电话:
+86 (0512) 65829739
传真:
+86 (010) 6788 5057
电子邮件:
orders@antibodies-online.cn

RABL3 抗体 (AA 1-236)

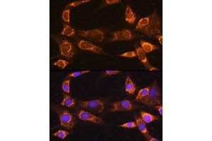
This 兔 多克隆 antibody specifically detects RABL3 in WB 和 IF. It exhibits reactivity toward 人.
产品编号 ABIN7269787
发货至: 中国
Contact our Customer Service for availability and price in your country. Contact Info

Our Local Distributor

中国
北京 101111
No. 88 KeChuang 6th Street
Beijing Economic Technological Development Area
Room 801-803
4A Biotech Co.,Ltd.
Tel +86 (0512) 65829739 传真 +86 (010) 6788 5057

Quick Overview for RABL3 抗体 (AA 1-236) (ABIN7269787)

抗原

RABL3 (RAB, Member of RAS Oncogene Family-Like 3 (RABL3))

适用

  • 5
  • 3
  • 2

宿主

  • 4
  • 1

克隆类型

  • 5
多克隆

标记

  • 5
This RABL3 antibody is un-conjugated

应用范围

  • 5
  • 3
  • 2
  • 1
  • 1
  • 1
Western Blotting (WB), Immunofluorescence (IF)
  • 抗原表位

    • 1
    • 1
    AA 1-236

    原理

    RABL3 Rabbit pAb

    序列

    MASLDRVKVL VLGDSGVGKS SLVHLLCQNQ VLGNPSWTVG CSVDVRVHDY KEGTPEEKTY YIELWDVGGS VGSASSVKST RAVFYNSVNG IIFVHDLTNK KSSQNLRRWS LEALNRDLVP TGVLVTNGDY DQEQFADNQI PLLVIGTKLD QIHETKRHEV LTRTAFLAED FNPEEINLDC TNPRYLAAGS SNAVKLSRFF DKVIEKRYFL REGNQIPGFP DRKRFGAGTL KSLHYD

    交叉反应

    人, 小鼠

    产品特性

    Polyclonal Antibodies

    纯化方法

    Affinity purification

    免疫原

    Recombinant fusion protein containing a sequence corresponding to amino acids 1-236 of human RABL3 (NP_776186.2).

    亚型

    IgG
  • 应用备注

    WB,1:500 - 1:2000,IF,1:50 - 1:200

    限制

    仅限研究用
  • 状态

    Liquid

    缓冲液

    PBS with 0.02 % sodium azide,50 % glycerol, pH 7.3.

    储存液

    Sodium azide

    注意事项

    This product contains Sodium azide: a POISONOUS AND HAZARDOUS SUBSTANCE which should be handled by trained staff only.

    储存条件

    -20 °C

    储存方法

    Store at -20°C. Avoid freeze / thaw cycles.
  • 抗原

    RABL3 (RAB, Member of RAS Oncogene Family-Like 3 (RABL3))

    别名

    RABL3

    背景

    Required for KRAS signaling regulation and modulation of cell proliferation. Regulator of KRAS prenylation, and probably prenylation of other small GTPases. Required for lymphocyte development and function (By similarity. Not required for myeloid cell development (By similarity.,RABL3,Signal Transduction,G protein signaling,Signal Transduction,RABL3

    分子量

    26kDa

    基因ID

    285282

    UniProt

    Q5HYI8
You are here: