电话:
+86 (0512) 65829739
传真:
+86 (010) 6788 5057
电子邮件:
orders@antibodies-online.cn

SCARB2 抗体

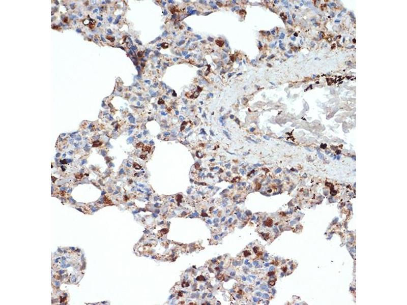
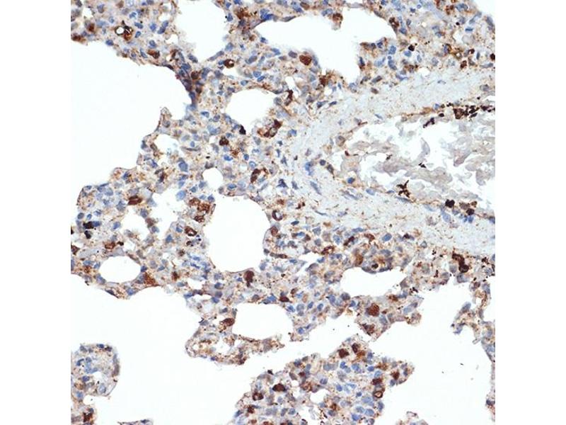
The 兔 单克隆 anti-SCARB2 antibody is suitable to detect SCARB2 in samples from 人. It has been validated for WB 和 IHC.
产品编号 ABIN7270157
发货至: 中国
Contact our Customer Service for availability and price in your country. Contact Info

Our Local Distributor

中国
北京 101111
No. 88 KeChuang 6th Street
Beijing Economic Technological Development Area
Room 801-803
4A Biotech Co.,Ltd.
Tel +86 (0512) 65829739 传真 +86 (010) 6788 5057

Quick Overview for SCARB2 抗体 (ABIN7270157)

抗原

See all SCARB2 抗体
SCARB2 (Scavenger Receptor Class B, Member 2 (SCARB2))

适用

  • 66
  • 44
  • 25
  • 4
  • 3
  • 2
  • 2
  • 1
  • 1

宿主

  • 56
  • 9
  • 2
  • 1

克隆类型

  • 47
  • 21
单克隆

标记

  • 29
  • 5
  • 4
  • 2
  • 2
  • 2
  • 2
  • 2
  • 2
  • 2
  • 1
  • 1
  • 1
  • 1
  • 1
  • 1
  • 1
  • 1
  • 1
  • 1
  • 1
  • 1
  • 1
  • 1
  • 1
  • 1
This SCARB2 antibody is un-conjugated

应用范围

  • 50
  • 21
  • 16
  • 14
  • 13
  • 13
  • 12
  • 10
  • 5
  • 3
  • 2
  • 1
  • 1
Western Blotting (WB), Immunohistochemistry (IHC)
  • 原理

    SR-B2/LIMPII Rabbit mAb

    交叉反应

    人, 小鼠, 大鼠

    产品特性

    Monoclonal Antibodies

    纯化方法

    Affinity purification

    免疫原

    A synthesized peptide derived from human SR-B2/SR-B2/LIMPII

    亚型

    IgG
  • 应用备注

    WB,1:500 - 1:2000,IHC,1:50 - 1:200

    限制

    仅限研究用
  • 状态

    Liquid

    缓冲液

    PBS with 0.02 % sodium azide,0.05 % BSA,50 % glycerol, pH 7.3.

    储存液

    Sodium azide

    注意事项

    This product contains Sodium azide: a POISONOUS AND HAZARDOUS SUBSTANCE which should be handled by trained staff only.

    储存条件

    -20 °C

    储存方法

    Store at -20°C. Avoid freeze / thaw cycles.
  • 抗原

    SCARB2 (Scavenger Receptor Class B, Member 2 (SCARB2))

    别名

    SCARB2

    背景

    The protein encoded by this gene is a type III glycoprotein that is located primarily in limiting membranes of lysosomes and endosomes. Earlier studies in mice and rat suggested that this protein may participate in membrane transportation and the reorganization of endosomal/lysosomal compartment. The protein deficiency in mice was reported to impair cell membrane transport processes and cause pelvic junction obstruction, deafness, and peripheral neuropathy. Further studies in human showed that this protein is a ubiquitously expressed protein and that it is involved in the pathogenesis of HFMD (hand, foot, and mouth disease) caused by enterovirus-71 and possibly by coxsackievirus A16. Mutations in this gene caused an autosomal recessive progressive myoclonic epilepsy-4 (EPM4), also known as action myoclonus-renal failure syndrome (AMRF). Alternatively spliced transcript variants encoding different isoforms have been found for this gene.[provided by RefSeq, Feb 2011],AMRF, CD36L2, EPM4, HLGP85, LGP85, LIMP-2, LIMPII, SR-BII,Cancer,Cardiovascular,Endocrine & Metabolism,Lipid Metabolism,Lipid Metabolism_Cholesterol Metabolism,Lipids,Signal Transduction,SCARB2

    分子量

    77kDa

    基因ID

    950

    UniProt

    Q14108
You are here: