电话:
+86 (0512) 65829739
传真:
+86 (010) 6788 5057
电子邮件:
orders@antibodies-online.cn

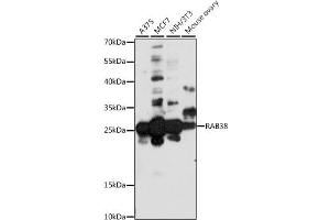
RAB38 抗体 (AA 92-211)

This 兔 多克隆 antibody specifically detects RAB38 in WB. It exhibits reactivity toward 人.
产品编号 ABIN7269808
发货至: 中国
Contact our Customer Service for availability and price in your country. Contact Info

Our Local Distributor

中国
北京 101111
No. 88 KeChuang 6th Street
Beijing Economic Technological Development Area
Room 801-803
4A Biotech Co.,Ltd.
Tel +86 (0512) 65829739 传真 +86 (010) 6788 5057

Quick Overview for RAB38 抗体 (AA 92-211) (ABIN7269808)

抗原

See all RAB38 抗体
RAB38 (RAB38, Member RAS Oncogene Family (RAB38))

适用

  • 29
  • 18
  • 9
  • 3
  • 3
  • 3
  • 3
  • 2
  • 2
  • 2
  • 1
  • 1
  • 1
  • 1
  • 1
  • 1
  • 1
  • 1
  • 1

宿主

  • 23
  • 5
  • 1

克隆类型

  • 26
  • 3
多克隆

标记

  • 18
  • 2
  • 2
  • 1
  • 1
  • 1
  • 1
  • 1
  • 1
  • 1
This RAB38 antibody is un-conjugated

应用范围

  • 16
  • 15
  • 3
  • 1
  • 1
  • 1
  • 1
Western Blotting (WB)
  • 抗原表位

    • 8
    • 3
    • 2
    • 2
    • 2
    • 1
    • 1
    • 1
    AA 92-211

    原理

    RAB38 Rabbit pAb

    序列

    VTRPATFEAV AKWKNDLDSK LSLPNGKPVS VVLLANKCDQ GKDVLMNNGL KMDQFCKEHG FVGWFETSAK ENINIDEASR CLVKHILANE CDLMESIEPD VVKPHLTSTK VASCSGCAKS

    交叉反应

    人, 小鼠, 大鼠

    产品特性

    Polyclonal Antibodies

    纯化方法

    Affinity purification

    免疫原

    Recombinant fusion protein containing a sequence corresponding to amino acids 92-211 of human RAB38 (NP_071732.1).

    亚型

    IgG
  • 应用备注

    WB,1:500 - 1:2000

    限制

    仅限研究用
  • 状态

    Liquid

    缓冲液

    PBS with 0.02 % sodium azide,50 % glycerol, pH 7.3.

    储存液

    Sodium azide

    注意事项

    This product contains Sodium azide: a POISONOUS AND HAZARDOUS SUBSTANCE which should be handled by trained staff only.

    储存条件

    -20 °C

    储存方法

    Store at -20°C. Avoid freeze / thaw cycles.
  • 抗原

    RAB38 (RAB38, Member RAS Oncogene Family (RAB38))

    别名

    RAB38

    背景

    May be involved in melanosomal transport and docking. Involved in the proper sorting of TYRP1. Involved in peripheral melanosomal distribution of TYRP1 in melanocytes, the function, which probably is implicating vesicle-trafficking, includes cooperation with ANKRD27 and VAMP7 (By similarity. Plays a role in the maturation of phagosomes that engulf pathogens, such as S.aureus and M.tuberculosis. Plays an important role in the control of melanin production and melanosome biogenesis. In concert with RAB32, regulates the proper trafficking of melanogenic enzymes TYR, TYRP1 and DCT/TYRP2 to melanosomes in melanocytes (By similarity.,RAB38,NY-MEL-1,rrGTPbp,Signal Transduction,G protein signaling,Signal Transduction,RAB38

    分子量

    23kDa

    基因ID

    23682

    UniProt

    P57729
You are here: