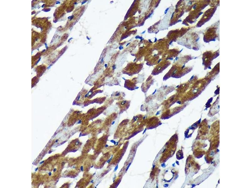
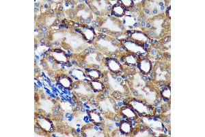
TMX2 抗体 (AA 128-296)
Our Local Distributor
北京 101111
Quick Overview for TMX2 抗体 (AA 128-296) (ABIN7270810)
抗原
See all TMX2 抗体适用
宿主
克隆类型
标记
应用范围
-
-
抗原表位
- AA 128-296
-
原理
- TMX2 Rabbit pAb
-
序列
- KPPLYMGPEY IKYFNDKTID EELERDKRVT WIVEFFANWS NDCQSFAPIY ADLSLKYNCT GLNFGKVDVG RYTDVSTRYK VSTSPLTKQL PTLILFQGGK EAMRRPQIDK KGRAVSWTFS EENVIREFNL NELYQRAKKL SKAGDNIPEE QPVASTPTTV SDGENKKDK
-
交叉反应
- 人, 小鼠, 大鼠
-
产品特性
- Polyclonal Antibodies
-
纯化方法
- Affinity purification
-
免疫原
- Recombinant fusion protein containing a sequence corresponding to amino acids 128-296 of human TMX2 (NP_057043.1).
-
亚型
- IgG
-
-
-
-
应用备注
- WB,1:500 - 1:2000,IHC,1:50 - 1:200,IF,1:50 - 1:200
-
限制
- 仅限研究用
-
-
-
状态
- Liquid
-
缓冲液
- PBS with 0.02 % sodium azide,50 % glycerol, pH 7.3.
-
储存液
- Sodium azide
-
注意事项
- This product contains Sodium azide: a POISONOUS AND HAZARDOUS SUBSTANCE which should be handled by trained staff only.
-
储存条件
- -20 °C
-
储存方法
- Store at -20°C. Avoid freeze / thaw cycles.
-
-
- TMX2 (Thioredoxin-Related Transmembrane Protein 2 (TMX2))
-
别名
- TMX2
-
背景
- This gene encodes a member of the disulfide isomerase (PDI) family of endoplasmic reticulum (ER) proteins that catalyze protein folding and thiol-disulfide interchange reactions. The encoded protein has an N-terminal ER-signal sequence, a catalytically active thioredoxin domain, one transmembrane domain and a C-terminal ER-retention sequence. This protein is enriched on the mitochondria-associated-membrane of the ER via palmitoylation of two of its cytosolically exposed cysteines.,TMX2,CGI-31,PDIA12,PIG26,TXNDC14,Cell Biology & Developmental Biology,TMX2
-
基因ID
- 51075
-
UniProt
- Q9Y320
抗原
-