电话:
+86 (0512) 65829739
传真:
+86 (010) 6788 5057
电子邮件:
orders@antibodies-online.cn

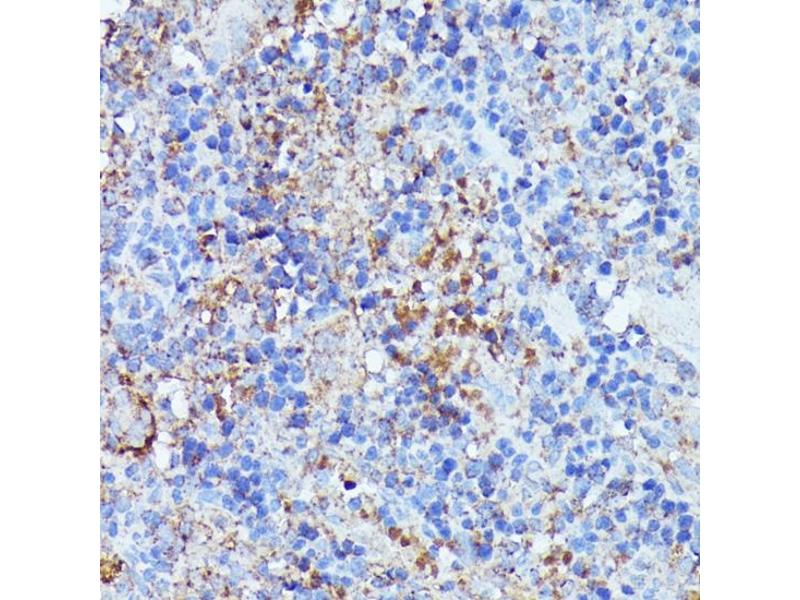
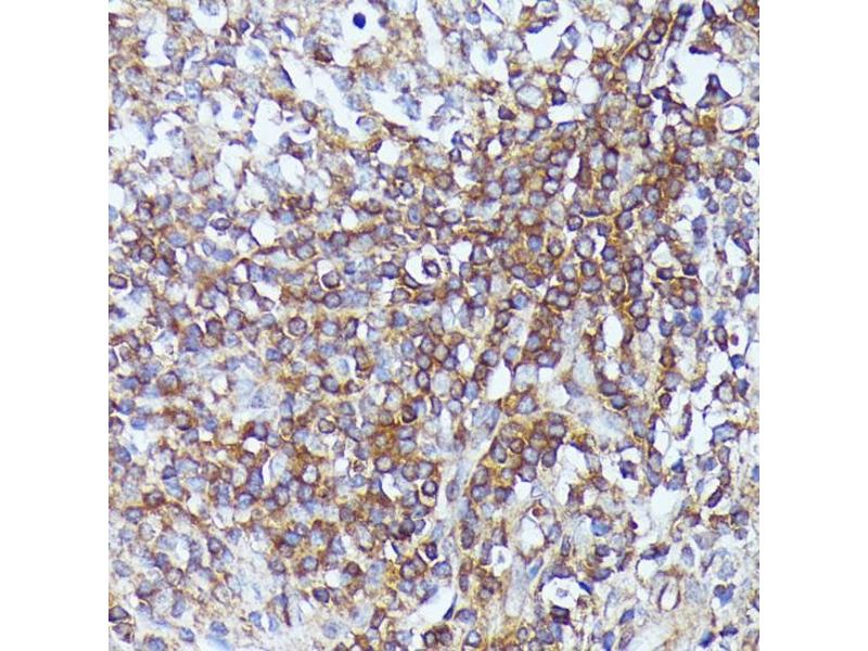
Septin 1 抗体 (AA 270-370)

The 兔 多克隆 anti-Septin 1 antibody is suitable to detect Septin 1 in samples from 人. It has been validated for WB, IHC 和 IF.
产品编号 ABIN7270202
发货至: 中国
Contact our Customer Service for availability and price in your country. Contact Info

Our Local Distributor

中国
北京 101111
No. 88 KeChuang 6th Street
Beijing Economic Technological Development Area
Room 801-803
4A Biotech Co.,Ltd.
Tel +86 (0512) 65829739 传真 +86 (010) 6788 5057

Quick Overview for Septin 1 抗体 (AA 270-370) (ABIN7270202)

抗原

See all Septin 1 (SEPT1) 抗体
Septin 1 (SEPT1)

适用

  • 52
  • 34
  • 18
  • 3
  • 2
  • 2
  • 2
  • 1
  • 1
  • 1
  • 1
  • 1

宿主

  • 47
  • 4
  • 1

克隆类型

  • 50
  • 2
多克隆

标记

  • 25
  • 3
  • 3
  • 2
  • 1
  • 1
  • 1
  • 1
  • 1
  • 1
  • 1
  • 1
  • 1
  • 1
  • 1
  • 1
  • 1
  • 1
  • 1
  • 1
  • 1
  • 1
  • 1
This Septin 1 antibody is un-conjugated

应用范围

  • 45
  • 19
  • 13
  • 13
  • 5
  • 5
  • 3
  • 3
  • 2
  • 2
  • 1
  • 1
Western Blotting (WB), Immunohistochemistry (IHC), Immunofluorescence (IF)
  • 抗原表位

    • 15
    • 8
    • 5
    • 4
    • 4
    • 3
    • 2
    • 1
    • 1
    • 1
    • 1
    • 1
    • 1
    AA 270-370

    原理

    Septin 1 Rabbit pAb

    序列

    IPFAVVGSCE VVRDGGNRPV RGRRYSWGTV EVENPHHCDF LNLRRMLVQT HLQDLKEVTH DLLYEGYRAR CLQSLARPGA RDRASRSKLS RQSATEIPLP M

    交叉反应

    人, 小鼠, 大鼠

    产品特性

    Polyclonal Antibodies

    纯化方法

    Affinity purification

    免疫原

    Recombinant fusion protein containing a sequence corresponding to amino acids 270-370 of human Septin 1 (NP_443070.5).

    亚型

    IgG
  • 应用备注

    WB,1:500 - 1:2000,IHC,1:50 - 1:100,IF,1:50 - 1:100

    限制

    仅限研究用
  • 状态

    Liquid

    缓冲液

    PBS with 0.02 % sodium azide,50 % glycerol, pH 7.3.

    储存液

    Sodium azide

    注意事项

    This product contains Sodium azide: a POISONOUS AND HAZARDOUS SUBSTANCE which should be handled by trained staff only.

    储存条件

    -20 °C

    储存方法

    Store at -20°C. Avoid freeze / thaw cycles.
  • 抗原

    Septin 1 (SEPT1)

    别名

    1-Sep

    背景

    This gene is a member of the septin family of GTPases. Members of this family are required for cytokinesis and the maintenance of cellular morphology. This gene encodes a protein that can form homo- and heterooligomeric filaments, and may contribute to the formation of neurofibrillary tangles in Alzheimer's disease. Alternatively spliced transcript variants have been found but the full-length nature of these variants has not been determined. [provided by RefSeq, Dec 2012],DIFF6;LARP;PNUTL3;SEP1;SEPT1,Cancer,Tumor immunology,Tumor-associated antigens,Cell Biology & Developmental Biology,Cell Cycle,Immunology & Inflammation,Cytokines,Neuroscience,Neurodegenerative Diseases,Amyloid Plaque and Neurofibrillary Tangle Formation in Alzheimer's Disease,1-Sep

    基因ID

    1731

    UniProt

    Q8WYJ6
You are here: