电话:
+86 (0512) 65829739
传真:
+86 (010) 6788 5057
电子邮件:
orders@antibodies-online.cn

RAD21 抗体

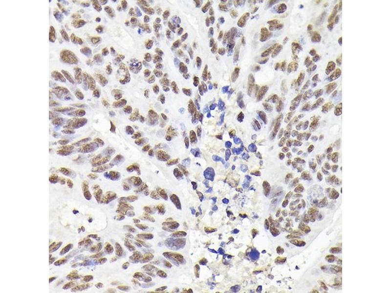
The 兔 多克隆 anti-RAD21 antibody (ABIN7269822) specifically detects RAD21 in WB, IHC, IF, IP 和 ChIP. The antibody is reactive with 人 samples.
产品编号 ABIN7269822
发货至: 中国
Contact our Customer Service for availability and price in your country. Contact Info

Our Local Distributor

中国
北京 101111
No. 88 KeChuang 6th Street
Beijing Economic Technological Development Area
Room 801-803
4A Biotech Co.,Ltd.
Tel +86 (0512) 65829739 传真 +86 (010) 6788 5057

Quick Overview for RAD21 抗体 (ABIN7269822)

抗原

See all RAD21 抗体
RAD21 (RAD21 Homolog (RAD21))

适用

  • 71
  • 44
  • 42
  • 6
  • 6
  • 6
  • 5
  • 5
  • 4
  • 3
  • 3
  • 2
  • 2
  • 2
  • 1

宿主

  • 65
  • 5
  • 1

克隆类型

  • 47
  • 25
多克隆

标记

  • 41
  • 3
  • 2
  • 2
  • 2
  • 2
  • 2
  • 2
  • 1
  • 1
  • 1
  • 1
  • 1
  • 1
  • 1
  • 1
  • 1
  • 1
  • 1
  • 1
  • 1
  • 1
  • 1
  • 1
This RAD21 antibody is un-conjugated

应用范围

  • 64
  • 30
  • 15
  • 13
  • 13
  • 13
  • 12
  • 7
  • 7
  • 6
  • 4
  • 1
  • 1
  • 1
Western Blotting (WB), Immunohistochemistry (IHC), Immunofluorescence (IF), Immunoprecipitation (IP), Chromatin Immunoprecipitation (ChIP)
  • 原理

    Rad21 Rabbit pAb

    交叉反应

    人, 小鼠, 大鼠

    产品特性

    Polyclonal Antibodies

    纯化方法

    Affinity purification

    免疫原

    Recombinant protein of human Rad21 .

    亚型

    IgG
  • 应用备注

    WB,1:500 - 1:2000,IHC,1:50 - 1:200,IF,1:50 - 1:200,IP,1:50 - 1:200,ChIP,1:50 - 1:200

    限制

    仅限研究用
  • 状态

    Liquid

    缓冲液

    PBS with 0.02 % sodium azide,50 % glycerol, pH 7.3.

    储存液

    Sodium azide

    注意事项

    This product contains Sodium azide: a POISONOUS AND HAZARDOUS SUBSTANCE which should be handled by trained staff only.

    储存条件

    -20 °C

    储存方法

    Store at -20°C. Avoid freeze / thaw cycles.
  • 抗原

    RAD21 (RAD21 Homolog (RAD21))

    别名

    RAD21

    背景

    The protein encoded by this gene is highly similar to the gene product of Schizosaccharomyces pombe rad21, a gene involved in the repair of DNA double-strand breaks, as well as in chromatid cohesion during mitosis. This protein is a nuclear phospho-protein, which becomes hyperphosphorylated in cell cycle M phase. The highly regulated association of this protein with mitotic chromatin specifically at the centromere region suggests its role in sister chromatid cohesion in mitotic cells. [provided by RefSeq, Jul 2008],CDLS4, HR21, HRAD21, MCD1, NXP1, SCC1, hHR21,RAD21

    基因ID

    5885

    UniProt

    O60216

    途径

    Positive Regulation of Endopeptidase Activity
You are here: