电话:
+86 (0512) 65829739
传真:
+86 (010) 6788 5057
电子邮件:
orders@antibodies-online.cn

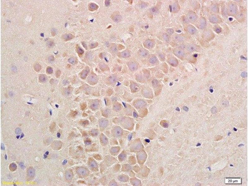
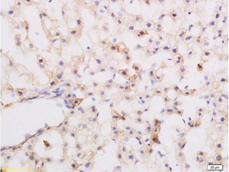
Substance P 抗体 (AA 58-68)

There are 4+ publications for this product available. The 兔 多克隆 anti-Substance P antibody is suitable to detect Substance P in samples from 大鼠 和 小鼠. It has been validated for WB, ELISA, FACS, IF (cc), IF (p), IHC (p) 和 IHC (fro).
产品编号 ABIN724400
发货至: 中国
Contact our Customer Service for availability and price in your country. Contact Info

Our Local Distributor

中国
北京 101111
No. 88 KeChuang 6th Street
Beijing Economic Technological Development Area
Room 801-803
4A Biotech Co.,Ltd.
Tel +86 (0512) 65829739 传真 +86 (010) 6788 5057

Quick Overview for Substance P 抗体 (AA 58-68) (ABIN724400)

抗原

See all Substance P 抗体
Substance P

适用

  • 31
  • 23
  • 20
  • 2
  • 2
  • 2
  • 2
  • 1
  • 1
  • 1
  • 1
  • 1
  • 1
  • 1
  • 1
  • 1
  • 1
  • 1
  • 1
  • 1
  • 1
  • 1
  • 1
  • 1
  • 1
  • 1
  • 1
  • 1
大鼠, 小鼠

宿主

  • 40
  • 4
  • 4
  • 2

克隆类型

  • 33
  • 17
多克隆

标记

  • 19
  • 4
  • 2
  • 2
  • 2
  • 2
  • 1
  • 1
  • 1
  • 1
  • 1
  • 1
  • 1
  • 1
  • 1
  • 1
  • 1
  • 1
  • 1
  • 1
  • 1
  • 1
  • 1
  • 1
  • 1
This Substance P antibody is un-conjugated

应用范围

  • 28
  • 21
  • 20
  • 17
  • 12
  • 12
  • 5
  • 4
  • 3
  • 2
  • 2
  • 1
  • 1
  • 1
  • 1
  • 1
Western Blotting (WB), ELISA, Flow Cytometry (FACS), Immunofluorescence (Cultured Cells) (IF (cc)), Immunofluorescence (Paraffin-embedded Sections) (IF (p)), Immunohistochemistry (Paraffin-embedded Sections) (IHC (p)), Immunohistochemistry (Frozen Sections) (IHC (fro))
  • 抗原表位

    • 15
    • 7
    • 1
    • 1
    • 1
    • 1
    AA 58-68

    交叉反应

    小鼠, 大鼠

    预测反应

    Human,Cow,Sheep,Pig,Horse,Rabbit,Guinea Pig

    纯化方法

    Purified by Protein A.

    免疫原

    KLH conjugated synthetic peptide derived from human SP

    亚型

    IgG
  • 应用备注

    WB 1:300-5000
    ELISA 1:500-1000
    FCM 1:20-100
    IHC-P 1:200-400
    IHC-F 1:100-500
    IF(IHC-P) 1:50-200
    IF(IHC-F) 1:50-200
    IF(ICC) 1:50-200

    限制

    仅限研究用
  • 状态

    Liquid

    浓度

    1 μg/μL

    缓冲液

    0.01M TBS( pH 7.4) with 1 % BSA, 0.02 % Proclin300 and 50 % Glycerol.

    储存液

    ProClin

    注意事项

    This product contains ProClin: a POISONOUS AND HAZARDOUS SUBSTANCE, which should be handled by trained staff only.

    储存条件

    4 °C,-20 °C

    储存方法

    Shipped at 4°C. Store at -20°C for one year. Avoid repeated freeze/thaw cycles.

    有效期

    12 months
  • Daschil, Kniewallner, Obermair, Hutter-Paier, Windisch, Marksteiner, Humpel: "L-type calcium channel blockers and substance P induce angiogenesis of cortical vessels associated with beta-amyloid plaques in an Alzheimer mouse model." in: Neurobiology of aging, (2015) (PubMed).

    Liu, Peng, Long, Li, Ke, Fang: "Mutual effect between neuropeptides and inflammatory cytokines in neurogenic SMSCs of human temporomandibular joint." in: Journal of Huazhong University of Science and Technology. Medical sciences = Hua zhong ke ji da xue xue bao. Yi xue Ying De wen ban = Huazhong keji daxue xuebao. Yixue Yingdewen ban, Vol. 34, Issue 4, pp. 602-7, (2014) (PubMed).

    Tu, Li, Peng, Hu, Liu, Kong, Liu, Gao, Xu, Xu, Qiu, Fan, Zhu, Yu, Zheng, Wu, Peng, Song, Wu, Liang: "P2X(7) inhibition in stellate ganglia prevents the increased sympathoexcitatory reflex via sensory-sympathetic coupling induced by myocardial ischemic injury." in: Brain research bulletin, Vol. 96, pp. 71-85, (2013) (PubMed).

    Liu, Li, Peng, Tu, Kong, Liu, Gao, Xu, Qiu, Fan, Zhu, Yu, Zheng, Wu, Peng, Song, Wu, Li, Liang: "Sensory-sympathetic coupling in superior cervical ganglia after myocardial ischemic injury facilitates sympathoexcitatory action via P2X7 receptor." in: Purinergic signalling, Vol. 9, Issue 3, pp. 463-79, (2013) (PubMed).

  • 抗原

    Substance P

    背景

    Synonyms: NK2, NPK, NKNA, TAC2, Hs.2563, Protachykinin-1, PPT, TAC1, NKA

    Background: Tachykinins are active peptides which excite neurons, evoke behavioral responses, are potent vasodilators and secretagogues, and contract (directly or indirectly) many smooth muscles.

    基因ID

    6863

    UniProt

    P20366
You are here: