电话:
+86 (0512) 65829739
传真:
+86 (010) 6788 5057
电子邮件:
orders@antibodies-online.cn

RPL21 抗体 (AA 1-160)

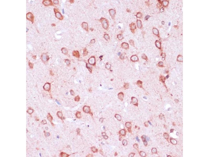
The 兔 多克隆 anti-RPL21 antibody (ABIN7269996) specifically detects RPL21 in WB, IHC 和 IF. The antibody is reactive with 人 samples.
产品编号 ABIN7269996
发货至: 中国
Contact our Customer Service for availability and price in your country. Contact Info

Our Local Distributor

中国
北京 101111
No. 88 KeChuang 6th Street
Beijing Economic Technological Development Area
Room 801-803
4A Biotech Co.,Ltd.
Tel +86 (0512) 65829739 传真 +86 (010) 6788 5057

Quick Overview for RPL21 抗体 (AA 1-160) (ABIN7269996)

抗原

See all RPL21 抗体
RPL21 (Ribosomal Protein L21 (RPL21))

适用

  • 11
  • 7
  • 5
  • 2
  • 2
  • 2
  • 2
  • 2
  • 2
  • 1
  • 1

宿主

  • 8
  • 3

克隆类型

  • 9
  • 2
多克隆

标记

  • 11
This RPL21 antibody is un-conjugated

应用范围

  • 8
  • 5
  • 4
  • 4
  • 1
Western Blotting (WB), Immunohistochemistry (IHC), Immunofluorescence (IF)
  • 抗原表位

    • 2
    • 1
    • 1
    • 1
    • 1
    • 1
    • 1
    AA 1-160

    原理

    RPL21 Rabbit pAb

    序列

    MTNTKGKRRG TRYMFSRPFR KHGVVPLATY MRIYKKGDIV DIKGMGTVQK GMPHKCYHGK TGRVYNVTQH AVGIVVNKQV KGKILAKRIN VRIEHIKHSK SRDSFLKRVK ENDQKKKEAK EKGTWVQLKR QPAPPREAHF VRTNGKEPEL LEPIPYEFMA

    交叉反应

    人, 小鼠, 大鼠

    产品特性

    Polyclonal Antibodies

    纯化方法

    Affinity purification

    免疫原

    Recombinant fusion protein containing a sequence corresponding to amino acids 1-160 of human RPL21 (NP_000973.2).

    亚型

    IgG
  • 应用备注

    WB,1:500 - 1:2000,IHC,1:50 - 1:100,IF,1:50 - 1:100

    限制

    仅限研究用
  • 状态

    Liquid

    缓冲液

    PBS with 0.02 % sodium azide,50 % glycerol, pH 7.3.

    储存液

    Sodium azide

    注意事项

    This product contains Sodium azide: a POISONOUS AND HAZARDOUS SUBSTANCE which should be handled by trained staff only.

    储存条件

    -20 °C

    储存方法

    Store at -20°C. Avoid freeze / thaw cycles.
  • 抗原

    RPL21 (Ribosomal Protein L21 (RPL21))

    别名

    RPL21

    背景

    Ribosomes, the organelles that catalyze protein synthesis, consist of a small 40S subunit and a large 60S subunit. Together these subunits are composed of 4 RNA species and approximately 80 structurally distinct proteins. This gene encodes a ribosomal protein that is a component of the 60S subunit. The protein belongs to the L21E family of ribosomal proteins. It is located in the cytoplasm. As is typical for genes encoding ribosomal proteins, there are multiple processed pseudogenes of this gene dispersed through the genome.,RPL21,HYPT12,L21,Epigenetics & Nuclear Signaling,RNA Binding,RPL21

    分子量

    18kDa

    基因ID

    6144

    UniProt

    P46778
You are here: