电话:
+86 (0512) 65829739
传真:
+86 (010) 6788 5057
电子邮件:
orders@antibodies-online.cn

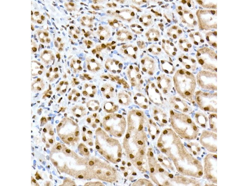
RBM3 抗体

This 兔 单克隆 antibody specifically detects RBM3 in WB, IHC 和 IF. It exhibits reactivity toward 人.
产品编号 ABIN7270084
发货至: 中国
Contact our Customer Service for availability and price in your country. Contact Info

Our Local Distributor

中国
北京 101111
No. 88 KeChuang 6th Street
Beijing Economic Technological Development Area
Room 801-803
4A Biotech Co.,Ltd.
Tel +86 (0512) 65829739 传真 +86 (010) 6788 5057

Quick Overview for RBM3 抗体 (ABIN7270084)

抗原

See all RBM3 抗体
RBM3 (RNA Binding Motif Protein 3 (RBM3))

适用

  • 53
  • 32
  • 18
  • 4
  • 4
  • 3
  • 3
  • 3
  • 3
  • 2
  • 2
  • 1
  • 1
  • 1

宿主

  • 48
  • 4
  • 1

克隆类型

  • 29
  • 24
单克隆

标记

  • 29
  • 4
  • 2
  • 2
  • 2
  • 2
  • 2
  • 2
  • 2
  • 2
  • 2
  • 2
This RBM3 antibody is un-conjugated

应用范围

  • 43
  • 24
  • 21
  • 14
  • 14
  • 13
  • 7
  • 3
  • 3
  • 1
  • 1
  • 1
  • 1
Western Blotting (WB), Immunohistochemistry (IHC), Immunofluorescence (IF)
  • 原理

    RBM3 Rabbit mAb

    交叉反应

    人, 小鼠, 大鼠

    产品特性

    Monoclonal Antibodies

    纯化方法

    Affinity purification

    免疫原

    Recombinant protein of Human RBM3.

    亚型

    IgG
  • 应用备注

    WB,1:500 - 1:2000,IHC,1:50 - 1:200,IF,1:50 - 1:200

    限制

    仅限研究用
  • 状态

    Liquid

    缓冲液

    PBS with 0.02 % sodium azide,0.05 % BSA,50 % glycerol, pH 7.3.

    储存液

    Sodium azide

    注意事项

    This product contains Sodium azide: a POISONOUS AND HAZARDOUS SUBSTANCE which should be handled by trained staff only.

    储存条件

    -20 °C

    储存方法

    Store at -20°C. Avoid freeze / thaw cycles.
  • 抗原

    RBM3 (RNA Binding Motif Protein 3 (RBM3))

    别名

    RBM3

    背景

    This gene is a member of the glycine-rich RNA-binding protein family and encodes a protein with one RNA recognition motif (RRM) domain. Expression of this gene is induced by cold shock and low oxygen tension. A pseudogene exists on chromosome 1. Multiple alternatively spliced transcript variants that are predicted to encode different isoforms have been characterized although some of these variants fit nonsense-mediated decay (NMD) criteria.,RBM3,IS1-RNPL,RNPL,Epigenetics & Nuclear Signaling,RNA Binding,Cancer,Invasion and Metastasis,Endocrine & Metabolism,RBM3

    分子量

    17kDa

    基因ID

    5935

    UniProt

    P98179
You are here: