电话:
+86 (0512) 65829739
传真:
+86 (010) 6788 5057
电子邮件:
orders@antibodies-online.cn

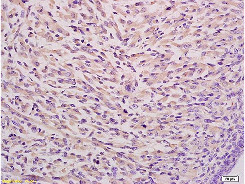
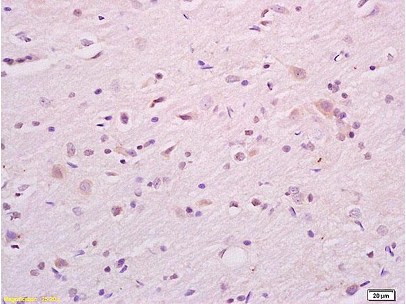
CKAP4 抗体 (AA 525-602)

The 兔 多克隆 anti-CKAP4 antibody is suitable to detect CKAP4 in samples from 人 和 大鼠. It has been validated for WB, ELISA, FACS, IHC (p), IF (p), IF (cc) 和 IHC (fro).
产品编号 ABIN717506
发货至: 中国
Contact our Customer Service for availability and price in your country. Contact Info

Our Local Distributor

中国
北京 101111
No. 88 KeChuang 6th Street
Beijing Economic Technological Development Area
Room 801-803
4A Biotech Co.,Ltd.
Tel +86 (0512) 65829739 传真 +86 (010) 6788 5057

Quick Overview for CKAP4 抗体 (AA 525-602) (ABIN717506)

抗原

See all CKAP4 抗体
CKAP4 (Cytoskeleton-Associated Protein 4 (CKAP4))

适用

  • 58
  • 26
  • 24
  • 7
  • 5
  • 5
  • 4
  • 3
  • 3
  • 2
  • 2
  • 1
人, 大鼠

宿主

  • 59
  • 2
  • 1

克隆类型

  • 60
  • 2
多克隆

标记

  • 28
  • 4
  • 4
  • 3
  • 2
  • 1
  • 1
  • 1
  • 1
  • 1
  • 1
  • 1
  • 1
  • 1
  • 1
  • 1
  • 1
  • 1
  • 1
  • 1
  • 1
  • 1
  • 1
  • 1
  • 1
  • 1
This CKAP4 antibody is un-conjugated

应用范围

  • 47
  • 19
  • 17
  • 16
  • 13
  • 12
  • 11
  • 7
  • 6
  • 3
  • 2
  • 1
  • 1
Western Blotting (WB), ELISA, Flow Cytometry (FACS), Immunohistochemistry (Paraffin-embedded Sections) (IHC (p)), Immunofluorescence (Paraffin-embedded Sections) (IF (p)), Immunofluorescence (Cultured Cells) (IF (cc)), Immunohistochemistry (Frozen Sections) (IHC (fro))
  • 抗原表位

    • 15
    • 8
    • 5
    • 5
    • 3
    • 2
    • 2
    • 2
    • 2
    • 2
    • 1
    • 1
    • 1
    • 1
    AA 525-602

    交叉反应

    人, 大鼠

    预测反应

    Mouse,Cow,Pig,Chicken

    纯化方法

    Purified by Protein A.

    免疫原

    KLH conjugated synthetic peptide derived from human CKAP4

    亚型

    IgG
  • 应用备注

    WB 1:300-5000
    ELISA 1:500-1000
    FCM 1:20-100
    IHC-P 1:200-400
    IHC-F 1:100-500
    IF(IHC-P) 1:50-200
    IF(IHC-F) 1:50-200
    IF(ICC) 1:50-200

    限制

    仅限研究用
  • 状态

    Liquid

    浓度

    1 μg/μL

    缓冲液

    0.01M TBS( pH 7.4) with 1 % BSA, 0.02 % Proclin300 and 50 % Glycerol.

    储存液

    ProClin

    注意事项

    This product contains ProClin: a POISONOUS AND HAZARDOUS SUBSTANCE, which should be handled by trained staff only.

    储存条件

    4 °C,-20 °C

    储存方法

    Shipped at 4°C. Store at -20°C for one year. Avoid repeated freeze/thaw cycles.

    有效期

    12 months
  • 抗原

    CKAP4 (Cytoskeleton-Associated Protein 4 (CKAP4))

    别名

    CKAP4

    背景

    Synonyms: p63, CLIMP-63, ERGIC-63, Cytoskeleton-associated protein 4, 63- kDa cytoskeleton-linking membrane protein, CKAP4

    Background: High-affinity epithelial cell surface receptor for APF. Mediates the anchoring of the endoplasmic reticulum to microtubules.

    基因ID

    10970

    UniProt

    Q07065
You are here: