RALGDS 抗体
Our Local Distributor
北京 101111
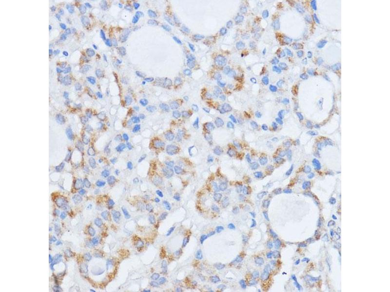
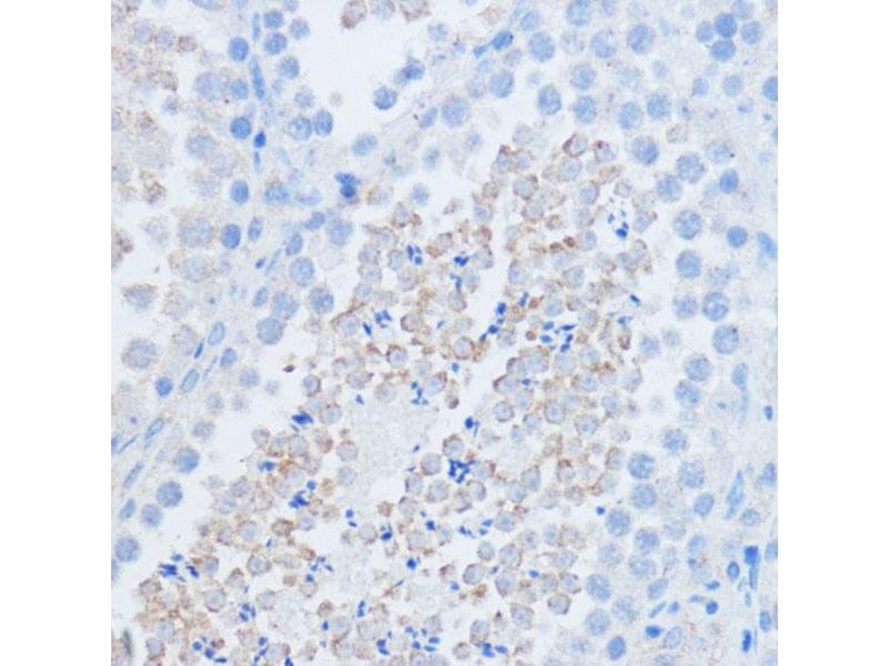
Quick Overview for RALGDS 抗体 (ABIN7269838)
抗原
See all RALGDS 抗体适用
宿主
克隆类型
标记
应用范围
-
-
原理
- RALGDS Rabbit pAb
-
交叉反应
- 人, 小鼠, 大鼠
-
产品特性
- Polyclonal Antibodies
-
纯化方法
- Affinity purification
-
免疫原
- Recombinant protein of human RALGDS.
-
亚型
- IgG
-
-
-
-
应用备注
- WB,1:500 - 1:2000,IHC,1:50 - 1:200,IF,1:50 - 1:200
-
限制
- 仅限研究用
-
-
-
状态
- Liquid
-
缓冲液
- PBS with 0.02 % sodium azide,50 % glycerol, pH 7.3.
-
储存液
- Sodium azide
-
注意事项
- This product contains Sodium azide: a POISONOUS AND HAZARDOUS SUBSTANCE which should be handled by trained staff only.
-
储存条件
- -20 °C
-
储存方法
- Store at -20°C. Avoid freeze / thaw cycles.
-
-
- RALGDS (Ral Guanine Nucleotide Dissociation Stimulator (RALGDS))
-
别名
- RALGDS
-
背景
- Guanine nucleotide dissociation stimulators (GDSs, or exchange factors), such as RALGDS, are effectors of Ras-related GTPases (see MIM 190020) that participate in signaling for a variety of cellular processes.[supplied by OMIM, Nov 2010],RGDS,RGF,RalGEF,RALGDS,Signal Transduction,G protein signaling,Signal Transduction,RALGDS
-
基因ID
- 5900
-
UniProt
- Q12967
-
途径
- Neurotrophin Signaling Pathway
抗原
-