电话:
+86 (0512) 65829739
传真:
+86 (010) 6788 5057
电子邮件:
orders@antibodies-online.cn

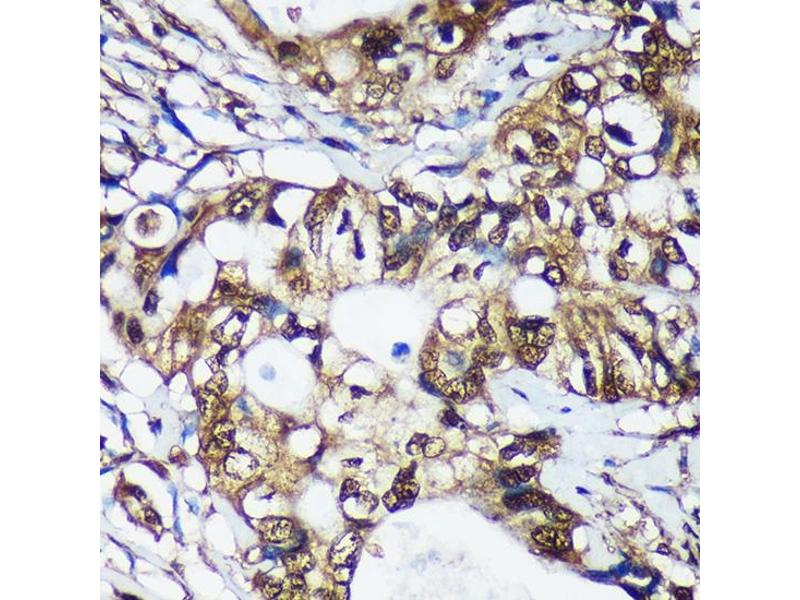
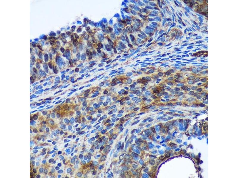
Translin 抗体 (AA 50-150)

The 兔 多克隆 anti-Translin antibody (ABIN7270923) specifically detects Translin in WB, IHC 和 IF. The antibody is reactive with 人 samples.
产品编号 ABIN7270923
发货至: 中国
Contact our Customer Service for availability and price in your country. Contact Info

Our Local Distributor

中国
北京 101111
No. 88 KeChuang 6th Street
Beijing Economic Technological Development Area
Room 801-803
4A Biotech Co.,Ltd.
Tel +86 (0512) 65829739 传真 +86 (010) 6788 5057

Quick Overview for Translin 抗体 (AA 50-150) (ABIN7270923)

抗原

See all Translin (TSN) 抗体
Translin (TSN)

适用

  • 28
  • 13
  • 11
  • 3
  • 2
  • 2
  • 2
  • 2
  • 1
  • 1
  • 1
  • 1
  • 1
  • 1

宿主

  • 28
  • 1

克隆类型

  • 29
多克隆

标记

  • 19
  • 2
  • 2
  • 2
  • 2
  • 1
  • 1
This Translin antibody is un-conjugated

应用范围

  • 22
  • 15
  • 13
  • 8
  • 7
  • 5
  • 5
  • 4
  • 2
  • 1
Western Blotting (WB), Immunohistochemistry (IHC), Immunofluorescence (IF)
  • 抗原表位

    • 7
    • 6
    • 3
    • 2
    • 2
    • 2
    • 2
    • 1
    • 1
    • 1
    • 1
    • 1
    • 1
    • 1
    AA 50-150

    原理

    TSN Rabbit pAb

    交叉反应

    人, 小鼠, 大鼠

    产品特性

    Polyclonal Antibodies

    纯化方法

    Affinity purification

    免疫原

    A synthetic peptide corresponding to a sequence within amino acids 50-150 of human TSN (NP_004613.1).

    亚型

    IgG
  • 应用备注

    WB,1:500 - 1:2000,IHC,1:50 - 1:200,IF,1:50 - 1:200

    限制

    仅限研究用
  • 状态

    Liquid

    缓冲液

    PBS with 0.02 % sodium azide,50 % glycerol, pH 7.3.

    储存液

    Sodium azide

    注意事项

    This product contains Sodium azide: a POISONOUS AND HAZARDOUS SUBSTANCE which should be handled by trained staff only.

    储存条件

    -20 °C

    储存方法

    Store at -20°C. Avoid freeze / thaw cycles.
  • 抗原

    Translin (TSN)

    别名

    TSN

    背景

    This gene encodes a DNA-binding protein which specifically recognizes conserved target sequences at the breakpoint junction of chromosomal translocations. Translin polypeptides form a multimeric structure that is responsible for its DNA-binding activity. Recombination-associated motifs and translin-binding sites are present at recombination hotspots and may serve as indicators of breakpoints in genes which are fused by translocations. These binding activities may play a crucial role in chromosomal translocation in lymphoid neoplasms. This protein encoded by this gene, when complexed with translin-associated protein X, also forms a Mg ion-dependent endoribonuclease that promotes RNA-induced silencing complex (RISC) activation. Alternative splicing results in multiple transcript variants.,BCLF-1,C3PO,RCHF1,REHF-1,TBRBP,TRSLN,TSN,translin,DNA Damage & Repair,Epigenetics & Nuclear Signaling,TSN

    分子量

    17kDa/26kDa

    基因ID

    7247

    UniProt

    Q15631
You are here: