P-Selectin 抗体
Our Local Distributor
北京 101111
Quick Overview for P-Selectin 抗体 (ABIN7270190)
抗原
See all P-Selectin (SELP) 抗体适用
宿主
克隆类型
标记
应用范围
-
-
原理
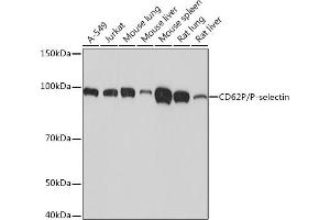
- CD62P/P-selectin Rabbit mAb
-
交叉反应
- 人, 小鼠, 大鼠
-
产品特性
- Monoclonal Antibodies
-
纯化方法
- Affinity purification
-
免疫原
- A synthesized peptide derived from human CD62P/P-selectin
-
亚型
- IgG
-
-
-
-
应用备注
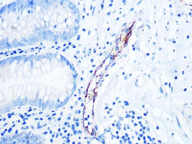
- WB,1:500 - 1:2000,IHC,1:50 - 1:200,IP,1:50 - 1:200
-
限制
- 仅限研究用
-
-
-
状态
- Liquid
-
缓冲液
- PBS with 0.02 % sodium azide,0.05 % BSA,50 % glycerol, pH 7.3.
-
储存液
- Sodium azide
-
注意事项
- This product contains Sodium azide: a POISONOUS AND HAZARDOUS SUBSTANCE which should be handled by trained staff only.
-
储存条件
- -20 °C
-
储存方法
- Store at -20°C. Avoid freeze / thaw cycles.
-
-
- P-Selectin (SELP) (Selectin P (Granule Membrane Protein 140kDa, Antigen CD62) (SELP))
-
别名
- CD62P/P-selectin
-
背景
- This gene encodes a 140 kDa protein that is stored in the alpha-granules of platelets and Weibel-Palade bodies of endothelial cells. This protein redistributes to the plasma membrane during platelet activation and degranulation and mediates the interaction of activated endothelial cells or platelets with leukocytes. The membrane protein is a calcium-dependent receptor that binds to sialylated forms of Lewis blood group carbohydrate antigens on neutrophils and monocytes. Alternative splice variants may occur but are not well documented. [provided by RefSeq, Jul 2008],CD62, CD62P, GMP140, GRMP, LECAM3, PADGEM, PSEL,Blood,Cardiovascular,CDs,Cell Adhesion,Cell Adhesion_Cell Adhesion Molecules,Cell Biology & Developmental Biology,Hematopoietic Progenitors,Immunology & Inflammation,Stem Cells,CD62P/P-selectin
-
分子量
- 105,140kDa
-
基因ID
- 6403
-
UniProt
- P16109
抗原
-