电话:
+86 (0512) 65829739
传真:
+86 (010) 6788 5057
电子邮件:
orders@antibodies-online.cn

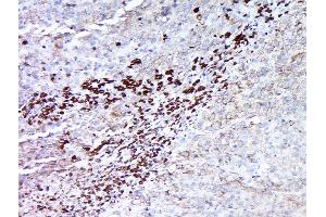
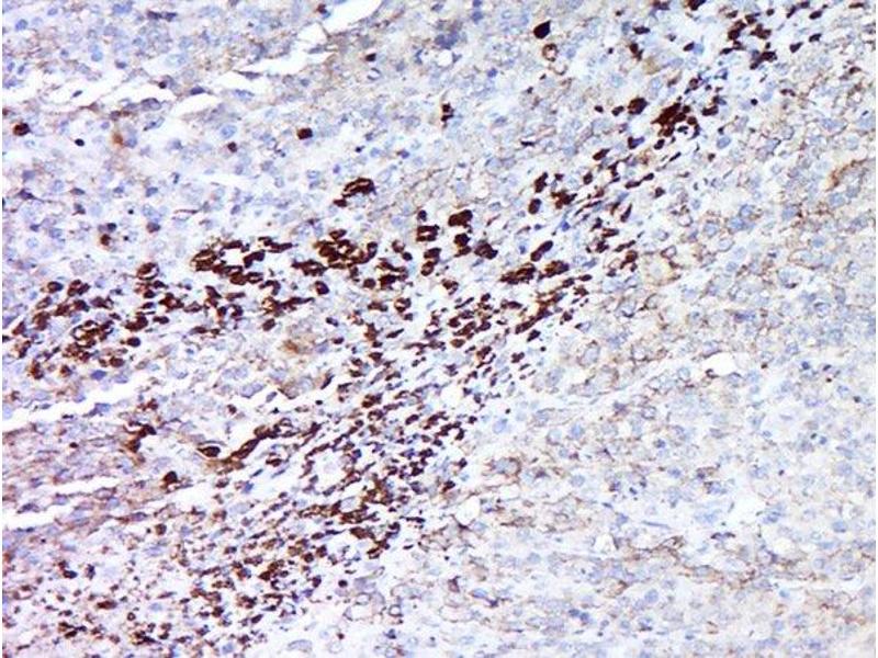
MAGEA5 抗体 (AA 41-124)

This 兔 多克隆 antibody specifically detects MAGEA5 in ELISA, WB, IF (cc), IF (p), IHC (fro) 和 IHC (p). It exhibits reactivity toward 人.
产品编号 ABIN721330
发货至: 中国
Contact our Customer Service for availability and price in your country. Contact Info

Our Local Distributor

中国
北京 101111
No. 88 KeChuang 6th Street
Beijing Economic Technological Development Area
Room 801-803
4A Biotech Co.,Ltd.
Tel +86 (0512) 65829739 传真 +86 (010) 6788 5057

Quick Overview for MAGEA5 抗体 (AA 41-124) (ABIN721330)

抗原

See all MAGEA5 抗体
MAGEA5 (Melanoma Antigen Family A, 5 (MAGEA5))

适用

  • 34
  • 9
  • 1

宿主

  • 33
  • 1

克隆类型

  • 33
  • 1
多克隆

标记

  • 9
  • 3
  • 3
  • 2
  • 1
  • 1
  • 1
  • 1
  • 1
  • 1
  • 1
  • 1
  • 1
  • 1
  • 1
  • 1
  • 1
  • 1
  • 1
  • 1
  • 1
This MAGEA5 antibody is un-conjugated

应用范围

  • 22
  • 12
  • 12
  • 11
  • 2
  • 2
  • 1
ELISA, Western Blotting (WB), Immunofluorescence (Cultured Cells) (IF (cc)), Immunofluorescence (Paraffin-embedded Sections) (IF (p)), Immunohistochemistry (Frozen Sections) (IHC (fro)), Immunohistochemistry (Paraffin-embedded Sections) (IHC (p))
  • 抗原表位

    • 14
    • 5
    • 2
    • 1
    • 1
    • 1
    • 1
    • 1
    • 1
    AA 41-124

    交叉反应

    纯化方法

    Purified by Protein A.

    免疫原

    KLH conjugated synthetic peptide derived from human MAGEA5

    亚型

    IgG
  • 应用备注

    WB 1:300-5000
    ELISA 1:500-1000
    IHC-P 1:200-400
    IHC-F 1:100-500
    IF(IHC-P) 1:50-200
    IF(IHC-F) 1:50-200
    IF(ICC) 1:50-200

    限制

    仅限研究用
  • 状态

    Liquid

    浓度

    1 μg/μL

    缓冲液

    0.01M TBS( pH 7.4) with 1 % BSA, 0.02 % Proclin300 and 50 % Glycerol.

    储存液

    ProClin

    注意事项

    This product contains ProClin: a POISONOUS AND HAZARDOUS SUBSTANCE, which should be handled by trained staff only.

    储存条件

    4 °C,-20 °C

    储存方法

    Shipped at 4°C. Store at -20°C for one year. Avoid repeated freeze/thaw cycles.

    有效期

    12 months
  • 抗原

    MAGEA5 (Melanoma Antigen Family A, 5 (MAGEA5))

    别名

    MAGEA5

    背景

    Synonyms: Cancer/testis antigen 1.5, Cancer/testis antigen family 1 member 5, CT1.5, MAGE 5 antigen, MAGE 5a antigen, MAGE 5b antigen, MAGE5, MAGEA4, Melanoma antigen family A 5, Melanoma associated antigen 5, MGC129526, MAGA5_HUMAN.

    Background: MAGEA5 is a member of the MAGEA gene family. The members of this family encode proteins with 50 to 80 % sequence identity to each other. The promoters and first exons of the MAGEA genes show considerable variability, suggesting that the existence of this gene family enables the same function to be expressed under different transcriptional controls. The MAGEA genes are clustered at chromosomal location Xq28. They have been implicated in some hereditary disorders, such as dyskeratosis congenita. This MAGEA gene encodes a protein that is C-terminally truncated compared to other family members, and this gene can be alternatively interpreted to be a pseudogene.

    基因ID

    4104
You are here: