电话:
+86 (0512) 65829739
传真:
+86 (010) 6788 5057
电子邮件:
orders@antibodies-online.cn

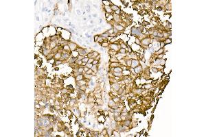
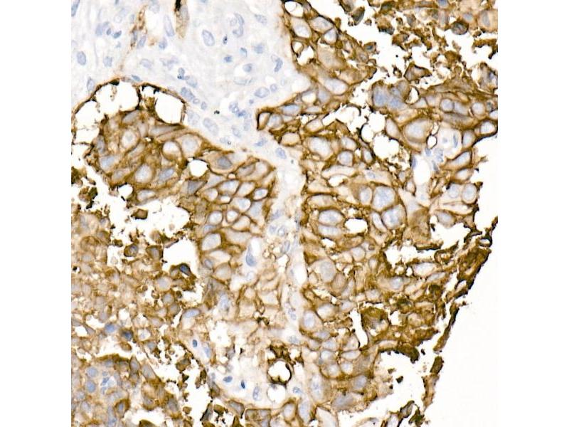
TACSTD2 抗体

The 兔 单克隆 anti-TACSTD2 antibody (ABIN7271103) specifically detects TACSTD2 in WB, IHC, FACS 和 IF. The antibody is reactive with 人 samples.
产品编号 ABIN7271103
发货至: 中国
Contact our Customer Service for availability and price in your country. Contact Info

Our Local Distributor

中国
北京 101111
No. 88 KeChuang 6th Street
Beijing Economic Technological Development Area
Room 801-803
4A Biotech Co.,Ltd.
Tel +86 (0512) 65829739 传真 +86 (010) 6788 5057

Quick Overview for TACSTD2 抗体 (ABIN7271103)

抗原

See all TACSTD2 抗体
TACSTD2 (Tumor-Associated Calcium Signal Transducer 2 (TACSTD2))

适用

  • 128
  • 62
  • 30
  • 11
  • 7
  • 7
  • 5

宿主

  • 79
  • 43
  • 15
  • 3
  • 1
  • 1

克隆类型

  • 84
  • 58
单克隆

标记

  • 68
  • 9
  • 7
  • 6
  • 4
  • 2
  • 2
  • 2
  • 2
  • 2
  • 2
  • 2
  • 2
  • 2
  • 2
  • 2
  • 2
  • 2
  • 2
  • 2
  • 2
  • 1
  • 1
  • 1
  • 1
  • 1
  • 1
  • 1
  • 1
  • 1
  • 1
  • 1
  • 1
  • 1
  • 1
  • 1
  • 1
This TACSTD2 antibody is un-conjugated

应用范围

  • 88
  • 64
  • 35
  • 27
  • 20
  • 18
  • 16
  • 13
  • 13
  • 6
  • 3
  • 3
  • 2
  • 1
Western Blotting (WB), Immunohistochemistry (IHC), Flow Cytometry (FACS), Immunofluorescence (IF)
You are here: