电话:
+86 (0512) 65829739
传真:
+86 (010) 6788 5057
电子邮件:
orders@antibodies-online.cn

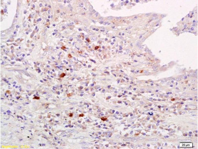
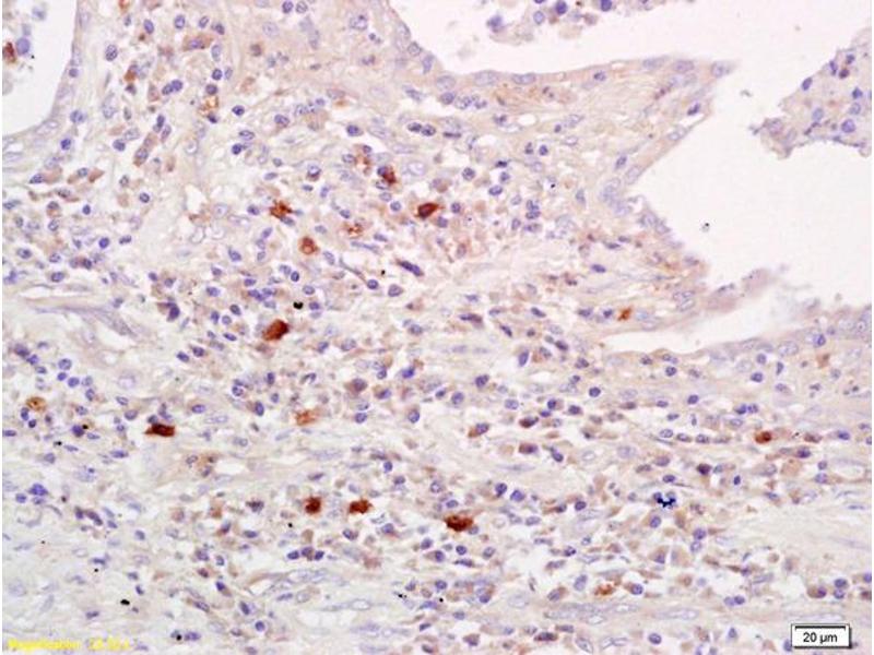
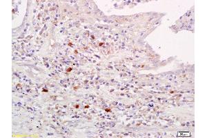
Amylin/DAP 抗体

The 兔 多克隆 anti-Amylin/DAP antibody is suitable to detect Amylin/DAP in samples from 人, 大鼠 和 小鼠. It has been validated for WB, IHC (p) 和 IF (p).
产品编号 ABIN724280
发货至: 中国
Contact our Customer Service for availability and price in your country. Contact Info

Our Local Distributor

中国
北京 101111
No. 88 KeChuang 6th Street
Beijing Economic Technological Development Area
Room 801-803
4A Biotech Co.,Ltd.
Tel +86 (0512) 65829739 传真 +86 (010) 6788 5057

Quick Overview for Amylin/DAP 抗体 (ABIN724280)

抗原

See all Amylin/DAP (IAPP) 抗体
Amylin/DAP (IAPP) (Islet Amyloid Polypeptide (IAPP))

适用

  • 61
  • 21
  • 17
  • 4
  • 2
  • 2
  • 2
  • 1
  • 1
  • 1
  • 1
  • 1
人, 大鼠, 小鼠

宿主

  • 57
  • 9
  • 1
  • 1

克隆类型

  • 58
  • 10
多克隆

标记

  • 42
  • 5
  • 4
  • 2
  • 1
  • 1
  • 1
  • 1
  • 1
  • 1
  • 1
  • 1
  • 1
  • 1
  • 1
  • 1
  • 1
  • 1
  • 1
This Amylin/DAP antibody is un-conjugated

应用范围

  • 44
  • 23
  • 20
  • 10
  • 10
  • 9
  • 9
  • 7
  • 4
  • 4
  • 3
  • 2
  • 2
  • 2
  • 2
Western Blotting (WB), Immunohistochemistry (Paraffin-embedded Sections) (IHC (p)), Immunofluorescence (Paraffin-embedded Sections) (IF (p))
  • 交叉反应

    人, 小鼠, 大鼠

    纯化方法

    Purified by Protein A.

    免疫原

    KLH conjugated synthetic peptide derived from human Amylin

    亚型

    IgG
  • 应用备注

    WB: (1:100-1000), IHC-P: (1:100-500), IF(IHC-P): (1:50-200)
    Optimal working dilution should be determined by the investigator.

    限制

    仅限研究用
  • 状态

    Liquid

    浓度

    1 μg/μL

    缓冲液

    Aqueous buffered solution containing 1 % BSA, 50 % glycerol and 0.09 % sodium azide.

    储存液

    Sodium azide

    注意事项

    This product contains Sodium azide: a POISONOUS AND HAZARDOUS SUBSTANCE which should be handled by trained staff only.

    储存条件

    -20 °C

    储存方法

    Store at -20°C for 12 months.

    有效期

    12 months
  • 抗原

    Amylin/DAP (IAPP) (Islet Amyloid Polypeptide (IAPP))

    别名

    Amylin

    背景

    Synonyms: Islet amyloid polypeptide, IAPP, DAP, Diabetes associated peptide, IAP, Insulinoma amyloid peptide.

    Background: Amylin is commonly found in pancreatic islets of patients suffering diabetes mellitus type II, or harboring an insulinoma. While the assosciation of amylin with the development of type II diabetes has been known for some time, a direct causative role for amylin has been harder to establish. Recent results suggest that amylin, like the related beta amyloid (Abeta) assosciated with Alzheimer's disease, can induce apoptotic cell death in particular cultured cells, an effect that may be relevant to the development of type II diabetes.

    基因ID

    3375

    途径

    Hormone Activity, Feeding Behaviour
You are here: