电话:
+86 (0512) 65829739
传真:
+86 (010) 6788 5057
电子邮件:
orders@antibodies-online.cn

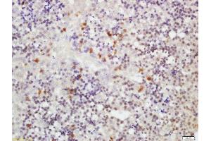
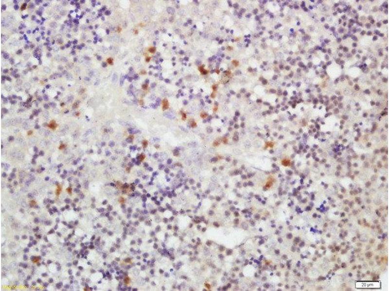
Clavesin 1 抗体 (AA 231-330)

The 兔 多克隆 anti-Clavesin 1 antibody is suitable to detect Clavesin 1 in samples from 大鼠 和 小鼠. It has been validated for IF (cc), IF (p), ELISA, IHC (p) 和 IHC (fro).
产品编号 ABIN718211
发货至: 中国
Contact our Customer Service for availability and price in your country. Contact Info

Our Local Distributor

中国
北京 101111
No. 88 KeChuang 6th Street
Beijing Economic Technological Development Area
Room 801-803
4A Biotech Co.,Ltd.
Tel +86 (0512) 65829739 传真 +86 (010) 6788 5057

Quick Overview for Clavesin 1 抗体 (AA 231-330) (ABIN718211)

抗原

See all Clavesin 1 (CLVS1) 抗体
Clavesin 1 (CLVS1)

适用

  • 24
  • 22
  • 10
  • 3
  • 3
  • 3
  • 3
  • 3
  • 2
  • 2
  • 2
  • 2
  • 1
  • 1
大鼠, 小鼠

宿主

  • 25
  • 1

克隆类型

  • 26
多克隆

标记

  • 12
  • 1
  • 1
  • 1
  • 1
  • 1
  • 1
  • 1
  • 1
  • 1
  • 1
  • 1
  • 1
  • 1
  • 1
This Clavesin 1 antibody is un-conjugated

应用范围

  • 12
  • 12
  • 11
  • 5
  • 3
  • 2
  • 1
Immunofluorescence (Cultured Cells) (IF (cc)), Immunofluorescence (Paraffin-embedded Sections) (IF (p)), ELISA, Immunohistochemistry (Paraffin-embedded Sections) (IHC (p)), Immunohistochemistry (Frozen Sections) (IHC (fro))
  • 抗原表位

    • 14
    • 2
    • 2
    • 1
    • 1
    • 1
    • 1
    • 1
    AA 231-330

    特异性

    Based on the similarity among the proteins, there is a chance that this antibody could react with Clavesin-2

    交叉反应

    小鼠, 大鼠

    预测反应

    Human,Dog,Cow,Sheep,Pig,Horse,Chicken,Rabbit

    纯化方法

    Purified by Protein A.

    免疫原

    KLH conjugated synthetic peptide derived from human Clavesin-1

    亚型

    IgG
  • 应用备注

    ELISA 1:500-1000
    IHC-P 1:200-400
    IHC-F 1:100-500
    IF(IHC-P) 1:50-200
    IF(IHC-F) 1:50-200
    IF(ICC) 1:50-200

    限制

    仅限研究用
  • 状态

    Liquid

    浓度

    1 μg/μL

    缓冲液

    0.01M TBS( pH 7.4) with 1 % BSA, 0.02 % Proclin300 and 50 % Glycerol.

    储存液

    ProClin

    注意事项

    This product contains ProClin: a POISONOUS AND HAZARDOUS SUBSTANCE, which should be handled by trained staff only.

    储存条件

    4 °C,-20 °C

    储存方法

    Shipped at 4°C. Store at -20°C for one year. Avoid repeated freeze/thaw cycles.

    有效期

    12 months
  • 抗原

    Clavesin 1 (CLVS1)

    别名

    Clavesin

    背景

    Synonyms: CRALBPL, RLBP1L1, Clavesin-1, Cellular retinaldehyde-binding protein-like, Retinaldehyde-binding protein 1-like 1, CLVS1

    Background: Required for normal morphology of late endosomes and/or lysosomes in neurons (By similarity). Binds phosphatidylinositol 3,5-bisphosphate (PtdIns(3,5)P2).

    基因ID

    157807

    UniProt

    Q8IUQ0
You are here: