电话:
+86 (0512) 65829739
传真:
+86 (010) 6788 5057
电子邮件:
orders@antibodies-online.cn

ADORA1 抗体 (AA 225-326)

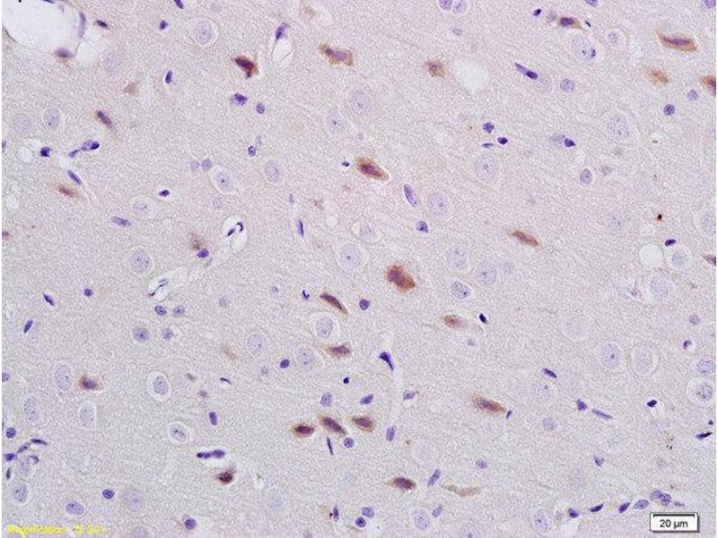
There is 1 publication for this product available. The 兔 多克隆 anti-ADORA1 antibody is suitable to detect ADORA1 in samples from 人 和 小鼠. It has been validated for WB, ELISA 和 IHC (p).
产品编号 ABIN719396
发货至: 中国
Contact our Customer Service for availability and price in your country. Contact Info

Our Local Distributor

中国
北京 101111
No. 88 KeChuang 6th Street
Beijing Economic Technological Development Area
Room 801-803
4A Biotech Co.,Ltd.
Tel +86 (0512) 65829739 传真 +86 (010) 6788 5057

Quick Overview for ADORA1 抗体 (AA 225-326) (ABIN719396)

抗原

See all ADORA1 抗体
ADORA1 (Adenosine A1 Receptor (ADORA1))

适用

  • 70
  • 52
  • 27
  • 7
  • 7
  • 6
  • 3
  • 3
  • 3
  • 3
  • 2
  • 2
  • 2
  • 2
人, 小鼠

宿主

  • 90
  • 1

克隆类型

  • 77
  • 13
多克隆

标记

  • 33
  • 6
  • 5
  • 4
  • 3
  • 2
  • 2
  • 2
  • 2
  • 2
  • 2
  • 2
  • 2
  • 2
  • 2
  • 2
  • 2
  • 2
  • 2
  • 2
  • 2
  • 2
  • 1
  • 1
  • 1
  • 1
  • 1
  • 1
This ADORA1 antibody is un-conjugated

应用范围

  • 75
  • 26
  • 19
  • 18
  • 13
  • 13
  • 13
  • 11
  • 11
  • 10
  • 4
  • 2
  • 2
  • 1
Western Blotting (WB), ELISA, Immunohistochemistry (Paraffin-embedded Sections) (IHC (p))
  • 抗原表位

    • 15
    • 13
    • 10
    • 8
    • 5
    • 2
    • 2
    • 2
    • 2
    • 2
    • 1
    • 1
    • 1
    • 1
    • 1
    • 1
    • 1
    • 1
    AA 225-326

    交叉反应

    人, 小鼠

    预测反应

    Rat,Dog,Cow,Pig,Horse,Chicken,Rabbit

    纯化方法

    Purified by Protein A.

    免疫原

    KLH conjugated synthetic peptide derived from human Adenosine A1 Receptor

    亚型

    IgG
  • 应用备注

    WB 1:300-5000
    ELISA 1:500-1000
    IHC-P 1:200-400

    限制

    仅限研究用
  • 状态

    Liquid

    浓度

    1 μg/μL

    缓冲液

    0.01M TBS( pH 7.4) with 1 % BSA, 0.02 % Proclin300 and 50 % Glycerol.

    储存液

    ProClin

    注意事项

    This product contains ProClin: a POISONOUS AND HAZARDOUS SUBSTANCE, which should be handled by trained staff only.

    储存条件

    4 °C,-20 °C

    储存方法

    Shipped at 4°C. Store at -20°C for one year. Avoid repeated freeze/thaw cycles.

    有效期

    12 months
  • Cao, Dai, Wei, Han, Guan, Li, Liu, Xiao, Li: "Effects of cordycepin on spontaneous alternation behavior and adenosine receptors expression in hippocampus." in: Physiology & behavior, Vol. 184, pp. 135-142, (2017) (PubMed).

  • 抗原

    ADORA1 (Adenosine A1 Receptor (ADORA1))

    别名

    ADORA1

    背景

    Synonyms: RDC7, Adenosine receptor A1, ADORA1

    Background: Adenosine is involved in a variety of processes, including the synthesis of urea, the anti-inflammatory response, and the inhibition of protein synthesis. The Adenosine receptors, including Adenosine A1-R, Adenosine A2A-R, Adenosine A2B-R and Adenosine A3-R, are integral membrane proteins that are members of the G protein-coupled receptor family. Adenosine A1-R mediates ureagenesis in a partially calcium-dependent manner. Adenosine is known to mediate coronary vasodilation via Adenosine A2A-R. Collagen synthesis and total protein synthesis are inhibited in certain cells by Adenosine, acting via the A2B receptors. Activation of Adenosine A3-R inhibits the induction of TNF?and blocks the endotoxin CD14 receptor signal transduction pathway.

    基因ID

    134

    UniProt

    P30542

    途径

    EGFR Signaling Pathway, Negative Regulation of Hormone Secretion, Synaptic Membrane
You are here: