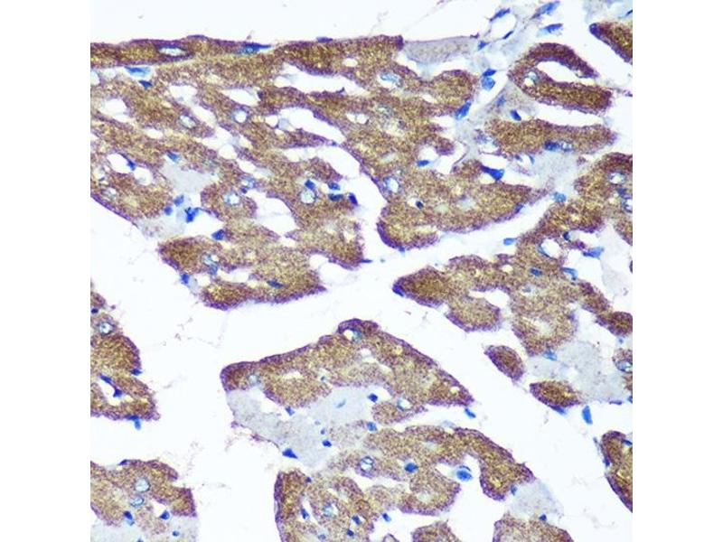
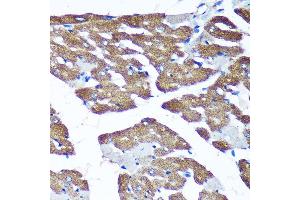
TIMMDC1 抗体 (AA 206-285)
Our Local Distributor
北京 101111
Quick Overview for TIMMDC1 抗体 (AA 206-285) (ABIN7270929)
抗原
适用
宿主
克隆类型
标记
应用范围
-
-
抗原表位
- AA 206-285
-
原理
- TIMMDC1 Rabbit pAb
-
序列
- LMAFQKYSGE TVQERKQKDR KALHELKLEE WKGRLQVTEH LPEKIESSLQ EDEPENDAKK IEALLNLPRN PSVIDKQDKD
-
交叉反应
- 人, 小鼠, 大鼠
-
产品特性
- Polyclonal Antibodies
-
纯化方法
- Affinity purification
-
免疫原
- Recombinant fusion protein containing a sequence corresponding to amino acids 206-285 of human TIMMDC1 (NP_057673.2).
-
亚型
- IgG
-
-
-
-
应用备注
- WB,1:500 - 1:2000,IHC,1:50 - 1:200
-
限制
- 仅限研究用
-
-
-
状态
- Liquid
-
缓冲液
- PBS with 0.02 % sodium azide,50 % glycerol, pH 7.3.
-
储存液
- Sodium azide
-
注意事项
- This product contains Sodium azide: a POISONOUS AND HAZARDOUS SUBSTANCE which should be handled by trained staff only.
-
储存条件
- -20 °C
-
储存方法
- Store at -20°C. Avoid freeze / thaw cycles.
-
-
- TIMMDC1 (Translocase of Inner Mitochondrial Membrane Domain Containing 1 (TIMMDC1))
-
别名
- TIMMDC1
-
背景
- Chaperone protein involved in the assembly of the mitochondrial NADH:ubiquinone oxidoreductase complex (complex I. Participates in constructing the membrane arm of complex I.,TIMMDC1,C3orf1,Cell Biology & Developmental Biology,TIMMDC1
-
分子量
- 32kDa
-
基因ID
- 51300
-
UniProt
- Q9NPL8
抗原
-