电话:
+86 (0512) 65829739
传真:
+86 (010) 6788 5057
电子邮件:
orders@antibodies-online.cn

IDE 抗体 (AA 491-590)

The 兔 多克隆 anti-IDE antibody is suitable to detect IDE in samples from 人, 小鼠 和 大鼠. It has been validated for WB, ELISA, IHC (p), IF (cc), IF (p) 和 IHC (fro). The antibody has been independently validated.
产品编号 ABIN723680
发货至: 中国
Contact our Customer Service for availability and price in your country. Contact Info

Our Local Distributor

中国
北京 101111
No. 88 KeChuang 6th Street
Beijing Economic Technological Development Area
Room 801-803
4A Biotech Co.,Ltd.
Tel +86 (0512) 65829739 传真 +86 (010) 6788 5057

Quick Overview for IDE 抗体 (AA 491-590) (ABIN723680)

抗原

See all IDE 抗体
IDE (Insulin-Degrading Enzyme (IDE))

适用

  • 96
  • 50
  • 47
  • 4
  • 3
  • 3
  • 3
  • 3
  • 2
  • 2
  • 1
  • 1
  • 1
  • 1
人, 小鼠, 大鼠

宿主

  • 82
  • 14
  • 4

克隆类型

  • 66
  • 34
多克隆

标记

  • 42
  • 8
  • 5
  • 4
  • 4
  • 4
  • 4
  • 4
  • 4
  • 4
  • 2
  • 2
  • 1
  • 1
  • 1
  • 1
  • 1
  • 1
  • 1
  • 1
  • 1
  • 1
  • 1
  • 1
  • 1
This IDE antibody is un-conjugated

应用范围

  • 82
  • 31
  • 26
  • 15
  • 13
  • 12
  • 12
  • 7
  • 5
  • 3
  • 2
  • 1
  • 1
Western Blotting (WB), ELISA, Immunohistochemistry (Paraffin-embedded Sections) (IHC (p)), Immunofluorescence (Cultured Cells) (IF (cc)), Immunofluorescence (Paraffin-embedded Sections) (IF (p)), Immunohistochemistry (Frozen Sections) (IHC (fro))
  • 抗原表位

    • 15
    • 8
    • 5
    • 5
    • 4
    • 3
    • 2
    • 2
    • 2
    • 1
    • 1
    • 1
    • 1
    • 1
    • 1
    • 1
    • 1
    • 1
    AA 491-590

    交叉反应

    人, 小鼠, 大鼠

    预测反应

    Cow,Pig,Chicken

    纯化方法

    Purified by Protein A.

    免疫原

    KLH conjugated synthetic peptide derived from human IDE

    亚型

    IgG
  • 应用备注

    WB 1:300-5000
    ELISA 1:500-1000
    IHC-P 1:200-400
    IHC-F 1:100-500
    IF(IHC-P) 1:50-200
    IF(IHC-F) 1:50-200
    IF(ICC) 1:50-200

    限制

    仅限研究用
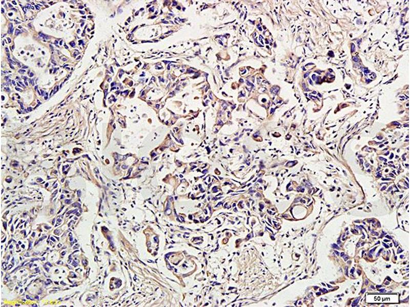
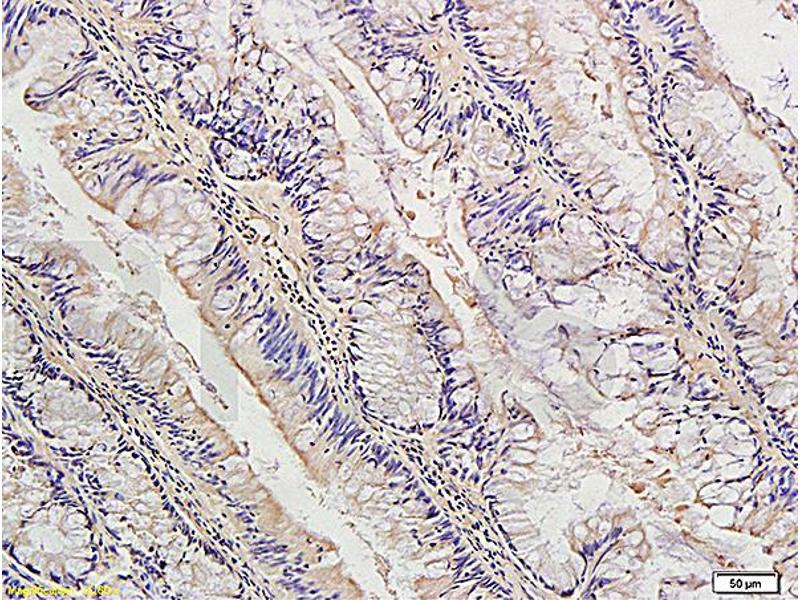
  • 生效 #104435 (Immunohistochemistry)
    '独立验证'标志
    by
    Prof. Merighi, Laboratory of Neurobiology, Department of Veterinary Sciences, University of Turin
    No.
    #104435
    日期
    2023.03.15
    抗原
    IDE
    Lot Number
    9C07M588
    Method validated
    Immunohistochemistry
    Positive Control

    Adult mouse liver fixed in 4% paraformaldehyde

    Negative Control

    One control slice for each experimental procedure processed omitting the primary antibody; overnight incubation in diluent solution only.

    Notes

    Passed. The IDE antibody (AA 491-590) ABIN723680 works in IHC-P at 1:100 concentrations with Tyramide amplification.

    '独立验证'标志
    Validation Images
    Full Methods
    Primary Antibody
    ABIN723680
    Secondary Antibody
    poly-HRP conjugated goat anti-rabbit antibody
    Full Protocol
    • Perfuse mice with paraformaldehyde 4% in 0.1 M phosphate buffer pH 7.4 and post-fix in the same fixative for an additional 2 h at RT.
    • Wash, dehydrate, and embed samples in paraffin wax.
    • Wash several times with 0.01 M PBS.
    • Cut liver with a microtome into 20 µm sections and mount on glass slides.
    • After paraffin removal, incubate sections for 1 h at RT in PBS containing 1% albumin from chicken egg white (Sigma, A5378) and 0.3% Triton-X-100 (BioRad, 161-0407, lot 00583) to block non-specific binding sites.
    • Incubate sections with primary rabbit anti-IDE (antibodies-online, ABIN723680, lot 9C07M588) diluted 1:50, 1:100, 1:200, and 1:300 in PBS-BSA-PLL ON at RT in a humid chamber.
    • Wash sections 3x 5 min with 0.01 M PBS.
    • Incubate sections with secondary poly-HRP conjugated goat anti-rabbit antibody from Alexa Fluor 488 Tyramide SuperBoost Kit, goat anti-rabbit IgG (Thermo Fisher Scientific, B40922, lot 2465062) for 1 h at RT.
    • Wash sections 3x 5 min with 0.01 M PBS.
    • Incubate sections with Tyramide working solution containing 100X Tyramide stock solution (Alexa 488), 100X H2O2 solution and 1X Reaction buffer for 10 min.
    • Stop the reaction with the Reaction Stop Reagent working solution.
    • Wash sections 3x 5 min with 0.01M PBS.
    • Mount specimens in Fluoroshield (Sigma, F6182, lot MKCB0153V).
    • Acquire images with a fluorescence microscope and appropriate filter settings for AF488, e.g. Leica DM 6000B fluorescence microscope equipped with a digital camera at 40x magnification.
    Experimental Notes
  • 生效 #104497 (Western Blotting)
    '独立验证'标志
    by
    Prof. Merighi, Laboratory of Neurobiology, Department of Veterinary Sciences, University of Turin
    No.
    #104497
    日期
    2023.03.15
    抗原
    IDE
    Lot Number
    9C07M588
    Method validated
    Western Blotting
    Positive Control

    Adult mouse brain, cerebellum, and liver

    Negative Control
    Notes

    Passed. The IDE antibody (AA 491-590) ABIN723680 works in WB at 1:1000 concentrations with sensitive ECL substrate.

    '独立验证'标志
    Validation Images
    Full Methods
    Primary Antibody
    ABIN723680
    Secondary Antibody
    HRP-conjugated mouse anti-rabbit
    Full Protocol
    • Homogenize tissues with cold lysis buffer containing 50 mM Tris HCl, 150 mM NaCl, 1% Triton X-100, 1 mM EDTA, and 1% protease inhibitor (Sigma P8340) using an ultrasonic homogenizer (MSE, SoniPrep 150) with 16 amplitude, 20 s on, 10 s off pulse for 60 s.
    • Centrifuge tissue homogentates at 13,000 rpm for 20 min at 4 °C.
    • Collect supernatants and Determine total protein content using a Bradford assay.
    • Denature 50 µg of total protein for 5 min at 90 °C and subsequently separate them on a denaturing 12% PAGE-SDS gel alongside a Precision Plus Protein Dual Color Standard (Bio-Rad, 160374).
    • Electro-transfer proteins onto nitrocellulose membrane (Amerscham Biosciences, RPN203D) ON in the cold room.
    • Wash membrane 3x for 10 mon with 0.01 M PBS containing 0.1% Tween-20 (PBST).
    • Block membrane with PBST containing 2% bovine serum albumin for 1 h at RT.
    • Incubate membrane with primary rabbit anti-IDE antibody (antibodies-online, ABIN723680, lot 9C07M588) diluted 1:1,000 in PBST ON at 4 °C.
    • Wash membrane 3x 10 min with PBST.
    • Incubate membrane with secondary HRP-conjugated mouse anti-rabbit IgG (Sigma, A1949) diluted 1:4,000 in PBST for 1 h at RT.
    • Wash membrane 3x 10 min with PBST.
    • Visualize proteins with WesternBright Sirius HRP substrate (Advansta, K-12043) using a ChemiDoc Imaging System.
    Experimental Notes
  • 状态

    Liquid

    浓度

    1 μg/μL

    缓冲液

    0.01M TBS( pH 7.4) with 1 % BSA, 0.02 % Proclin300 and 50 % Glycerol.

    储存液

    ProClin

    注意事项

    This product contains ProClin: a POISONOUS AND HAZARDOUS SUBSTANCE, which should be handled by trained staff only.

    储存条件

    4 °C,-20 °C

    储存方法

    Shipped at 4°C. Store at -20°C for one year. Avoid repeated freeze/thaw cycles.

    有效期

    12 months
  • 抗原

    IDE (Insulin-Degrading Enzyme (IDE))

    别名

    IDE

    背景

    Synonyms: INSULYSIN, Insulin-degrading enzyme, Abeta-degrading protease, Insulin protease, Insulinase, IDE

    Background: Plays a role in the cellular breakdown of insulin, IAPP, glucagon, bradykinin, kallidin and other peptides, and thereby plays a role in intercellular peptide signaling. Degrades amyloid formed by APP and IAPP. May play a role in the degradation and clearance of naturally secreted amyloid beta-protein by neurons and microglia.

    基因ID

    3416

    UniProt

    P14735

    途径

    SARS-CoV-2 Protein Interactome
You are here: