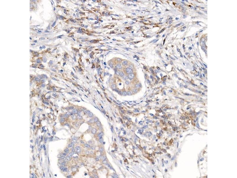
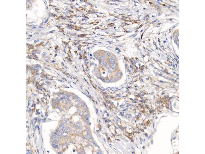
RPL26L1 抗体
Our Local Distributor
北京 101111
Quick Overview for RPL26L1 抗体 (ABIN7270000)
抗原
See all RPL26L1 抗体适用
宿主
克隆类型
标记
应用范围
-
-
原理
- RPL26L1 Rabbit mAb
-
交叉反应
- 人, 小鼠, 大鼠
-
产品特性
- Monoclonal Antibodies
-
纯化方法
- Affinity purification
-
免疫原
- A synthesized peptide derived from human RPL26L1.
-
亚型
- IgG
-
-
-
-
应用备注
- WB,1:500 - 1:2000,IHC,1:50 - 1:200,IF,1:50 - 1:200
-
限制
- 仅限研究用
-
-
-
状态
- Liquid
-
缓冲液
- PBS with 0.02 % sodium azide,50 % glycerol, pH 7.3.
-
储存液
- Sodium azide
-
注意事项
- This product contains Sodium azide: a POISONOUS AND HAZARDOUS SUBSTANCE which should be handled by trained staff only.
-
储存条件
- -20 °C
-
储存方法
- Store at -20°C. Avoid freeze / thaw cycles.
-
-
- RPL26L1 (Ribosomal Protein L26-Like 1 (RPL26L1))
-
别名
- RPL26L1
-
背景
- This gene encodes a protein that shares high sequence similarity with ribosomal protein L26. Alternative splicing results in multiple transcript variants encoding the same protein.,RPL26L1, RPL26P1, ribosomal protein L26 like 1,Epigenetics & Nuclear Signaling,Cell Biology & Developmental Biology,RPL26L1
-
分子量
- 17kDa
-
基因ID
- 51121
-
UniProt
- Q9UNX3
抗原
-