TXNDC12 抗体
Our Local Distributor
北京 101111
Quick Overview for TXNDC12 抗体 (ABIN7270799)
抗原
See all TXNDC12 抗体适用
宿主
克隆类型
标记
应用范围
-
-
原理
- ERp19 Rabbit mAb
-
交叉反应
- 人, 小鼠, 大鼠
-
产品特性
- Monoclonal Antibodies
-
纯化方法
- Affinity purification
-
免疫原
- A synthesized peptide derived from human ERp19.
-
亚型
- IgG
-
-
-
-
应用备注
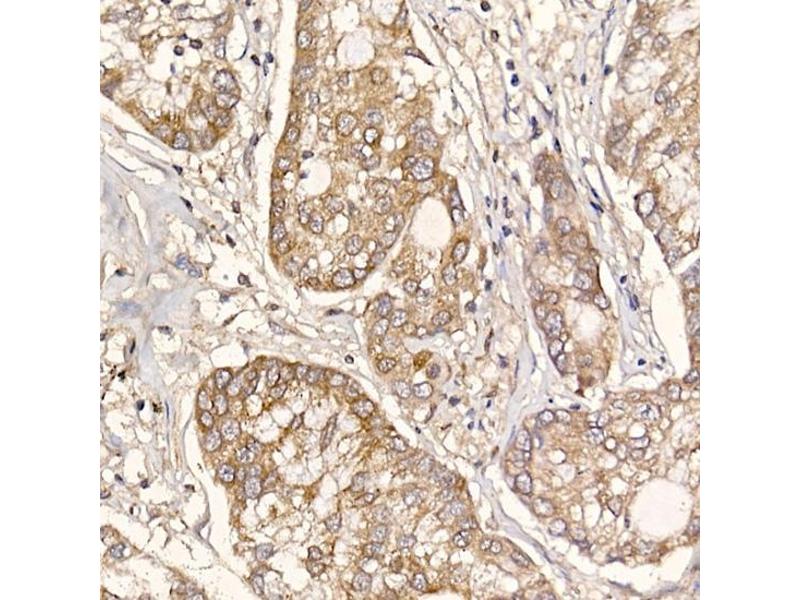
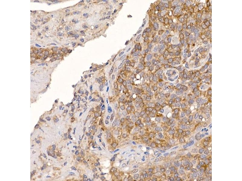
- WB,1:500 - 1:2000,IHC,1:50 - 1:200
-
限制
- 仅限研究用
-
-
-
状态
- Liquid
-
缓冲液
- PBS with 0.02 % sodium azide,50 % glycerol, pH 7.3.
-
储存液
- Sodium azide
-
注意事项
- This product contains Sodium azide: a POISONOUS AND HAZARDOUS SUBSTANCE which should be handled by trained staff only.
-
储存条件
- -20 °C
-
储存方法
- Store at -20°C. Avoid freeze / thaw cycles.
-
-
- TXNDC12 (Thioredoxin Domain Containing 12 (Endoplasmic Reticulum) (TXNDC12))
-
别名
- ERp19
-
背景
- This gene encodes a member of the thioredoxin superfamily. Members of this family are characterized by a conserved active motif called the thioredoxin fold that catalyzes disulfide bond formation and isomerization. This protein localizes to the endoplasmic reticulum and has a single atypical active motif. The encoded protein is mainly involved in catalyzing native disulfide bond formation and displays activity similar to protein-disulfide isomerases. This protein may play a role in defense against endoplasmic reticulum stress. Alternate splicing results in both coding and non-coding variants.,TXNDC12, AG1, AGR1, ERP16, ERP18, ERP19, PDIA16, TLP19, hAG-1, hTLP19, thioredoxin domain containing 12,Signal Transduction,ERp19
-
分子量
- 17kDa
-
基因ID
- 51060
-
UniProt
- O95881
-
途径
- Cell RedoxHomeostasis
抗原
-