电话:
+86 (0512) 65829739
传真:
+86 (010) 6788 5057
电子邮件:
orders@antibodies-online.cn

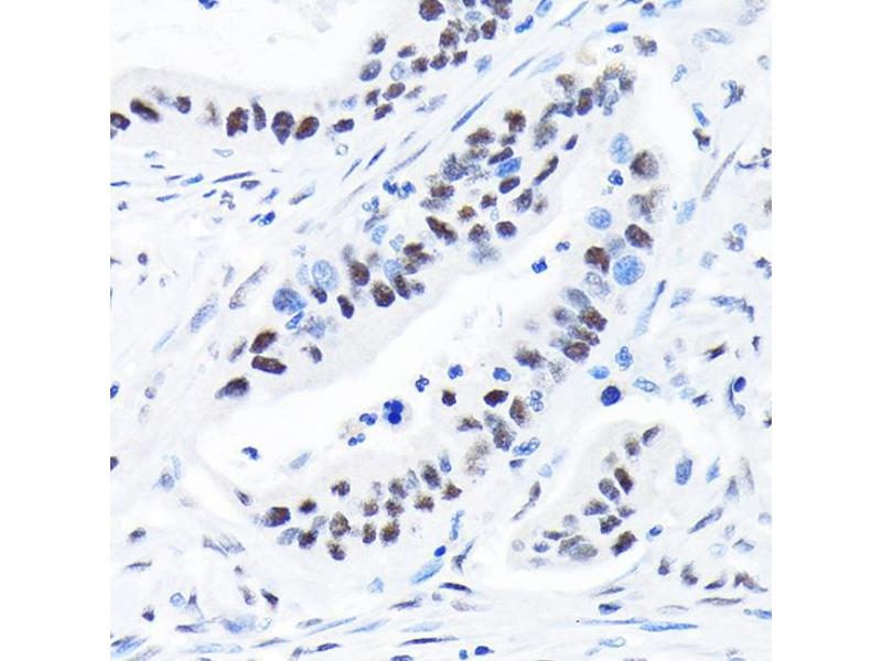
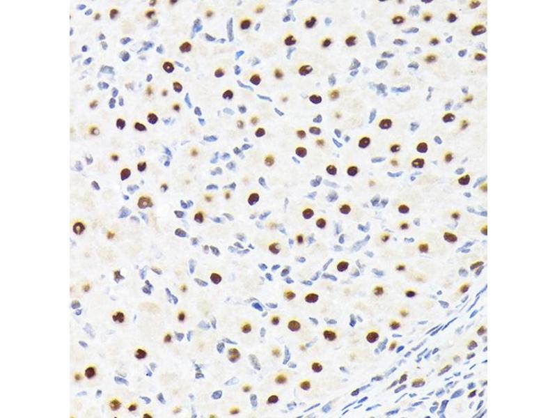
SUPT5H 抗体

The 兔 单克隆 anti-SUPT5H antibody (ABIN7270878) specifically detects SUPT5H in WB, IHC 和 IF. The antibody is reactive with 人 samples.
产品编号 ABIN7270878
发货至: 中国
Contact our Customer Service for availability and price in your country. Contact Info

Our Local Distributor

中国
北京 101111
No. 88 KeChuang 6th Street
Beijing Economic Technological Development Area
Room 801-803
4A Biotech Co.,Ltd.
Tel +86 (0512) 65829739 传真 +86 (010) 6788 5057

Quick Overview for SUPT5H 抗体 (ABIN7270878)

抗原

See all SUPT5H 抗体
SUPT5H (Transcription Elongation Factor SPT5 (SUPT5H))

适用

  • 48
  • 31
  • 27
  • 7
  • 6
  • 6
  • 6
  • 5
  • 3
  • 2
  • 1
  • 1

宿主

  • 46
  • 2

克隆类型

  • 25
  • 23
单克隆

标记

  • 25
  • 3
  • 2
  • 2
  • 2
  • 2
  • 2
  • 2
  • 2
  • 2
  • 1
  • 1
  • 1
  • 1
This SUPT5H antibody is un-conjugated

应用范围

  • 44
  • 27
  • 16
  • 13
  • 12
  • 5
  • 2
  • 2
  • 1
  • 1
  • 1
Western Blotting (WB), Immunohistochemistry (IHC), Immunofluorescence (IF)
  • 原理

    SUPT5H/SPT5 Rabbit mAb

    交叉反应

    人, 小鼠, 大鼠

    产品特性

    Monoclonal Antibodies

    纯化方法

    Affinity purification

    免疫原

    Recombinant protein of human SUPT5H/SPT5.

    亚型

    IgG
  • 应用备注

    WB,1:500 - 1:2000,IHC,1:50 - 1:200,IF,1:50 - 1:200

    限制

    仅限研究用
  • 状态

    Liquid

    缓冲液

    PBS with 0.02 % sodium azide,0.05 % BSA,50 % glycerol, pH 7.3.

    储存液

    Sodium azide

    注意事项

    This product contains Sodium azide: a POISONOUS AND HAZARDOUS SUBSTANCE which should be handled by trained staff only.

    储存条件

    -20 °C

    储存方法

    Store at -20°C. Avoid freeze / thaw cycles.
  • 抗原

    SUPT5H (Transcription Elongation Factor SPT5 (SUPT5H))

    别名

    SUPT5H

    背景

    Component of the DRB sensitivity-inducing factor complex (DSIF complex, which regulates mRNA processing and transcription elongation by RNA polymerase II. DSIF positively regulates mRNA capping by stimulating the mRNA guanylyltransferase activity of RNGTT/CAP1A. DSIF also acts cooperatively with the negative elongation factor complex (NELF complex to enhance transcriptional pausing at sites proximal to the promoter. Transcriptional pausing may facilitate the assembly of an elongation competent RNA polymerase II complex. DSIF and NELF promote pausing by inhibition of the transcription elongation factor TFIIS/S-II. TFIIS/S-II binds to RNA polymerase II at transcription pause sites and stimulates the weak intrinsic nuclease activity of the enzyme. Cleavage of blocked transcripts by RNA polymerase II promotes the resumption of transcription from the new 3' terminus and may allow repeated attempts at transcription through natural pause sites. DSIF can also positively regulate transcriptional elongation and is required for the efficient activation of transcriptional elongation by the HIV-1 nuclear transcriptional activator, Tat. DSIF acts to suppress transcriptional pausing in transcripts derived from the HIV-1 LTR and blocks premature release of HIV-1 transcripts at terminator sequences.,SUPT5H, SPT5, SPT5H, Tat-CT1, transcription elongation factor SPT5,Epigenetics & Nuclear Signaling,Transcription Factors,RNA Binding,Cell Biology & Developmental Biology,Apoptosis,SUPT5H

    分子量

    155kDa

    基因ID

    6829

    UniProt

    O00267
You are here: