电话:
+86 (0512) 65829739
传真:
+86 (010) 6788 5057
电子邮件:
orders@antibodies-online.cn

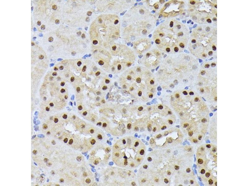
RPS27A 抗体 (AA 1-156)

The 兔 多克隆 anti-RPS27A antibody is suitable to detect RPS27A in samples from 人. It has been validated for WB 和 IHC.
产品编号 ABIN7270022
发货至: 中国
Contact our Customer Service for availability and price in your country. Contact Info

Our Local Distributor

中国
北京 101111
No. 88 KeChuang 6th Street
Beijing Economic Technological Development Area
Room 801-803
4A Biotech Co.,Ltd.
Tel +86 (0512) 65829739 传真 +86 (010) 6788 5057

Quick Overview for RPS27A 抗体 (AA 1-156) (ABIN7270022)

抗原

See all RPS27A 抗体
RPS27A (Ribosomal Protein S27a (RPS27A))

适用

  • 38
  • 13
  • 12
  • 2
  • 2
  • 2
  • 2
  • 2
  • 1
  • 1
  • 1
  • 1
  • 1
  • 1
  • 1
  • 1

宿主

  • 34
  • 4

克隆类型

  • 35
  • 3
多克隆

标记

  • 13
  • 3
  • 3
  • 2
  • 1
  • 1
  • 1
  • 1
  • 1
  • 1
  • 1
  • 1
  • 1
  • 1
  • 1
  • 1
  • 1
  • 1
  • 1
  • 1
  • 1
This RPS27A antibody is un-conjugated

应用范围

  • 14
  • 13
  • 13
  • 6
  • 4
  • 3
  • 3
  • 3
  • 3
  • 1
Western Blotting (WB), Immunohistochemistry (IHC)
  • 抗原表位

    • 15
    • 6
    • 3
    • 1
    • 1
    • 1
    • 1
    AA 1-156

    原理

    RPS27A Rabbit pAb

    序列

    MQIFVKTLTG KTITLEVEPS DTIENVKAKI QDKEGIPPDQ QRLIFAGKQL EDGRTLSDYN IQKESTLHLV LRLRGGAKKR KKKSYTTPKK NKHKRKKVKL AVLKYYKVDE NGKISRLRRE CPSDECGAGV FMASHFDRHY CGKCCLTYCF NKPEDK

    交叉反应

    人, 小鼠, 大鼠

    产品特性

    Polyclonal Antibodies

    纯化方法

    Affinity purification

    免疫原

    Recombinant fusion protein containing a sequence corresponding to amino acids 1-156 of human RPS27A (NP_001170884.1).

    亚型

    IgG
  • 应用备注

    WB,1:500 - 1:2000,IHC,1:100 - 1:200

    限制

    仅限研究用
  • 状态

    Liquid

    缓冲液

    PBS with 0.02 % sodium azide,50 % glycerol, pH 7.3.

    储存液

    Sodium azide

    注意事项

    This product contains Sodium azide: a POISONOUS AND HAZARDOUS SUBSTANCE which should be handled by trained staff only.

    储存条件

    -20 °C

    储存方法

    Store at -20°C. Avoid freeze / thaw cycles.
  • 抗原

    RPS27A (Ribosomal Protein S27a (RPS27A))

    别名

    RPS27A

    背景

    Ubiquitin, a highly conserved protein that has a major role in targeting cellular proteins for degradation by the 26S proteosome, is synthesized as a precursor protein consisting of either polyubiquitin chains or a single ubiquitin fused to an unrelated protein. This gene encodes a fusion protein consisting of ubiquitin at the N terminus and ribosomal protein S27a at the C terminus. When expressed in yeast, the protein is post-translationally processed, generating free ubiquitin monomer and ribosomal protein S27a. Ribosomal protein S27a is a component of the 40S subunit of the ribosome and belongs to the S27AE family of ribosomal proteins. It contains C4-type zinc finger domains and is located in the cytoplasm. Pseudogenes derived from this gene are present in the genome. As with ribosomal protein S27a, ribosomal protein L40 is also synthesized as a fusion protein with ubiquitin, similarly, ribosomal protein S30 is synthesized as a fusion protein with the ubiquitin-like protein fubi. Multiple alternatively spliced transcript variants that encode the same proteins have been identified.,RPS27A,CEP80,HEL112,S27A,UBA80,UBC,UBCEP1,UBCEP80,Epigenetics & Nuclear Signaling,RNA Binding,Cell Biology & Developmental Biology,Apoptosis,Mitochondrial Control of Apoptosis,Ubiquitin,Ubiquitin-Proteasome Signaling Pathway,RPS27A

    分子量

    17kDa

    基因ID

    6233

    UniProt

    P62979

    途径

    Fc-epsilon Receptor Signaling Pathway, EGFR Signaling Pathway, Neurotrophin Signaling Pathway, Activation of Innate immune Response, Mitotic G1-G1/S Phases, DNA Replication, Toll-Like Receptors Cascades, Synthesis of DNA, EGFR Downregulation
You are here: