SNRPD1 抗体 (AA 1-100)
Our Local Distributor
北京 101111
Quick Overview for SNRPD1 抗体 (AA 1-100) (ABIN7270363)
抗原
See all SNRPD1 抗体适用
宿主
克隆类型
标记
应用范围
-
-
抗原表位
- AA 1-100
-
原理
- SNRPD1 Rabbit pAb
-
序列
- MKLVRFLMKL SHETVTIELK NGTQVHGTIT GVDVSMNTHL KAVKMTLKNR EPVQLETLSI RGNNIRYFIL PDSLPLDTLL VDVEPKVKSK KREAVAGRGR
-
交叉反应
- 人, 小鼠, 大鼠
-
产品特性
- Polyclonal Antibodies
-
纯化方法
- Affinity purification
-
免疫原
- A synthetic peptide corresponding to a sequence within amino acids 1-100 of human SNRPD1 (NP_008869.1).
-
亚型
- IgG
-
-
-
-
应用备注
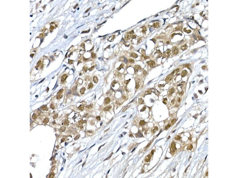
- WB,1:500 - 1:2000,IHC,1:50 - 1:200
-
限制
- 仅限研究用
-
-
-
状态
- Liquid
-
缓冲液
- PBS with 0.02 % sodium azide,50 % glycerol, pH 7.3.
-
储存液
- Sodium azide
-
注意事项
- This product contains Sodium azide: a POISONOUS AND HAZARDOUS SUBSTANCE which should be handled by trained staff only.
-
储存条件
- -20 °C
-
储存方法
- Store at -20°C. Avoid freeze / thaw cycles.
-
-
- SNRPD1 (Small Nuclear Ribonucleoprotein D1 Polypeptide 16kDa (SNRPD1))
-
别名
- SNRPD1
-
背景
- This gene encodes a small nuclear ribonucleoprotein that belongs to the SNRNP core protein family. The protein may act as a charged protein scaffold to promote SNRNP assembly or strengthen SNRNP-SNRNP interactions through nonspecific electrostatic contacts with RNA. Two transcript variants encoding different isoforms have been found for this gene.,SNRPD1,HsT2456,SMD1,SNRPD,Sm-D1,Epigenetics & Nuclear Signaling,RNA Binding,Immunology & Inflammation,SNRPD1
-
分子量
- 13kDa
-
基因ID
- 6632
-
UniProt
- P62314
-
途径
- Ribonucleoprotein Complex Subunit Organization
抗原
-