ATP1A1 抗体
Our Local Distributor
北京 101111
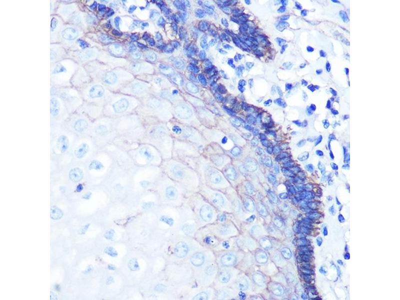
Quick Overview for ATP1A1 抗体 (ABIN7270390)
抗原
See all ATP1A1 抗体适用
宿主
克隆类型
标记
应用范围
-
-
原理
- Na+/K+-ATPase Rabbit mAb
-
交叉反应
- 人, 小鼠, 大鼠
-
产品特性
- Monoclonal Antibodies
-
纯化方法
- Affinity purification
-
免疫原
- A synthesized peptide derived from human Na+/K+-ATPase
-
亚型
- IgG
-
-
-
-
应用备注
- WB,1:500 - 1:2000,IHC,1:50 - 1:200,IF,1:50 - 1:200
-
限制
- 仅限研究用
-
-
-
状态
- Liquid
-
缓冲液
- PBS with 0.02 % sodium azide,0.05 % BSA,50 % glycerol, pH 7.3.
-
储存液
- Sodium azide
-
注意事项
- This product contains Sodium azide: a POISONOUS AND HAZARDOUS SUBSTANCE which should be handled by trained staff only.
-
储存条件
- -20 °C
-
储存方法
- Store at -20°C. Avoid freeze / thaw cycles.
-
-
- ATP1A1 (Sodium Potassium ATPase, alpha1 (ATP1A1))
-
别名
- ATP1A1
-
背景
- The protein encoded by this gene belongs to the family of P-type cation transport ATPases, and to the subfamily of Na+/K+ -ATPases. Na+/K+ -ATPase is an integral membrane protein responsible for establishing and maintaining the electrochemical gradients of Na and K ions across the plasma membrane. These gradients are essential for osmoregulation, for sodium-coupled transport of a variety of organic and inorganic molecules, and for electrical excitability of nerve and muscle. This enzyme is composed of two subunits, a large catalytic subunit (alpha) and a smaller glycoprotein subunit (beta). The catalytic subunit of Na+/K+ -ATPase is encoded by multiple genes. This gene encodes an alpha 1 subunit. Multiple transcript variants encoding different isoforms have been found for this gene. [provided by RefSeq, May 2009],ATP1A1, ATPase Na+/K+ transporting subunit alpha 1,Endocrine & Metabolism,Protein phosphorylation,Signal Transduction,ATP1A1
-
分子量
- 100kDa
-
基因ID
- 476
-
UniProt
- P05023
-
途径
- Thyroid Hormone Synthesis, Regulation of Hormone Metabolic Process, Regulation of Hormone Biosynthetic Process, Proton Transport, Ribonucleoside Biosynthetic Process
抗原
-