电话:
+86 (0512) 65829739
传真:
+86 (010) 6788 5057
电子邮件:
orders@antibodies-online.cn

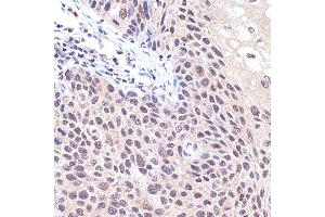
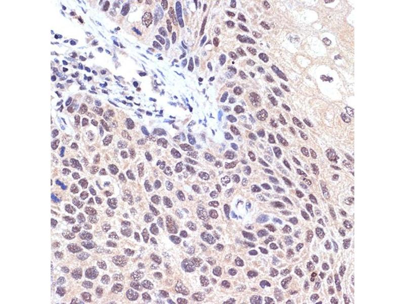
Transportin 3 抗体

The 兔 单克隆 anti-Transportin 3 antibody (ABIN7270971) specifically detects Transportin 3 in WB, IF 和 IHC. The antibody is reactive with 人 samples.
产品编号 ABIN7270971
发货至: 中国
Contact our Customer Service for availability and price in your country. Contact Info

Our Local Distributor

中国
北京 101111
No. 88 KeChuang 6th Street
Beijing Economic Technological Development Area
Room 801-803
4A Biotech Co.,Ltd.
Tel +86 (0512) 65829739 传真 +86 (010) 6788 5057

Quick Overview for Transportin 3 抗体 (ABIN7270971)

抗原

See all Transportin 3 (TNPO3) 抗体
Transportin 3 (TNPO3)

适用

  • 31
  • 24
  • 24
  • 2
  • 2
  • 1
  • 1
  • 1
  • 1
  • 1
  • 1
  • 1

宿主

  • 29
  • 2

克隆类型

  • 21
  • 10
单克隆

标记

  • 11
  • 3
  • 2
  • 2
  • 2
  • 2
  • 2
  • 2
  • 2
  • 1
  • 1
  • 1
This Transportin 3 antibody is un-conjugated

应用范围

  • 19
  • 12
  • 12
  • 11
  • 6
  • 2
  • 1
  • 1
Western Blotting (WB), Immunofluorescence (IF), Immunohistochemistry (IHC)
  • 原理

    Transportin 3 (TNPO3) Rabbit mAb

    交叉反应

    人, 小鼠, 大鼠

    产品特性

    Monoclonal Antibodies

    纯化方法

    Affinity purification

    免疫原

    A synthesized peptide derived from human Transportin 3 (Transportin 3 (TNPO3))

    亚型

    IgG
  • 应用备注

    WB,1:500 - 1:2000,IHC,1:50 - 1:200,IF,1:50 - 1:200

    限制

    仅限研究用
  • 状态

    Liquid

    缓冲液

    PBS with 0.02 % sodium azide,0.05 % BSA,50 % glycerol, pH 7.3.

    储存液

    Sodium azide

    注意事项

    This product contains Sodium azide: a POISONOUS AND HAZARDOUS SUBSTANCE which should be handled by trained staff only.

    储存条件

    -20 °C

    储存方法

    Store at -20°C. Avoid freeze / thaw cycles.
  • 抗原

    Transportin 3 (TNPO3)

    别名

    TNPO3

    背景

    The protein encoded by this gene is a nuclear import receptor for serine/arginine-rich (SR) proteins such as the splicing factors SFRS1 and SFRS2. The encoded protein has also been shown to be involved in HIV-1 infection, apparently through interaction with the HIV-1 capsid protein. Two transcript variants encoding different isoforms as well as a noncoding transcript have been found for this gene.[provided by RefSeq, Jul 2010],IPO12, LGMD1F, MTR10A, TRN-SR, TRN-SR2, TRNSR,Epigenetics & Nuclear Signaling,Nuclear Receptor Signaling,Signal Transduction,TNPO3

    分子量

    100kDa

    基因ID

    23534

    UniProt

    Q9Y5L0

    途径

    Protein targeting to Nucleus
You are here: