电话:
+86 (0512) 65829739
传真:
+86 (010) 6788 5057
电子邮件:
orders@antibodies-online.cn

TMEM44 抗体 (AA 110-260)

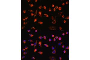
The 兔 多克隆 anti-TMEM44 antibody is suitable to detect TMEM44 in samples from 人. It has been validated for IF 和 WB.
产品编号 ABIN7270964
发货至: 中国
Contact our Customer Service for availability and price in your country. Contact Info

Our Local Distributor

中国
北京 101111
No. 88 KeChuang 6th Street
Beijing Economic Technological Development Area
Room 801-803
4A Biotech Co.,Ltd.
Tel +86 (0512) 65829739 传真 +86 (010) 6788 5057

Quick Overview for TMEM44 抗体 (AA 110-260) (ABIN7270964)

抗原

TMEM44 (Transmembrane Protein 44 (TMEM44))

适用

宿主

  • 6

克隆类型

  • 6
多克隆

标记

  • 2
  • 2
  • 1
  • 1
This TMEM44 antibody is un-conjugated

应用范围

  • 4
  • 2
  • 1
  • 1
Immunofluorescence (IF), Western Blotting (WB)
  • 抗原表位

    AA 110-260

    原理

    TMEM44 Rabbit pAb

    序列

    VCGSKFKSNS DREARERKRR RQLRASVFAL ALPLSLGPCW ALWVAVPKAS ATIRGPQRRL LASLLQENTE ILGYLLGSVA AFGSWASRIP PLSRIAPPPT LGITTQHEIW RGQMSKPSQS PSRSPSGHWR AAAQRQVLGT EMCRGKTFPS I

    交叉反应

    小鼠, 大鼠

    产品特性

    Polyclonal Antibodies

    纯化方法

    Affinity purification

    免疫原

    Recombinant fusion protein containing a sequence corresponding to amino acids 110-260 of human TMEM44 (NP_001159777.1).

    亚型

    IgG
  • 应用备注

    WB,1:500 - 1:2000,IF,1:50 - 1:200

    限制

    仅限研究用
  • 状态

    Liquid

    缓冲液

    PBS with 0.02 % sodium azide,50 % glycerol, pH 7.3.

    储存液

    Sodium azide

    注意事项

    This product contains Sodium azide: a POISONOUS AND HAZARDOUS SUBSTANCE which should be handled by trained staff only.

    储存条件

    -20 °C

    储存方法

    Store at -20°C. Avoid freeze / thaw cycles.
  • 抗原

    TMEM44 (Transmembrane Protein 44 (TMEM44))

    别名

    TMEM44

    背景

    TMEM44,Cell Biology & Developmental Biology,TMEM44

    分子量

    43kDa/47kDa/48kDa/52kDa

    基因ID

    93109

    UniProt

    Q2T9K0
You are here: