VAV2 抗体
Our Local Distributor
北京 101111
Quick Overview for VAV2 抗体 (ABIN7271304)
抗原
See all VAV2 抗体适用
宿主
克隆类型
标记
应用范围
-
-
原理
- VAV2 Rabbit mAb
-
交叉反应
- 人, 小鼠
-
产品特性
- Monoclonal Antibodies
-
纯化方法
- Affinity purification
-
免疫原
- A synthesized peptide derived from human VAV2
-
亚型
- IgG
-
-
-
-
应用备注
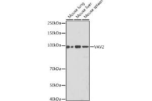
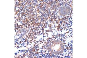
- WB,1:500 - 1:2000,IHC,1:50 - 1:200
-
限制
- 仅限研究用
-
-
-
状态
- Liquid
-
缓冲液
- PBS with 0.02 % sodium azide,0.05 % BSA,50 % glycerol, pH 7.3.
-
储存液
- Sodium azide
-
注意事项
- This product contains Sodium azide: a POISONOUS AND HAZARDOUS SUBSTANCE which should be handled by trained staff only.
-
储存条件
- -20 °C
-
储存方法
- Store at -20°C. Avoid freeze / thaw cycles.
-
-
- VAV2 (Vav 2 Guanine Nucleotide Exchange Factor (VAV2))
-
别名
- VAV2
-
背景
- VAV2 is the second member of the VAV guanine nucleotide exchange factor family of oncogenes. Unlike VAV1, which is expressed exclusively in hematopoietic cells, VAV2 transcripts were found in most tissues. Alternatively spliced transcript variants encoding different isoforms have been found for this gene. [provided by RefSeq, Aug 2008],VAV-2,B Cell Receptor Signaling Pathway,Cancer,Cell Biology & Developmental Biology,Cytoskeleton,Cytoskeleton_Actins,Epigenetics & Nuclear Signaling,G protein signaling,G protein signaling_Small G proteins,Immunology & Inflammation,Signal Transduction,T Cell Receptor Signaling Pathway,VAV2
-
分子量
- 100kDa
-
基因ID
- 7410
-
UniProt
- P52735
-
途径
- Fc-epsilon Receptor Signaling Pathway, Neurotrophin Signaling Pathway
抗原
-