电话:
+86 (0512) 65829739
传真:
+86 (010) 6788 5057
电子邮件:
orders@antibodies-online.cn

Uroplakin 3B 抗体

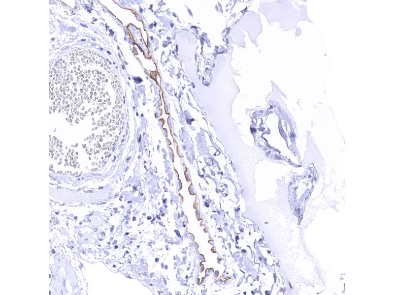
The 小鼠 单克隆 anti-Uroplakin 3B antibody (Clone 736M) (ABIN7470688) specifically detects Uroplakin 3B in IHC. The antibody is reactive with 人 samples.
产品编号 ABIN7470688
发货至: 中国
Contact our Customer Service for availability and price in your country. Contact Info

Our Local Distributor

中国
北京 101111
No. 88 KeChuang 6th Street
Beijing Economic Technological Development Area
Room 801-803
4A Biotech Co.,Ltd.
Tel +86 (0512) 65829739 传真 +86 (010) 6788 5057

Quick Overview for Uroplakin 3B 抗体 (ABIN7470688)

抗原

See all Uroplakin 3B (UPK3B) 抗体
Uroplakin 3B (UPK3B)

适用

  • 26
  • 2

宿主

  • 22
  • 4
小鼠

克隆类型

  • 24
  • 2
单克隆

标记

  • 13
  • 2
  • 2
  • 1
  • 1
  • 1
  • 1
  • 1
  • 1
  • 1
  • 1
  • 1
This Uroplakin 3B antibody is un-conjugated

应用范围

  • 16
  • 13
  • 2
  • 2
  • 1
  • 1
Immunohistochemistry (IHC)

克隆位点

736M
  • 原理

    Uroplakin 3B antibody (736M)

    亚型

    IgG
  • 应用备注

    IHC 1:100-1:200

    说明

    Positive Control: Urinary bladder: A moderate to strong membranous Upk3b immunostaining should be seen in umbrella cells of the normal urothelium (the staining is usually limited to apical surface membrane of umbrella cells).

    Product Description: Uroplakin 3B antibody validated for immunohistochemistry on 76 different Normal Tissues

    Negative Control: Colon: Upk3b immunostaining should be absent in all cells of the colon mucosa.

    实验流程

    Freshly cut sections should be used (less than 10 days between cutting and staining). Heat-induced antigen retrieval for 5 minutes in an autoclave at 121 °C in pH 7,8 Target Retrieval Solution buffer. Apply the antibody at a dilution of 1:150 at 37 °C for 60 minutes.

    限制

    仅限研究用
  • 状态

    Liquid

    储存条件

    4 °C,-20 °C,-80 °C

    储存方法

    Antibody with azide - store at 2 to 8 °C. Antibody without azide - store at -20 to -80 ° C. Antibody is stable for 24 months. Non- hazardous.

    有效期

    24 months
  • 抗原

    Uroplakin 3B (UPK3B)

    别名

    Uroplakin 3B

    背景

    Gene Alias: FLJ32198, MGC10902, p35, UPIIIb

    UniProt

    Q9BT76
You are here: