电话:
+86 (0512) 65829739
传真:
+86 (010) 6788 5057
电子邮件:
orders@antibodies-online.cn

TSHB 抗体 (C-Term)

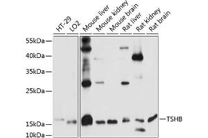
This 兔 多克隆 antibody specifically detects TSHB in WB. It exhibits reactivity toward 人.
产品编号 ABIN7270825
发货至: 中国
Contact our Customer Service for availability and price in your country. Contact Info

Our Local Distributor

中国
北京 101111
No. 88 KeChuang 6th Street
Beijing Economic Technological Development Area
Room 801-803
4A Biotech Co.,Ltd.
Tel +86 (0512) 65829739 传真 +86 (010) 6788 5057

Quick Overview for TSHB 抗体 (C-Term) (ABIN7270825)

抗原

See all TSHB 抗体
TSHB (Thyroid Stimulating Hormone, beta (TSHB))

适用

  • 117
  • 23
  • 14
  • 8
  • 2

宿主

  • 68
  • 62
  • 4
  • 3
  • 2
  • 1

克隆类型

  • 77
  • 63
多克隆

标记

  • 66
  • 15
  • 12
  • 10
  • 3
  • 2
  • 2
  • 2
  • 2
  • 2
  • 2
  • 2
  • 1
  • 1
  • 1
  • 1
  • 1
  • 1
  • 1
  • 1
  • 1
  • 1
  • 1
  • 1
  • 1
  • 1
  • 1
  • 1
  • 1
  • 1
  • 1
  • 1
This TSHB antibody is un-conjugated

应用范围

  • 61
  • 58
  • 50
  • 21
  • 14
  • 14
  • 13
  • 13
  • 10
  • 10
  • 6
  • 6
  • 5
  • 4
  • 3
  • 2
  • 2
  • 2
  • 1
  • 1
  • 1
  • 1
  • 1
  • 1
  • 1
Western Blotting (WB)
  • 抗原表位

    • 15
    • 9
    • 9
    • 7
    • 5
    • 4
    • 4
    • 3
    • 3
    • 2
    • 2
    • 2
    • 2
    • 1
    • 1
    • 1
    • 1
    C-Term

    原理

    TSHB Rabbit pAb

    序列

    YCMTRDINGK LFLPKYALSQ DVCTYRDFIY RTVEIPGCPL HVAPYFSYPV ALSCKCGKCN TDYSDCIHEA IKTNYCTKPQ KSYLVGFSV

    交叉反应

    人, 小鼠, 大鼠

    产品特性

    Polyclonal Antibodies

    纯化方法

    Affinity purification

    免疫原

    A synthetic peptide corresponding to a sequence within amino acids 50 to the C-terminus of human TSHB (NP_000540.2).

    亚型

    IgG
  • 应用备注

    WB,1:500 - 1:2000

    限制

    仅限研究用
  • 状态

    Liquid

    缓冲液

    PBS with 0.02 % sodium azide,50 % glycerol, pH 7.3.

    储存液

    Sodium azide

    注意事项

    This product contains Sodium azide: a POISONOUS AND HAZARDOUS SUBSTANCE which should be handled by trained staff only.

    储存条件

    -20 °C

    储存方法

    Store at -20°C. Avoid freeze / thaw cycles.
  • 抗原

    TSHB (Thyroid Stimulating Hormone, beta (TSHB))

    别名

    TSHB

    背景

    The four human glycoprotein hormones chorionic gonadotropin (CG), luteinizing hormone (LH), follicle stimulating hormone (FSH), and thyroid stimulating hormone (TSH) are dimers consisting of alpha and beta subunits that are associated noncovalently. The alpha subunits of these hormones are identical, however, their beta chains are unique and confer biological specificity. Thyroid stimulating hormone functions in the control of thyroid structure and metabolism. The protein encoded by this gene is the beta subunit of thyroid stimulating hormone. Mutations in this gene are associated with congenital central and secondary hypothyroidism and Hashimoto's thyroiditis. Alternative splicing of this gene results in multiple transcript variants.,TSHB,TSH-B,TSH-BETA,Cancer,Signal Transduction,Cell Biology & Developmental Biology,Growth factor,Endocrine & Metabolism,Neuroscience,TSHB

    分子量

    10kDa/15kDa

    基因ID

    7252

    UniProt

    P01222

    途径

    Thyroid Hormone Synthesis, Peptide Hormone Metabolism
You are here: