电话:
+86 (0512) 65829739
传真:
+86 (010) 6788 5057
电子邮件:
orders@antibodies-online.cn

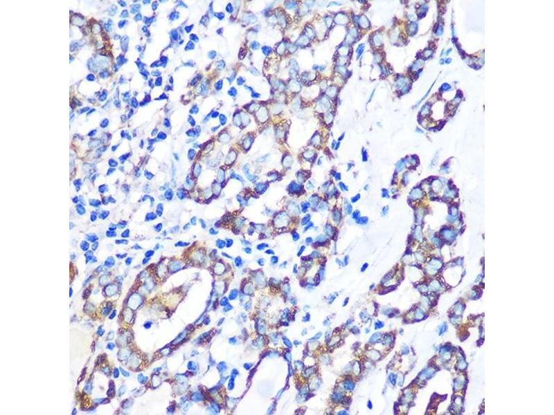
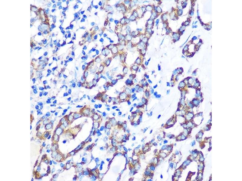
STK26/MST4 抗体 (AA 297-416)

This 兔 多克隆 antibody specifically detects STK26/MST4 in WB 和 IHC. It exhibits reactivity toward 人.
产品编号 ABIN7270231
发货至: 中国
Contact our Customer Service for availability and price in your country. Contact Info

Our Local Distributor

中国
北京 101111
No. 88 KeChuang 6th Street
Beijing Economic Technological Development Area
Room 801-803
4A Biotech Co.,Ltd.
Tel +86 (0512) 65829739 传真 +86 (010) 6788 5057

Quick Overview for STK26/MST4 抗体 (AA 297-416) (ABIN7270231)

抗原

See all STK26/MST4 (MST4) 抗体
STK26/MST4 (MST4) (Serine/threonine-Protein Kinase MST4 (MST4))

适用

  • 73
  • 34
  • 21
  • 3
  • 2
  • 2
  • 1
  • 1
  • 1

宿主

  • 64
  • 7
  • 2

克隆类型

  • 55
  • 18
多克隆

标记

  • 38
  • 4
  • 2
  • 2
  • 2
  • 2
  • 2
  • 2
  • 2
  • 2
  • 1
  • 1
  • 1
  • 1
  • 1
  • 1
  • 1
  • 1
  • 1
  • 1
  • 1
  • 1
  • 1
  • 1
  • 1
This STK26/MST4 antibody is un-conjugated

应用范围

  • 63
  • 23
  • 23
  • 13
  • 13
  • 10
  • 7
  • 3
  • 3
  • 3
  • 2
Western Blotting (WB), Immunohistochemistry (IHC)
  • 抗原表位

    • 15
    • 7
    • 4
    • 3
    • 2
    • 2
    • 2
    • 2
    • 2
    • 2
    • 2
    • 2
    • 1
    • 1
    • 1
    • 1
    • 1
    • 1
    • 1
    AA 297-416

    原理

    STK26 Rabbit pAb

    序列

    EGHSDDESDS EGSDSESTSR ENNTHPEWSF TTVRKKPDPK KVQNGAEQDL VQTLSCLSMI ITPAFAELKQ QDENNASRNQ AIEELEKSIA VAEAACPGIT DKMVKKLIEK FQKCSADESP

    交叉反应

    人, 小鼠, 大鼠

    产品特性

    Polyclonal Antibodies

    纯化方法

    Affinity purification

    免疫原

    Recombinant fusion protein containing a sequence corresponding to amino acids 297-416 of human STK26 (NP_057626.2).

    亚型

    IgG
  • 应用备注

    WB,1:500 - 1:2000,IHC,1:50 - 1:200

    限制

    仅限研究用
  • 状态

    Liquid

    缓冲液

    PBS with 0.02 % sodium azide,50 % glycerol, pH 7.3.

    储存液

    Sodium azide

    注意事项

    This product contains Sodium azide: a POISONOUS AND HAZARDOUS SUBSTANCE which should be handled by trained staff only.

    储存条件

    -20 °C

    储存方法

    Store at -20°C. Avoid freeze / thaw cycles.
  • 抗原

    STK26/MST4 (MST4) (Serine/threonine-Protein Kinase MST4 (MST4))

    别名

    STK26

    背景

    The product of this gene is a member of the GCK group III family of kinases, which are a subset of the Ste20-like kinases. The encoded protein contains an amino-terminal kinase domain, and a carboxy-terminal regulatory domain that mediates homodimerization. The protein kinase localizes to the Golgi apparatus and is specifically activated by binding to the Golgi matrix protein GM130. It is also cleaved by caspase-3 in vitro, and may function in the apoptotic pathway. Several alternatively spliced transcript variants of this gene have been described, but the full-length nature of some of these variants has not been determined.,STK26,MASK,MST4,Signal Transduction,Kinase,Tyrosine kinases,Cell Biology & Developmental Biology,Apoptosis,STK26

    分子量

    37kDa/39kDa/46kDa

    基因ID

    51765

    UniProt

    Q9P289
You are here: