UGT2B15 抗体 (AA 60-190)
Our Local Distributor
北京 101111
Quick Overview for UGT2B15 抗体 (AA 60-190) (ABIN7271194)
抗原
See all UGT2B15 抗体适用
宿主
克隆类型
标记
应用范围
-
-
抗原表位
- AA 60-190
-
原理
- UGT2B15 Rabbit pAb
-
序列
- ASTLVNASKS SAIKLEVYPT SLTKNYLEDS LLKILDRWIY GVSKNTFWSY FSQLQELCWE YYDYSNKLCK DAVLNKKLMM KLQESKFDVI LADALNPCGE LLAELFNIPF LYSLRFSVGY TFEKNGGGFL F
-
交叉反应
- 人, 小鼠, 大鼠
-
产品特性
- Polyclonal Antibodies
-
纯化方法
- Affinity purification
-
免疫原
- Recombinant fusion protein containing a sequence corresponding to amino acids 60-190 of human UGT2B15 (NP_001067.2).
-
亚型
- IgG
-
-
-
-
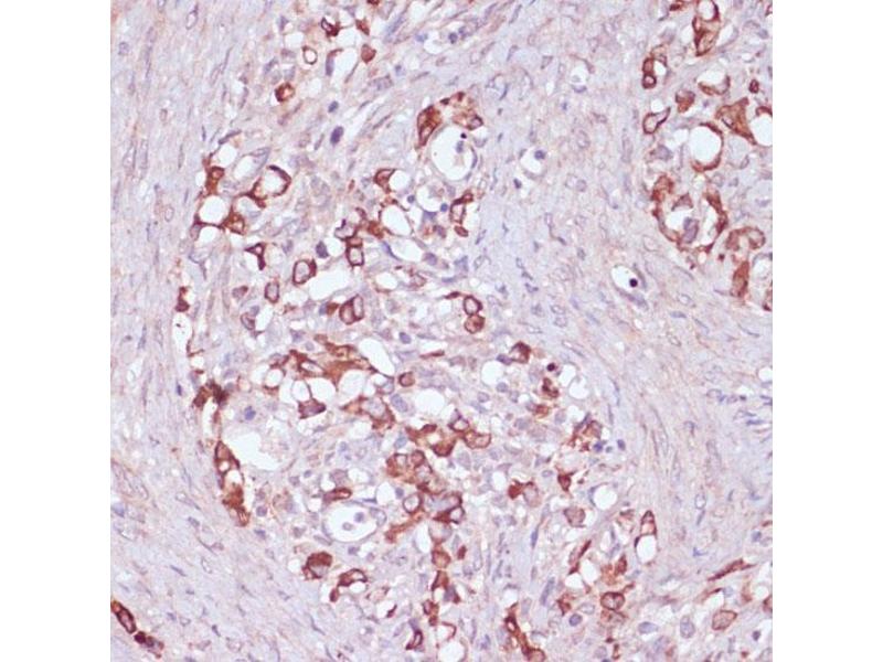
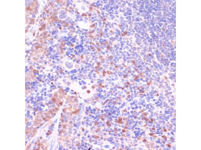
应用备注
- WB,1:500 - 1:2000,IHC,1:100 - 1:200
-
限制
- 仅限研究用
-
-
-
状态
- Liquid
-
缓冲液
- PBS with 0.02 % sodium azide,50 % glycerol, pH 7.3.
-
储存液
- Sodium azide
-
注意事项
- This product contains Sodium azide: a POISONOUS AND HAZARDOUS SUBSTANCE which should be handled by trained staff only.
-
储存条件
- -20 °C
-
储存方法
- Store at -20°C. Avoid freeze / thaw cycles.
-
-
- UGT2B15 (UDP Glucuronosyltransferase 2 Family, Polypeptide B15 (UGT2B15))
-
别名
- UGT2B15
-
背景
- This gene encodes a glycosyltransferase that is invovled in the metabolism and elimination of toxic compounts, both endogenous and of xenobiotic origin. This gene plays a role in the regulation of estrogens and androgens. This locus is present in a cluster of similar genes and pseudogenes on chromosome 4.,UGT2B15,HLUG4,UDPGT 2B8,UDPGT2B15,UDPGTH3,UGT2B8,Signal Transduction,Cell Biology & Developmental Biology,Growth factor,Endocrine & Metabolism,Drug metabolism,UGT2B15
-
分子量
- 61kDa
-
基因ID
- 7366
-
UniProt
- P54855
-
途径
- Steroid Hormone Biosynthesis
抗原
-