电话:
+86 (0512) 65829739
传真:
+86 (010) 6788 5057
电子邮件:
orders@antibodies-online.cn

Recombinant P2RY6 抗体

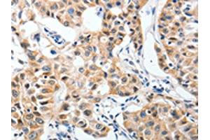
The 兔 单克隆 anti-P2RY6 antibody is suitable to detect P2RY6 in samples from 人. It has been validated for WB, ICC, IP, IHC (p) 和 IHC (fro).
产品编号 ABIN7516269
发货至: 中国
Contact our Customer Service for availability and price in your country. Contact Info

Our Local Distributor

中国
北京 101111
No. 88 KeChuang 6th Street
Beijing Economic Technological Development Area
Room 801-803
4A Biotech Co.,Ltd.
Tel +86 (0512) 65829739 传真 +86 (010) 6788 5057

Quick Overview for Recombinant P2RY6 抗体 (ABIN7516269)

抗原

See all P2RY6 抗体
P2RY6 (Pyrimidinergic Receptor P2Y, G-Protein Coupled, 6 (P2RY6))

抗体类型

Recombinant Antibody

适用

  • 55
  • 14
  • 14
  • 3
  • 3
  • 3
  • 3
  • 1
  • 1
  • 1
  • 1

宿主

  • 59

克隆类型

  • 39
  • 20
单克隆

标记

  • 22
  • 5
  • 4
  • 4
  • 4
  • 4
  • 4
  • 4
  • 2
  • 2
  • 1
  • 1
  • 1
  • 1
This P2RY6 antibody is un-conjugated

应用范围

  • 32
  • 17
  • 13
  • 12
  • 12
  • 10
  • 5
  • 4
  • 3
  • 2
  • 1
  • 1
Western Blotting (WB), Immunocytochemistry (ICC), Immunoprecipitation (IP), Immunohistochemistry (Paraffin-embedded Sections) (IHC (p)), Immunohistochemistry (Frozen Sections) (IHC (fro))

克隆位点

R06-4D8
You are here: