USP39 抗体
Our Local Distributor
北京 101111
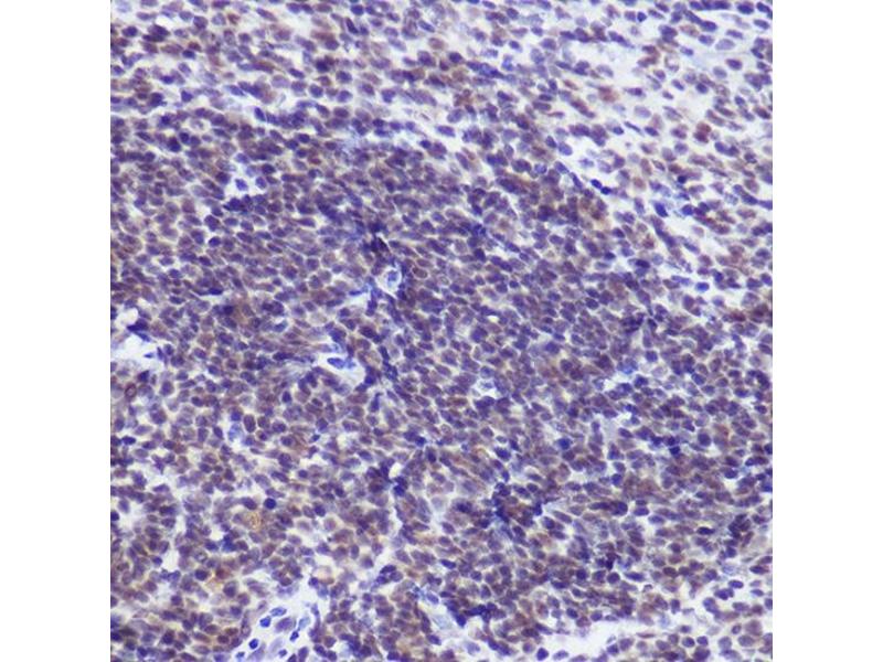
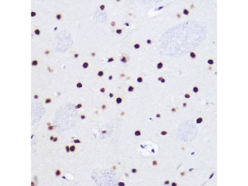
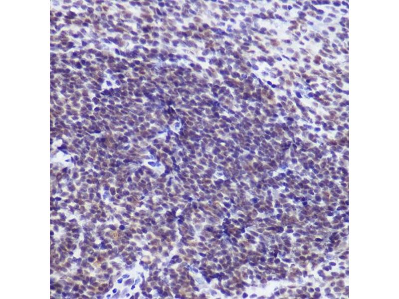
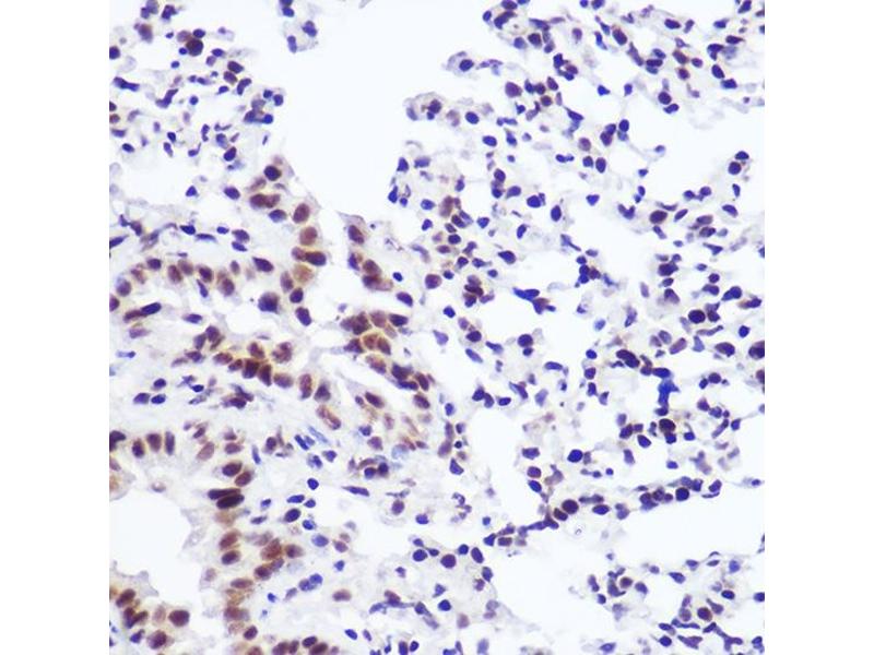
Quick Overview for USP39 抗体 (ABIN7271160)
抗原
See all USP39 抗体适用
宿主
克隆类型
标记
应用范围
-
-
原理
- USP39 Rabbit mAb
-
交叉反应
- 人, 小鼠, 大鼠
-
产品特性
- Monoclonal Antibodies
-
纯化方法
- Affinity purification
-
免疫原
- A synthesized peptide derived from human USP39.
-
亚型
- IgG
-
-
-
-
应用备注
- WB,1:500 - 1:2000,IHC,1:50 - 1:200,IF,1:50 - 1:200
-
限制
- 仅限研究用
-
-
-
状态
- Liquid
-
缓冲液
- PBS with 0.02 % sodium azide,0.05 % BSA,50 % glycerol, pH 7.3.
-
储存液
- Sodium azide
-
注意事项
- This product contains Sodium azide: a POISONOUS AND HAZARDOUS SUBSTANCE which should be handled by trained staff only.
-
储存条件
- -20 °C
-
储存方法
- Store at -20°C. Avoid freeze / thaw cycles.
-
-
- USP39 (Ubiquitin Specific Peptidase 39 (USP39))
-
别名
- USP39
-
背景
- Plays a role in pre-mRNA splicing as a component of the U4/U6-U5 tri-snRNP, one of the building blocks of the precatalytic spliceosome. Regulates AURKB mRNA levels, and thereby plays a role in cytokinesis and in the spindle checkpoint. Does not have ubiquitin-specific peptidase activity.,USP39, 65K, CGI-21, HSPC332, SAD1, SNRNP65, ubiquitin specific peptidase 39,Epigenetics & Nuclear Signaling,Cell Biology & Developmental Biology,Ubiquitin,USP39
-
分子量
- 65kDa
-
基因ID
- 10713
-
UniProt
- Q53GS9
-
途径
- Ribonucleoprotein Complex Subunit Organization
抗原
-