TBCCD1 抗体
Our Local Distributor
北京 101111
Quick Overview for TBCCD1 抗体 (ABIN7270751)
抗原
See all TBCCD1 抗体适用
宿主
克隆类型
标记
应用范围
-
-
原理
- TBCCD1 Rabbit pAb
-
交叉反应
- 人, 小鼠, 大鼠
-
产品特性
- Polyclonal Antibodies
-
纯化方法
- Affinity purification
-
免疫原
- Recombinant protein of human TBCCD1.
-
亚型
- IgG
-
-
-
-
应用备注
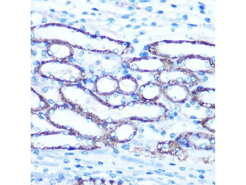
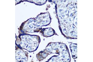
- WB,1:500 - 1:2000,IHC,1:50 - 1:200
-
限制
- 仅限研究用
-
-
-
状态
- Liquid
-
缓冲液
- PBS with 0.02 % sodium azide,50 % glycerol, pH 7.3.
-
储存液
- Sodium azide
-
注意事项
- This product contains Sodium azide: a POISONOUS AND HAZARDOUS SUBSTANCE which should be handled by trained staff only.
-
储存条件
- -20 °C
-
储存方法
- Store at -20°C. Avoid freeze / thaw cycles.
-
-
- TBCCD1 (TBCC Domain Containing 1 (TBCCD1))
-
别名
- TBCCD1
-
背景
- Plays a role in the regulation of centrosome and Golgi apparatus positioning, with consequences on cell shape and cell migration.,TBCCD1,Cell Biology & Developmental Biology,TBCCD1
-
基因ID
- 55171
-
UniProt
- Q9NVR7
抗原
-