电话:
+86 (0512) 65829739
传真:
+86 (010) 6788 5057
电子邮件:
orders@antibodies-online.cn

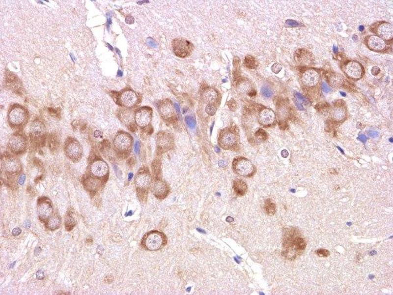
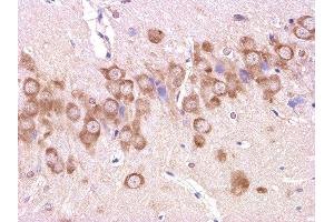
Abeta 1-42 抗体 (AA 1-42)

There are 9+ publications for this product available. The 兔 多克隆 anti-Abeta 1-42 antibody is suitable to detect Abeta 1-42 in samples from 人, 大鼠 和 小鼠. It has been validated for WB, ICC, IF (p), ELISA, FACS, IF (cc), IHC (p) 和 IHC (fro).
产品编号 ABIN725015
发货至: 中国
Contact our Customer Service for availability and price in your country. Contact Info

Our Local Distributor

中国
北京 101111
No. 88 KeChuang 6th Street
Beijing Economic Technological Development Area
Room 801-803
4A Biotech Co.,Ltd.
Tel +86 (0512) 65829739 传真 +86 (010) 6788 5057

Quick Overview for Abeta 1-42 抗体 (AA 1-42) (ABIN725015)

抗原

See all Abeta 1-42 抗体
Abeta 1-42 (Amyloid beta 1-42 (Abeta 1-42))

适用

  • 49
  • 42
  • 22
  • 3
  • 3
  • 3
  • 3
  • 2
人, 大鼠, 小鼠

宿主

  • 27
  • 25
  • 1

克隆类型

  • 27
  • 26
多克隆

标记

  • 16
  • 3
  • 2
  • 2
  • 2
  • 2
  • 2
  • 2
  • 2
  • 2
  • 2
  • 2
  • 2
  • 2
  • 2
  • 2
  • 2
  • 2
  • 2
This Abeta 1-42 antibody is un-conjugated

应用范围

  • 52
  • 25
  • 16
  • 12
  • 11
  • 11
  • 7
  • 7
  • 6
  • 3
  • 2
  • 1
  • 1
  • 1
Western Blotting (WB), Immunocytochemistry (ICC), Immunofluorescence (Paraffin-embedded Sections) (IF (p)), ELISA, Flow Cytometry (FACS), Immunofluorescence (Cultured Cells) (IF (cc)), Immunohistochemistry (Paraffin-embedded Sections) (IHC (p)), Immunohistochemistry (Frozen Sections) (IHC (fro))
  • 抗原表位

    • 15
    • 1
    AA 1-42

    交叉反应

    人, 小鼠, 大鼠

    预测反应

    Dog,Cow,Pig,Chicken,Rabbit

    纯化方法

    Purified by Protein A.

    免疫原

    KLH conjugated synthetic peptide of human beta-Amyloid(1-42)

    亚型

    IgG
  • 应用备注

    WB 1:300-5000
    ELISA 1:500-1000
    FCM 1:20-100
    IHC-P 1:200-400
    IHC-F 1:100-500
    IF(IHC-P) 1:50-200
    IF(IHC-F) 1:50-200
    IF(ICC) 1:50-200
    ICC 1:100-500

    限制

    仅限研究用
  • 状态

    Liquid

    浓度

    1 μg/μL

    缓冲液

    0.01M TBS( pH 7.4) with 1 % BSA, 0.02 % Proclin300 and 50 % Glycerol.

    储存液

    ProClin

    注意事项

    This product contains ProClin: a POISONOUS AND HAZARDOUS SUBSTANCE, which should be handled by trained staff only.

    储存条件

    4 °C,-20 °C

    储存方法

    Shipped at 4°C. Store at -20°C for one year. Avoid repeated freeze/thaw cycles.

    有效期

    12 months
  • Behairi, Belkhelfa, Rafa, Labsi, Deghbar, Bouzid, Mesbah-Amroun, Touil-Boukoffa: "All-trans retinoic acid (ATRA) prevents lipopolysaccharide-induced neuroinflammation, amyloidogenesis and memory impairment in aged rats." in: Journal of neuroimmunology, Vol. 300, pp. 21-29, (2017) (PubMed).

    Vinothkumar, Kedharnath, Krishnakumar, Sreedhar, Preethikrishnan, Dinesh, Sundaram, Balakrishnan, Shivashekar, Sureshkumar, Venkataraman: "Abnormal amyloid β42expression and increased oxidative stress in plasma of CKD patients with cognitive dysfunction: A small scale case control study comparison with Alzheimer's disease." in: BBA clinical, Vol. 8, pp. 20-27, (2017) (PubMed).

    Tian, Guo, Wu, Ma, Zhao: "Minocycline Alleviates Sevoflurane-Induced Cognitive Impairment in Aged Rats." in: Cellular and molecular neurobiology, (2015) (PubMed).

    Wang, Wang: "Studying the relationship between cell cycle and Alzheimer's disease by gold nanoparticle probes." in: Analytical biochemistry, Vol. 489, pp. 32-7, (2015) (PubMed).

    Li, Dai, Sun, Xiang, Yang, Dai, Zhang: "Neuroglobin Attenuates Beta Amyloid-Induced Apoptosis Through Inhibiting Caspases Activity by Activating PI3K/Akt Signaling Pathway." in: Journal of molecular neuroscience : MN, (2015) (PubMed).

    Kang, Li, Xing, Li, Su, Fan, Wang, Cui: "Dihydrotestosterone treatment delays the conversion from mild cognitive impairment to Alzheimer's disease in SAMP8 mice." in: Hormones and behavior, Vol. 65, Issue 5, pp. 505-15, (2014) (PubMed).

    Zhou, Luo, Dai: "Axonal and Dendritic Changes are Associated with Diabetic Encephalopathy in Rats: An Important Risk Factor for Alzheimer's Disease." in: Journal of Alzheimer's disease : JAD, (2013) (PubMed).

    Zhang, Gao, Luo, Chen, Gao, Gao, Zhou, Dai: "Transient focal cerebral ischemia/reperfusion induces early and chronic axonal changes in rats: its importance for the risk of Alzheimer's disease." in: PLoS ONE, Vol. 7, Issue 3, pp. e33722, (2012) (PubMed).

    Xiao, He, Wang, Luo, Sun, Zhou, Guan, Lucassen, Dai: "The origin and development of plaques and phosphorylated tau are associated with axonopathy in Alzheimer's disease." in: Neuroscience bulletin, Vol. 27, Issue 5, pp. 287-99, (2011) (PubMed).

  • 抗原

    Abeta 1-42 (Amyloid beta 1-42 (Abeta 1-42))

    别名

    beta Amyloid 1-42

    背景

    Synonyms: AAA, AD1, PN2, ABPP, APPI, CVAP, ABETA, PN-II, CTFgamma, Amyloid beta A4 protein, APP, Alzheimer disease amyloid protein, Cerebral vascular amyloid peptide, PreA4, Protease nexin-II, A4

    Background: The cerebral and vascular plaques associated with Alzheimer's disease are mainly composed of Amyloid beta peptides. beta Amyloid is derived from cleavage of the Amyloid precursor protein and varies in length from 39 to 43 amino acids. beta Amyloid [1-40], beta Amyloid [1-42], and beta Amyloid [1-43] peptides result from cleavage of Amyloid precursor protein after residues 40, 42, and 43, respectively. The cleavage takes place by gamma-secretase during the last Amyloid precursor protein processing step. beta Amyloid [1-40], beta Amyloid [1-42], and beta Amyloid [1-43] peptides are major constituents of the plaques and tangles that occur in Alzheimer's disease. beta Amyloid and peptides have been developed as tools for elucidating the biology of Alzheimer's disease.

    基因ID

    351

    UniProt

    P05067
You are here: