EHMT1 抗体
Our Local Distributor
北京 101111
Quick Overview for EHMT1 抗体 (ABIN722691)
抗原
See all EHMT1 抗体适用
宿主
克隆类型
标记
应用范围
克隆位点
-
-
交叉反应
- 人, 小鼠, 大鼠
-
纯化方法
- Purified by Protein G.
-
免疫原
- KLH conjugated synthetic peptide derived from human GLP-1
-
亚型
- IgG
-
-
-
-
应用备注
-
WB 1:300-5000
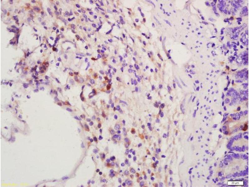
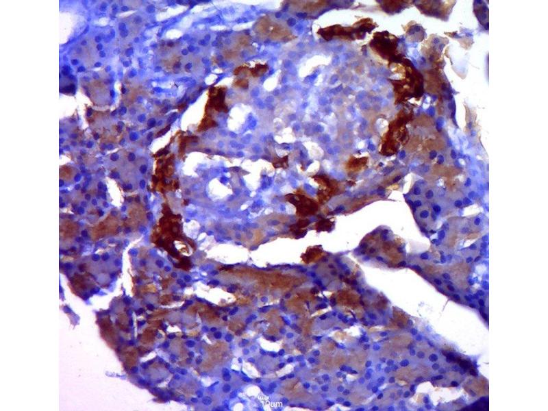
IHC-P 1:200-400
IF(IHC-P) 1:50-200 -
限制
- 仅限研究用
-
-
-
状态
- Liquid
-
浓度
- 1 μg/μL
-
缓冲液
- 0.01M TBS( pH 7.4) with 1 % BSA, 0.02 % Proclin300 and 50 % Glycerol.
-
储存液
- ProClin
-
注意事项
- This product contains ProClin: a POISONOUS AND HAZARDOUS SUBSTANCE, which should be handled by trained staff only.
-
储存条件
- 4 °C,-20 °C
-
储存方法
- Shipped at 4°C. Store at -20°C for one year. Avoid repeated freeze/thaw cycles.
-
有效期
- 12 months
-
-
- EHMT1 (Euchromatic Histone-Lysine N-Methyltransferase 1 (EHMT1))
-
别名
- GLP
-
背景
-
Synonyms: GCG, GLP 1, glucagon, Glucagon like peptide 1, GRPP, GLP-17-36, GLP-17-37, Oxyntomodulin, OXM, OXY, GLUC_HUMAN.
Background: Glucagon plays a key role in glucose metabolism and homeostasis. Regulates blood glucose by increasing gluconeogenesis and decreasing glycolysis. A counterregulatory hormone of insulin, raises plasma glucose levels in response to insulin-induced hypoglycemia. GLP-1 is a potent stimulator of glucose-dependent insulin release. Play important roles on gastric motility and the suppression of plasma glucagon levels. May be involved in thesuppression of satiety and stimulation of glucose disposal in peripheral tissues, independent of the actions of insulin. Have growth-promoting activities on intestinal epithelium. May also regulate the hypothalamic pituitary axis (HPA) via effects on LH, TSH, CRH, oxytocin, and vasopressin. Belongs to the glucagon family.
抗原
-