UQCRH 抗体
Our Local Distributor
北京 101111
Quick Overview for UQCRH 抗体 (ABIN7271126)
抗原
See all UQCRH (Uqcrh) 抗体适用
宿主
克隆类型
标记
应用范围
-
-
原理
- UQCRH Rabbit mAb
-
交叉反应
- 人, 小鼠, 大鼠
-
产品特性
- Monoclonal Antibodies
-
纯化方法
- Affinity purification
-
免疫原
- A synthesized peptide derived from human UQCRH.
-
亚型
- IgG
-
-
-
-
应用备注
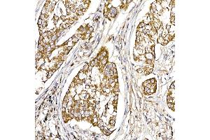
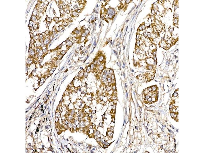
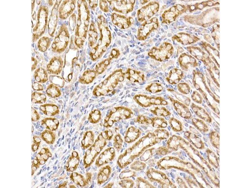
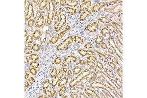
- WB,1:500 - 1:2000,IHC,1:50 - 1:200
-
限制
- 仅限研究用
-
-
-
状态
- Liquid
-
缓冲液
- PBS with 0.02 % sodium azide,50 % glycerol, pH 7.3.
-
储存液
- Sodium azide
-
注意事项
- This product contains Sodium azide: a POISONOUS AND HAZARDOUS SUBSTANCE which should be handled by trained staff only.
-
储存条件
- -20 °C
-
储存方法
- Store at -20°C. Avoid freeze / thaw cycles.
-
-
- UQCRH (Uqcrh) (Ubiquinol-Cytochrome C Reductase Hinge Protein (Uqcrh))
-
别名
- UQCRH
-
背景
- Component of the ubiquinol-cytochrome c oxidoreductase, a multisubunit transmembrane complex that is part of the mitochondrial electron transport chain which drives oxidative phosphorylation. The respiratory chain contains 3 multisubunit complexes succinate dehydrogenase (complex II, CII, ubiquinol-cytochrome c oxidoreductase (cytochrome b-c1 complex, complex III, CIII and cytochrome c oxidase (complex IV, CIV, that cooperate to transfer electrons derived from NADH and succinate to molecular oxygen, creating an electrochemical gradient over the inner membrane that drives transmembrane transport and the ATP synthase. The cytochrome b-c1 complex catalyzes electron transfer from ubiquinol to cytochrome c, linking this redox reaction to translocation of protons across the mitochondrial inner membrane, with protons being carried across the membrane as hydrogens on the quinol. In the process called Q cycle, 2 protons are consumed from the matrix, 4 protons are released into the intermembrane space and 2 electrons are passed to cytochrome c.,UQCRH
-
分子量
- 11kDa
-
基因ID
- 7388
-
UniProt
- P07919
抗原
-