电话:
+86 (0512) 65829739
传真:
+86 (010) 6788 5057
电子邮件:
orders@antibodies-online.cn

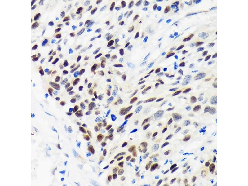
WDHD1 抗体 (AA 830-1129)

The 兔 多克隆 anti-WDHD1 antibody is suitable to detect WDHD1 in samples from 人. It has been validated for WB, IHC 和 IF.
产品编号 ABIN7271351
发货至: 中国
Contact our Customer Service for availability and price in your country. Contact Info

Our Local Distributor

中国
北京 101111
No. 88 KeChuang 6th Street
Beijing Economic Technological Development Area
Room 801-803
4A Biotech Co.,Ltd.
Tel +86 (0512) 65829739 传真 +86 (010) 6788 5057

Quick Overview for WDHD1 抗体 (AA 830-1129) (ABIN7271351)

抗原

See all WDHD1 抗体
WDHD1 (WD Repeat and HMG-Box DNA Binding Protein 1 (WDHD1))

适用

  • 28
  • 7
  • 6
  • 5
  • 5
  • 5
  • 4
  • 3
  • 2
  • 1
  • 1
  • 1
  • 1

宿主

  • 25
  • 4

克隆类型

  • 25
  • 4
多克隆

标记

  • 22
  • 1
  • 1
  • 1
  • 1
  • 1
  • 1
  • 1
This WDHD1 antibody is un-conjugated

应用范围

  • 18
  • 8
  • 6
  • 5
  • 4
  • 4
  • 1
Western Blotting (WB), Immunohistochemistry (IHC), Immunofluorescence (IF)
  • 抗原表位

    • 5
    • 2
    • 2
    • 2
    • 2
    • 1
    • 1
    • 1
    • 1
    • 1
    • 1
    AA 830-1129

    原理

    WDHD1 Rabbit pAb

    序列

    EEEEEEDFRK KLNAGYSNTA TEWSQPRFRN QVEEDAEDSG EADDEEKPEI HKPGQNSFSK STNSSDVSAK SGAVTFSSQG RVNPFKVSAS SKEPAMSMNS ARSTNILDNM GKSSKKSTAL SRTTNNEKSP IIKPLIPKPK PKQASAASYF QKRNSQTNKT EEVKEENLKN VLSETPAICP PQNTENQRPK TGFQMWLEEN RSNILSDNPD FSDEADIIKE GMIRFRVLST EERKVWANKA KGETASEGTE AKKRKRVVDE SDETENQEEK AKENLNLSKK QKPLDFSTNQ KLSAFAFKQE

    交叉反应

    人, 大鼠

    产品特性

    Polyclonal Antibodies

    纯化方法

    Affinity purification

    免疫原

    Recombinant fusion protein containing a sequence corresponding to amino acids 830-1129 of human WDHD1 (NP_009017.1).

    亚型

    IgG
  • 应用备注

    WB,1:200 - 1:2000,IHC,1:50 - 1:200,IF,1:50 - 1:200

    限制

    仅限研究用
  • 状态

    Liquid

    缓冲液

    PBS with 0.02 % sodium azide,50 % glycerol, pH 7.3.

    储存液

    Sodium azide

    注意事项

    This product contains Sodium azide: a POISONOUS AND HAZARDOUS SUBSTANCE which should be handled by trained staff only.

    储存条件

    -20 °C

    储存方法

    Store at -20°C. Avoid freeze / thaw cycles.
  • 抗原

    WDHD1 (WD Repeat and HMG-Box DNA Binding Protein 1 (WDHD1))

    别名

    WDHD1

    背景

    The protein encoded by this gene contains multiple N-terminal WD40 domains and a C-terminal high mobility group (HMG) box. WD40 domains are found in a variety of eukaryotic proteins and may function as adaptor/regulatory modules in signal transduction, pre-mRNA processing and cytoskeleton assembly. HMG boxes are found in many eukaryotic proteins involved in chromatin assembly, transcription and replication. Alternative splicing results in two transcript variants encoding different isoforms.,WDHD1,AND-1,AND1,CHTF4,CTF4,Epigenetics & Nuclear Signaling,WDHD1

    分子量

    112kDa/125kDa

    基因ID

    11169

    UniProt

    O75717
You are here: