ASH2L 抗体
Our Local Distributor
北京 101111
Quick Overview for ASH2L 抗体 (ABIN7270266)
抗原
See all ASH2L 抗体适用
宿主
克隆类型
标记
应用范围
-
-
原理
- ASH2L Rabbit mAb
-
交叉反应
- 人, 小鼠, 大鼠
-
产品特性
- Monoclonal Antibodies
-
纯化方法
- Affinity purification
-
免疫原
- A synthesized peptide derived from human ASH2L
-
亚型
- IgG
-
-
-
-
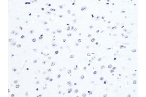
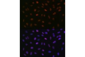
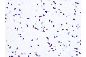
应用备注
- WB,1:500 - 1:2000,IHC,1:50 - 1:200,IF,1:50 - 1:200
-
限制
- 仅限研究用
-
-
-
状态
- Liquid
-
缓冲液
- PBS with 0.02 % sodium azide,0.05 % BSA,50 % glycerol, pH 7.3.
-
储存液
- Sodium azide
-
注意事项
- This product contains Sodium azide: a POISONOUS AND HAZARDOUS SUBSTANCE which should be handled by trained staff only.
-
储存条件
- -20 °C
-
储存方法
- Store at -20°C. Avoid freeze / thaw cycles.
-
-
- ASH2L (Set1/Ash2 Histone Methyltransferase Complex Subunit ASH2 (ASH2L))
-
别名
- ASH2L
-
背景
- Transcriptional regulator. Component or associated component of some histone methyltransferase complexes which regulates transcription through recruitment of those complexes to gene promoters. Component of the Set1/Ash2 histone methyltransferase (HMT complex, a complex that specifically methylates 'Lys-4' of histone H3, but not if the neighboring 'Lys-9' residue is already methylated. As part of the MLL1/MLL complex it is involved in methylation and dimethylation at 'Lys-4' of histone H3. May play a role in hematopoiesis. In association with RBBP5 and WDR5, stimulates the histone methyltransferase activities of KMT2A, KMT2B, KMT2C, KMT2D, SETD1A and SETD1B.,ASH2, ASH2L1, ASH2L2, Bre2,Cancer,Chromatin Remodeling,Epigenetics & Nuclear Signaling,ASH2L
-
分子量
- 69kDa
-
基因ID
- 9070
-
UniProt
- Q9UBL3
抗原
-