SRSF1 抗体
Our Local Distributor
北京 101111
Quick Overview for SRSF1 抗体 (ABIN7270213)
抗原
See all SRSF1 抗体适用
宿主
克隆类型
标记
应用范围
-
-
原理
- SRSF1/SF2/ASF Rabbit mAb
-
交叉反应
- 人, 小鼠, 大鼠
-
产品特性
- Monoclonal Antibodies
-
纯化方法
- Affinity purification
-
免疫原
- A synthesized peptide derived from human SRSF1/SRSF1/SF2/ASF
-
亚型
- IgG
-
-
-
-
应用备注
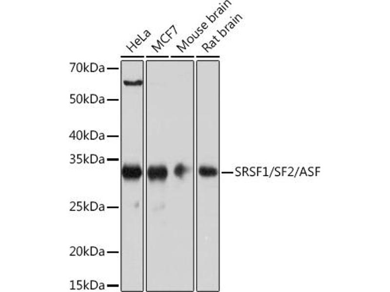
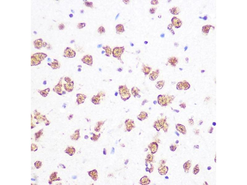
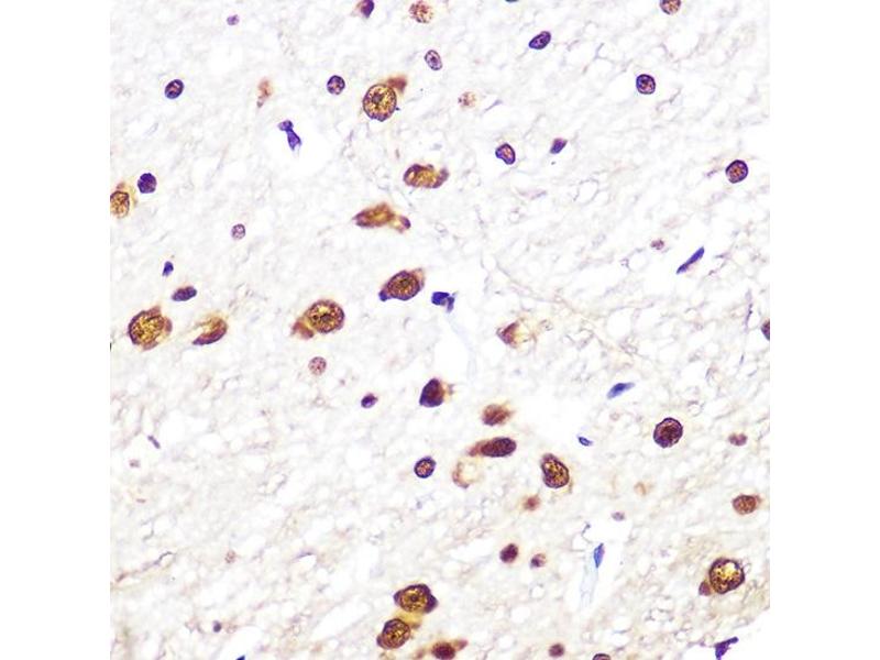
- WB,1:500 - 1:2000,IHC,1:50 - 1:200
-
限制
- 仅限研究用
-
-
-
状态
- Liquid
-
缓冲液
- PBS with 0.02 % sodium azide,0.05 % BSA,50 % glycerol, pH 7.3.
-
储存液
- Sodium azide
-
注意事项
- This product contains Sodium azide: a POISONOUS AND HAZARDOUS SUBSTANCE which should be handled by trained staff only.
-
储存条件
- -20 °C
-
储存方法
- Store at -20°C. Avoid freeze / thaw cycles.
-
-
- SRSF1 (serine/arginine-Rich Splicing Factor 1 (SRSF1))
-
别名
- SRSF1
-
背景
- This gene encodes a member of the arginine/serine-rich splicing factor protein family. The encoded protein can either activate or repress splicing, depending on its phosphorylation state and its interaction partners. Multiple transcript variants have been found for this gene. There is a pseudogene of this gene on chromosome 13. [provided by RefSeq, Jun 2014],ASF, SF2, SF2p33, SFRS1, SRp30a,Epigenetics & Nuclear Signaling,SRSF1
-
分子量
- 33kDa
-
基因ID
- 6426
-
UniProt
- Q07955
-
途径
- Ribonucleoprotein Complex Subunit Organization
抗原
-