHC-F) 1:50-200
    IF(ICC) 1:50-200

    限制

    仅限研究用
  • 状态

    Liquid

    浓度

    1 μg/μL

    缓冲液

    0.01M TBS( pH 7.4) with 1 % BSA, 0.02 % Proclin300 and 50 % Glycerol.

    储存液

    ProClin

    注意事项

    This product contains ProClin: a POISONOUS AND HAZARDOUS SUBSTANCE, which should be handled by trained staff only.

    储存条件

    4 °C,-20 °C

    储存方法

    Shipped at 4°C. Store at -20°C for one year. Avoid repeated freeze/thaw cycles.

    有效期

    12 months
  • Gao, Bai, Xiong, Li, Shan, Huang, Ma, Guan: "Isolation and characterization of chicken dermis-derived mesenchymal stem/progenitor cells." in: BioMed research international, Vol. 2013, pp. 626258, (2013) (PubMed).

  • 抗原

    SYAP1 (Synapse Associated Protein 1 (SYAP1))

    别名

    SYAP1

    背景

    Synonyms: PRO3113, Synapse-associated protein 1, SYAP1

    Background: SYAP1 (synapse-associated protein 1) is a 352 amino acid protein that is ubiquitously expressed in adult tissues. SYAP1 contains one BSD domain which is a novel domain that is present in basal transcription factors, synapse-associated proteins and several hypothetical proteins. The BSD domain is characterized by three predicted alpha helices and by conserved tryptophan and phenylalanine residues, located at the C-terminus of the domain. The gene that encodes SYAP1 in humans is located on chromosome X. Chromosome X consists of about 153 million base pairs and nearly 1,000 genes. Color blindness, hemophilia, and Duchenne muscular dystrophy are well known X chromosome-linked conditions which affect males more frequently as males carry a single X chromosome.

    基因ID

    94056

    UniProt

    Q96A49
You are here: