电话:
+86 (0512) 65829739
传真:
+86 (010) 6788 5057
电子邮件:
orders@antibodies-online.cn

TPI1 抗体 (AA 1-249)

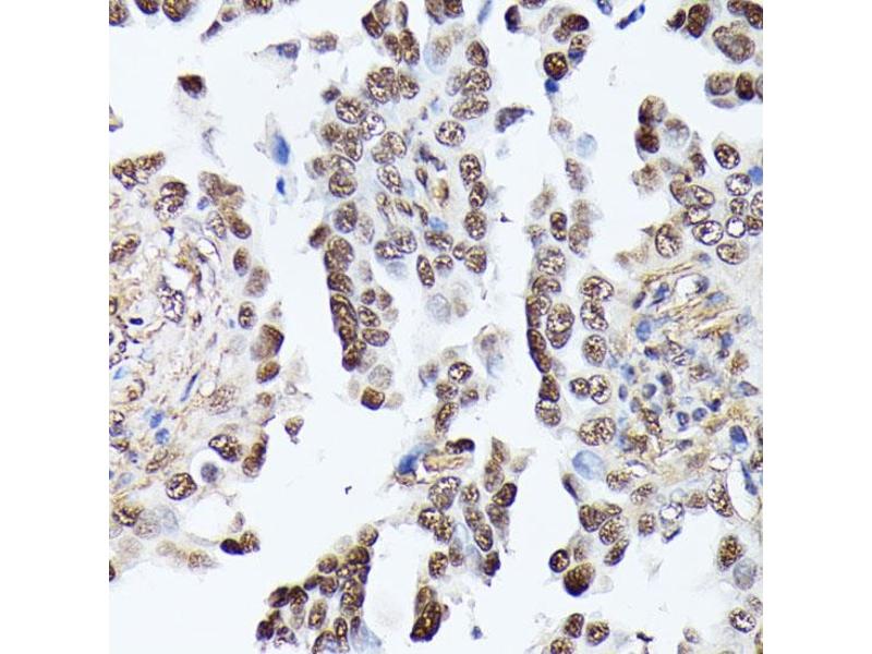
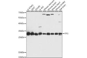
The 兔 多克隆 anti-TPI1 antibody (ABIN7270977) specifically detects TPI1 in WB, IHC 和 IF. The antibody is reactive with 人 samples.
产品编号 ABIN7270977
发货至: 中国
Contact our Customer Service for availability and price in your country. Contact Info

Our Local Distributor

中国
北京 101111
No. 88 KeChuang 6th Street
Beijing Economic Technological Development Area
Room 801-803
4A Biotech Co.,Ltd.
Tel +86 (0512) 65829739 传真 +86 (010) 6788 5057

Quick Overview for TPI1 抗体 (AA 1-249) (ABIN7270977)

抗原

See all TPI1 抗体
TPI1 (Triosephosphate Isomerase 1 (TPI1))

适用

  • 67
  • 42
  • 32
  • 8
  • 6
  • 2
  • 2
  • 1
  • 1
  • 1

宿主

  • 61
  • 10
  • 7
  • 2

克隆类型

  • 59
  • 19
多克隆

标记

  • 48
  • 8
  • 3
  • 2
  • 1
  • 1
  • 1
  • 1
  • 1
  • 1
  • 1
  • 1
  • 1
  • 1
  • 1
  • 1
  • 1
  • 1
  • 1
  • 1
  • 1
  • 1
  • 1
This TPI1 antibody is un-conjugated

应用范围

  • 74
  • 28
  • 18
  • 18
  • 16
  • 13
  • 13
  • 13
  • 10
  • 7
  • 6
  • 6
  • 5
  • 4
  • 3
  • 1
  • 1
  • 1
Western Blotting (WB), Immunohistochemistry (IHC), Immunofluorescence (IF)
  • 抗原表位

    • 15
    • 9
    • 6
    • 5
    • 3
    • 2
    • 2
    • 2
    • 2
    • 1
    • 1
    AA 1-249

    原理

    TPI1 Rabbit pAb

    序列

    MAPSRKFFVG GNWKMNGRKQ SLGELIGTLN AAKVPADTEV VCAPPTAYID FARQKLDPKI AVAAQNCYKV TNGAFTGEIS PGMIKDCGAT WVVLGHSERR HVFGESDELI GQKVAHALAE GLGVIACIGE KLDEREAGIT EKVVFEQTKV IADNVKDWSK VVLAYEPVWA IGTGKTATPQ QAQEVHEKLR GWLKSNVSDA VAQSTRIIYG GSVTGATCKE LASQPDVDGF LVGGASLKPE FVDIINAKQ

    交叉反应

    人, 小鼠, 大鼠

    产品特性

    Polyclonal Antibodies

    纯化方法

    Affinity purification

    免疫原

    Recombinant fusion protein containing a sequence corresponding to amino acids 1-249 of human TPI1 (NP_000356.1).

    亚型

    IgG
  • 应用备注

    WB,1:500 - 1:2000,IHC,1:100 - 1:200,IF,1:50 - 1:200

    限制

    仅限研究用
  • 状态

    Liquid

    缓冲液

    PBS with 0.02 % sodium azide,50 % glycerol, pH 7.3.

    储存液

    Sodium azide

    注意事项

    This product contains Sodium azide: a POISONOUS AND HAZARDOUS SUBSTANCE which should be handled by trained staff only.

    储存条件

    -20 °C

    储存方法

    Store at -20°C. Avoid freeze / thaw cycles.
  • 抗原

    TPI1 (Triosephosphate Isomerase 1 (TPI1))

    别名

    TPI1

    背景

    This gene encodes an enzyme, consisting of two identical proteins, which catalyzes the isomerization of glyceraldehydes 3-phosphate (G3P) and dihydroxy-acetone phosphate (DHAP) in glycolysis and gluconeogenesis. Mutations in this gene are associated with triosephosphate isomerase deficiency. Pseudogenes have been identified on chromosomes 1, 4, 6 and 7. Alternative splicing results in multiple transcript variants.,TPI1,HEL-S-49,TIM,TPI,TPID,Cancer,Signal Transduction,Endocrine & Metabolism,Carbohydrate metabolism,TPI1

    分子量

    17kDa/26kDa/30kDa

    基因ID

    7167

    UniProt

    P60174

    途径

    Cell RedoxHomeostasis
You are here: