电话:
+86 (0512) 65829739
传真:
+86 (010) 6788 5057
电子邮件:
orders@antibodies-online.cn

SCP2 抗体

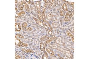
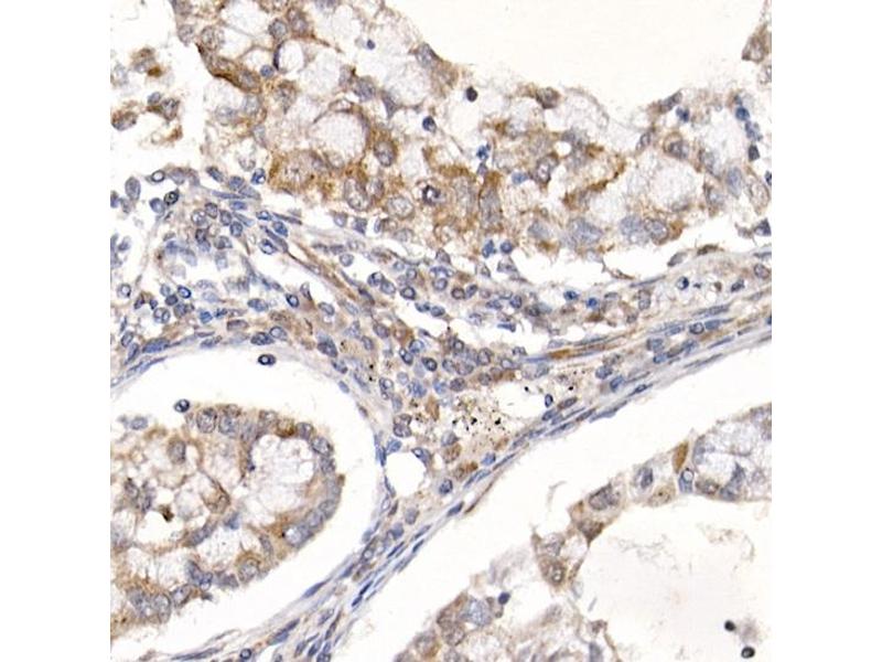
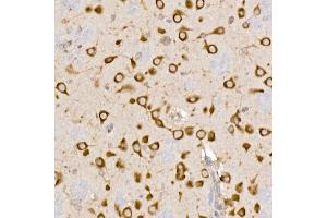
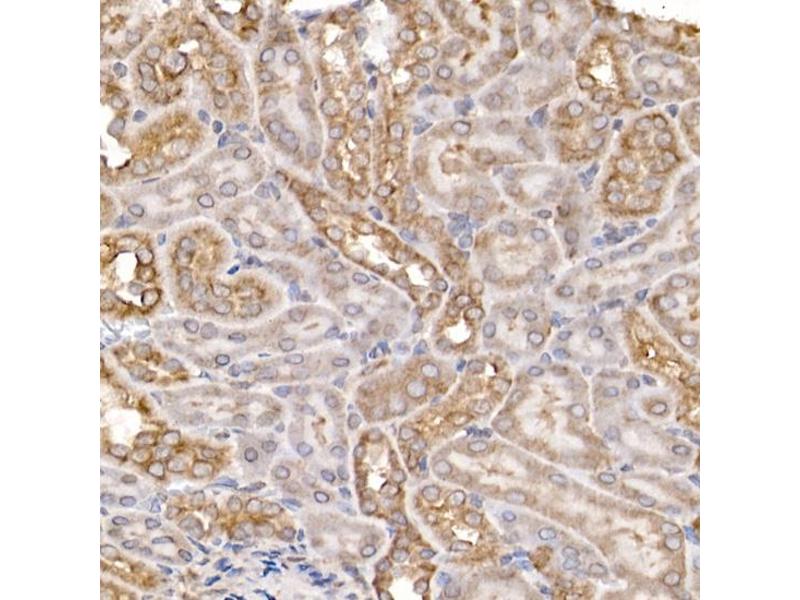
This 兔 单克隆 antibody specifically detects SCP2 in WB, IHC 和 IF. It exhibits reactivity toward 人.
产品编号 ABIN7270597
发货至: 中国
Contact our Customer Service for availability and price in your country. Contact Info

Our Local Distributor

中国
北京 101111
No. 88 KeChuang 6th Street
Beijing Economic Technological Development Area
Room 801-803
4A Biotech Co.,Ltd.
Tel +86 (0512) 65829739 传真 +86 (010) 6788 5057

Quick Overview for SCP2 抗体 (ABIN7270597)

抗原

See all SCP2 抗体
SCP2 (Sterol Carrier Protein 2 (SCP2))

适用

  • 88
  • 26
  • 20
  • 2
  • 2
  • 1
  • 1
  • 1
  • 1
  • 1

宿主

  • 82
  • 7
  • 1

克隆类型

  • 73
  • 17
单克隆

标记

  • 37
  • 7
  • 6
  • 5
  • 3
  • 3
  • 3
  • 3
  • 3
  • 3
  • 2
  • 2
  • 1
  • 1
  • 1
  • 1
  • 1
  • 1
  • 1
  • 1
  • 1
  • 1
  • 1
  • 1
  • 1
This SCP2 antibody is un-conjugated

应用范围

  • 57
  • 40
  • 35
  • 15
  • 13
  • 13
  • 12
  • 11
  • 6
  • 4
  • 3
  • 1
Western Blotting (WB), Immunohistochemistry (IHC), Immunofluorescence (IF)
  • 原理

    Sterol carrier protein 2 Rabbit mAb

    交叉反应

    人, 小鼠, 大鼠

    产品特性

    Monoclonal Antibodies

    纯化方法

    Affinity purification

    免疫原

    A synthesized peptide derived from human Sterol carrier protein 2.

    亚型

    IgG
  • 应用备注

    WB,1:500 - 1:2000,IHC,1:50 - 1:200,IF,1:50 - 1:200

    限制

    仅限研究用
  • 状态

    Liquid

    缓冲液

    PBS with 0.02 % sodium azide,50 % glycerol, pH 7.3.

    储存液

    Sodium azide

    注意事项

    This product contains Sodium azide: a POISONOUS AND HAZARDOUS SUBSTANCE which should be handled by trained staff only.

    储存条件

    -20 °C

    储存方法

    Store at -20°C. Avoid freeze / thaw cycles.
  • 抗原

    SCP2 (Sterol Carrier Protein 2 (SCP2))

    别名

    Sterol carrier protein 2

    背景

    This gene encodes two proteins: sterol carrier protein X (SCPx) and sterol carrier protein 2 (SCP2), as a result of transcription initiation from 2 independently regulated promoters. The transcript initiated from the proximal promoter encodes the longer SCPx protein, and the transcript initiated from the distal promoter encodes the shorter SCP2 protein, with the 2 proteins sharing a common C-terminus. Evidence suggests that the SCPx protein is a peroxisome-associated thiolase that is involved in the oxidation of branched chain fatty acids, while the SCP2 protein is thought to be an intracellular lipid transfer protein. This gene is highly expressed in organs involved in lipid metabolism, and may play a role in Zellweger syndrome, in which cells are deficient in peroxisomes and have impaired bile acid synthesis. Alternative splicing of this gene produces multiple transcript variants, some encoding different isoforms.,SCP2, NLTP, NSL-TP, SCP-2, SCP-CHI, SCP-X, SCPX, sterol carrier protein 2,Cancer,Signal Transduction,Endocrine & Metabolism,Lipid Metabolism,Sterol carrier protein 2

    分子量

    58kDa

    基因ID

    6342

    UniProt

    P22307

    途径

    C21-Steroid Hormone Metabolic Process, Monocarboxylic Acid Catabolic Process
You are here: