电话:
+86 (0512) 65829739
传真:
+86 (010) 6788 5057
电子邮件:
orders@antibodies-online.cn

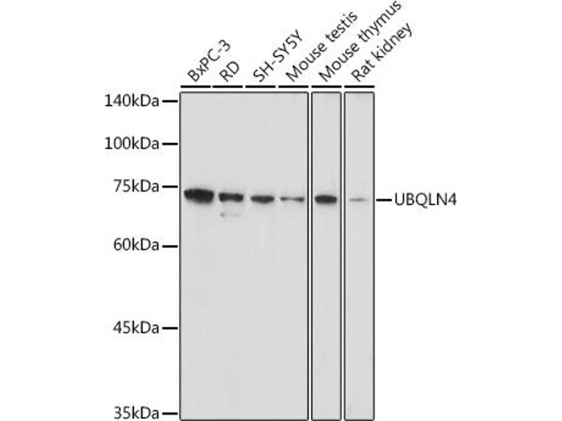
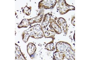
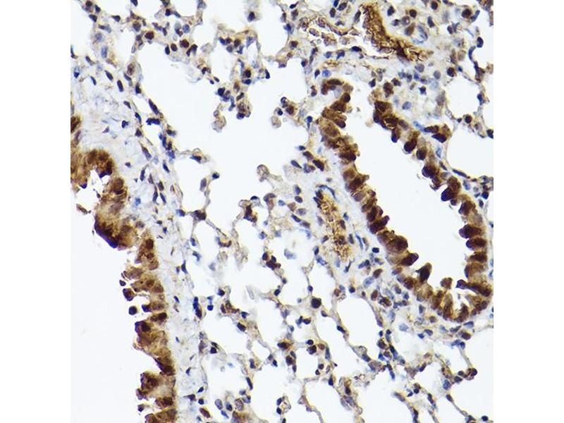
UBQLN4 抗体 (AA 300-390)

The 兔 多克隆 anti-UBQLN4 antibody (ABIN7271124) specifically detects UBQLN4 in WB, IHC 和 IF. The antibody is reactive with 人 samples.
产品编号 ABIN7271124
发货至: 中国
Contact our Customer Service for availability and price in your country. Contact Info

Our Local Distributor

中国
北京 101111
No. 88 KeChuang 6th Street
Beijing Economic Technological Development Area
Room 801-803
4A Biotech Co.,Ltd.
Tel +86 (0512) 65829739 传真 +86 (010) 6788 5057

Quick Overview for UBQLN4 抗体 (AA 300-390) (ABIN7271124)

抗原

See all UBQLN4 抗体
UBQLN4 (Ubiquilin 4 (UBQLN4))

适用

  • 13
  • 7
  • 6
  • 4
  • 4
  • 4
  • 3
  • 3
  • 3
  • 3
  • 2
  • 1
  • 1
  • 1
  • 1

宿主

  • 13

克隆类型

  • 11
  • 2
多克隆

标记

  • 13
This UBQLN4 antibody is un-conjugated

应用范围

  • 13
  • 3
  • 3
  • 3
  • 2
  • 2
  • 2
  • 1
Western Blotting (WB), Immunohistochemistry (IHC), Immunofluorescence (IF)
  • 抗原表位

    • 3
    • 2
    • 2
    • 1
    • 1
    • 1
    • 1
    • 1
    • 1
    AA 300-390

    原理

    UBQLN4 Rabbit pAb

    序列

    QFGNNPFSSL AGNSDSSSSQ PLRTENREPL PNPWSPSPPT SQAPGSGGEG TGGSGTSQVH PTVSNPFGIN AASLGSGMFN SPEMQALLQQ I

    交叉反应

    人, 小鼠, 大鼠

    产品特性

    Polyclonal Antibodies

    纯化方法

    Affinity purification

    免疫原

    Recombinant fusion protein containing a sequence corresponding to amino acids 300-390 of human UBQLN4 (NP_064516.2).

    亚型

    IgG
  • 应用备注

    WB,1:500 - 1:2000,IHC,1:50 - 1:200,IF,1:50 - 1:200

    限制

    仅限研究用
  • 状态

    Liquid

    缓冲液

    PBS with 0.02 % sodium azide,50 % glycerol, pH 7.3.

    储存液

    Sodium azide

    注意事项

    This product contains Sodium azide: a POISONOUS AND HAZARDOUS SUBSTANCE which should be handled by trained staff only.

    储存条件

    -20 °C

    储存方法

    Store at -20°C. Avoid freeze / thaw cycles.
  • 抗原

    UBQLN4 (Ubiquilin 4 (UBQLN4))

    别名

    UBQLN4

    背景

    Regulator of protein degradation that mediates the proteasomal targeting of misfolded, mislocalized or accumulated proteins. Acts by binding polyubiquitin chains of target proteins via its UBA domain and by interacting with subunits of the proteasome via its ubiquitin-like domain. Key regulator of DNA repair that represses homologous recombination repair: in response to DNA damage, recruited to sites of DNA damage following phosphorylation by ATM and acts by binding and removing ubiquitinated MRE11 from damaged chromatin, leading to MRE11 degradation by the proteasome. MRE11 degradation prevents homologous recombination repair, redirecting double-strand break repair toward non-homologous end joining (NHEJ. Specifically recognizes and binds mislocalized transmembrane-containing proteins and targets them to proteasomal degradation. Collaborates with DESI1/POST in the export of ubiquitinated proteins from the nucleus to the cytoplasm. Also plays a role in the regulation of the proteasomal degradation of non-ubiquitinated GJA1 (By similarity. Acts as an adapter protein that recruits UBQLN1 to the autophagy machinery. Mediates the association of UBQLN1 with autophagosomes and the autophagy-related protein LC3 (MAP1LC3A/B/C and may assist in the maturation of autophagosomes to autolysosomes by mediating autophagosome-lysosome fusion.,UBQLN4,A1U,A1Up,C1orf6,CIP75,UBIN,Cell Biology & Developmental Biology,Ubiquitin,UBQLN4

    分子量

    24kDa/63kDa

    基因ID

    56893

    UniProt

    Q9NRR5
You are here: